[윗니돌출/합죽이] 윗니돌출,벌어진 치아
스마일라인치과 Date. 2016-08-09 Hit. 11490

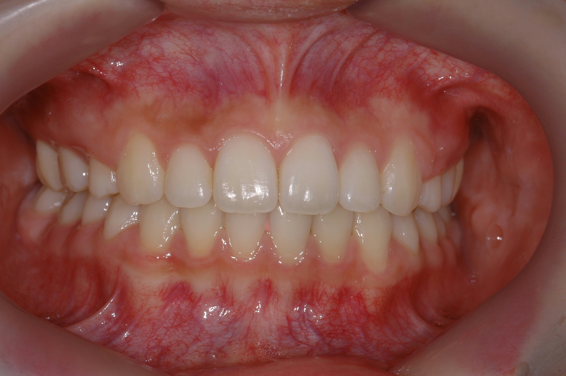
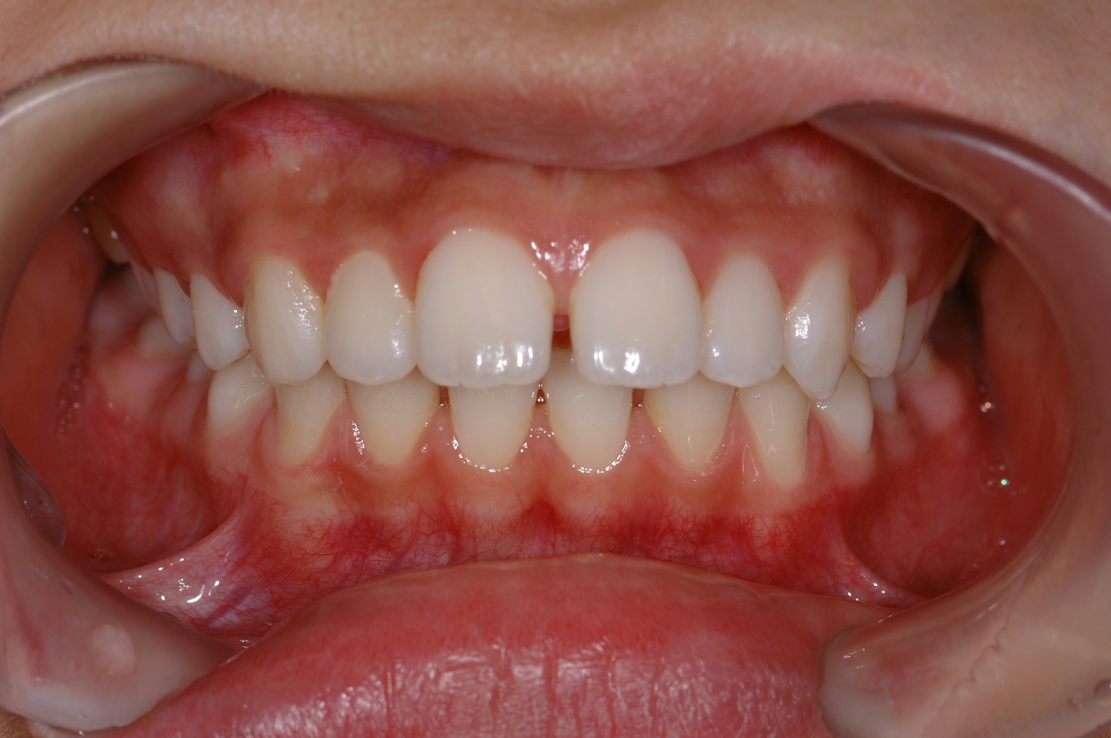
치료 전 사진입니다.

치료 후 사진입니다.

치료 전 사진입니다.

치료 후 사진입니다.

치료 전 사진입니다.

치료 후 사진입니다.