[반대교합/주걱턱] 반대교합,덧니
스마일라인치과 Date. 2016-07-01 Hit. 12932

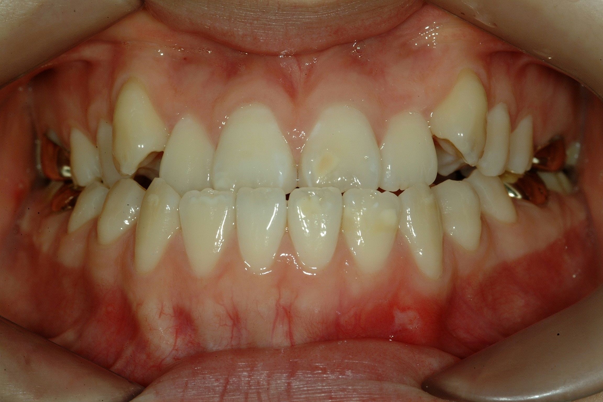
치료 전 사진입니다.

치료 후 사진입니다.

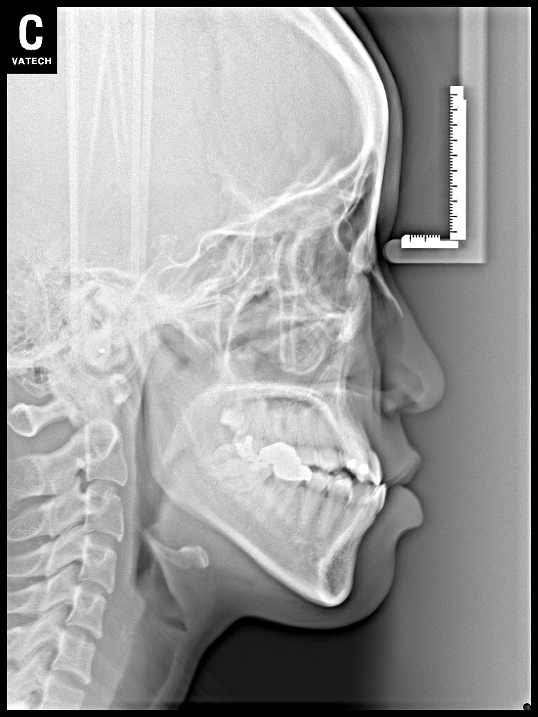
치료 전 사진입니다.

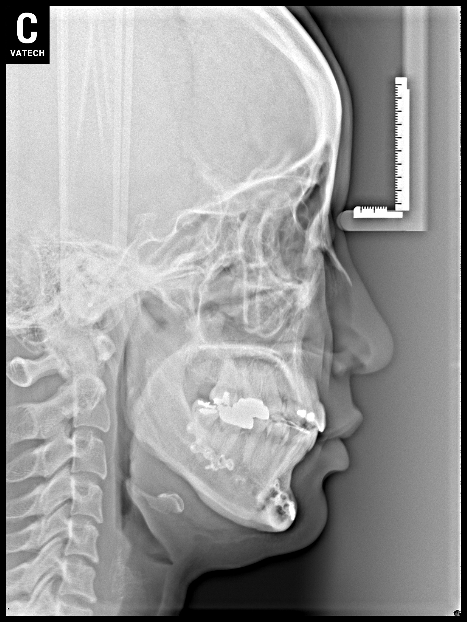
치료 후 사진입니다.

치료 전 사진입니다.

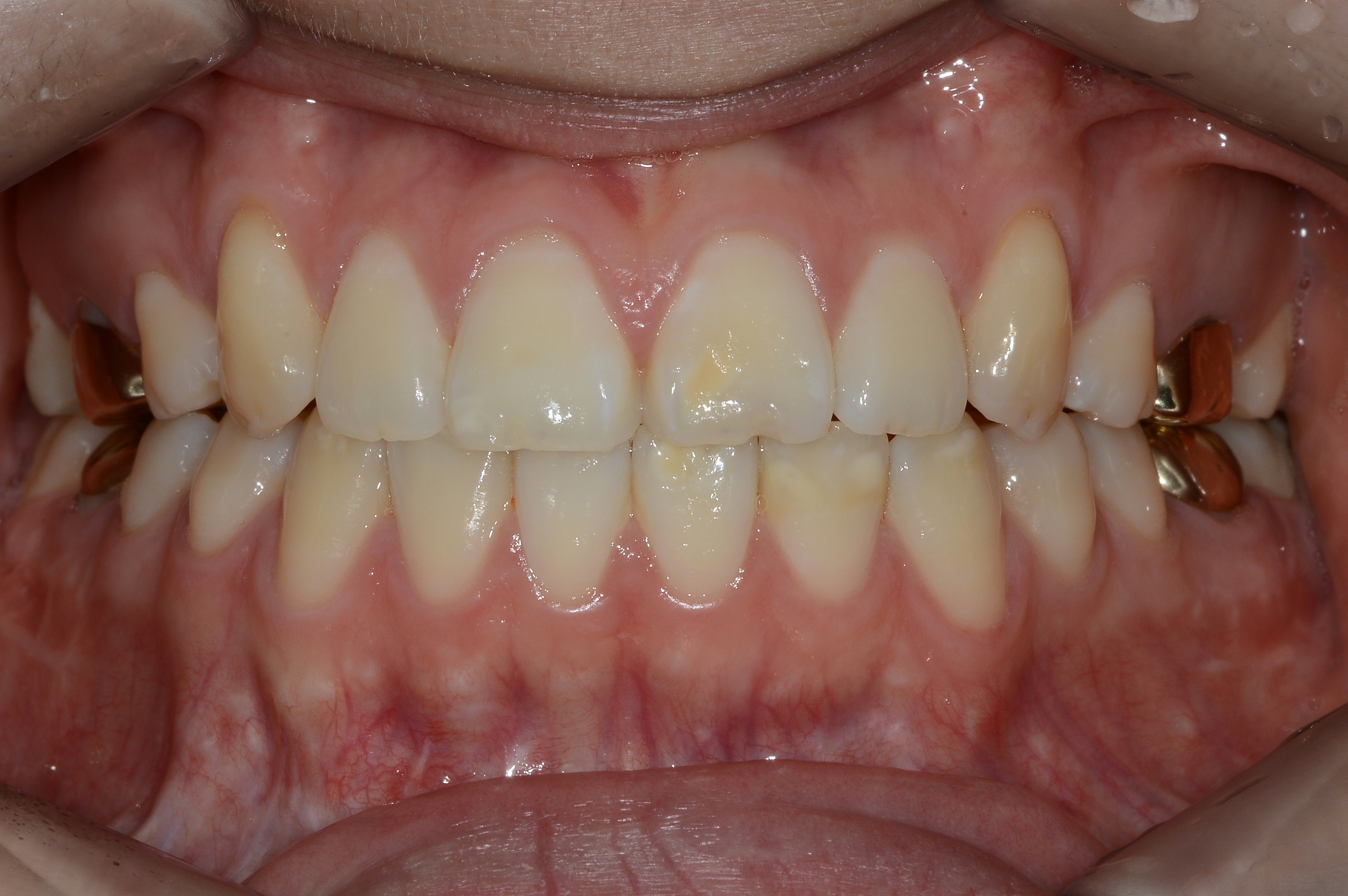
치료 후 사진입니다.