[개방교합] 개방교합
스마일라인치과 Date. 2016-06-08 Hit. 12439

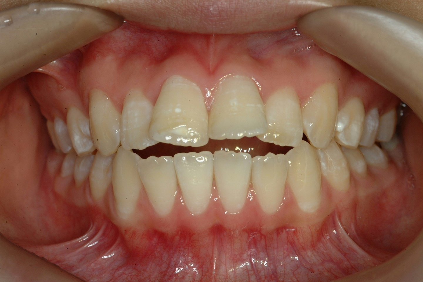
치료 전 사진입니다.

치료 후 사진입니다.

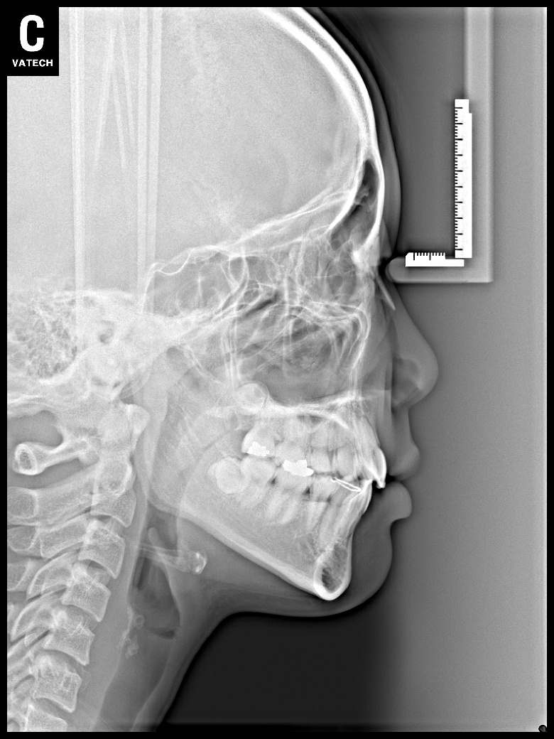
치료 전 사진입니다.

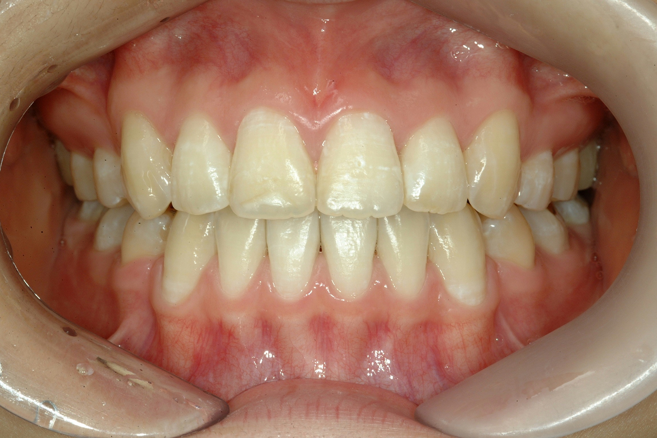
치료 후 사진입니다.

치료 전 사진입니다.

치료 후 사진입니다.