[돌출입] 돌출입,개방교합
스마일라인치과 Date. 2016-05-03 Hit. 12964

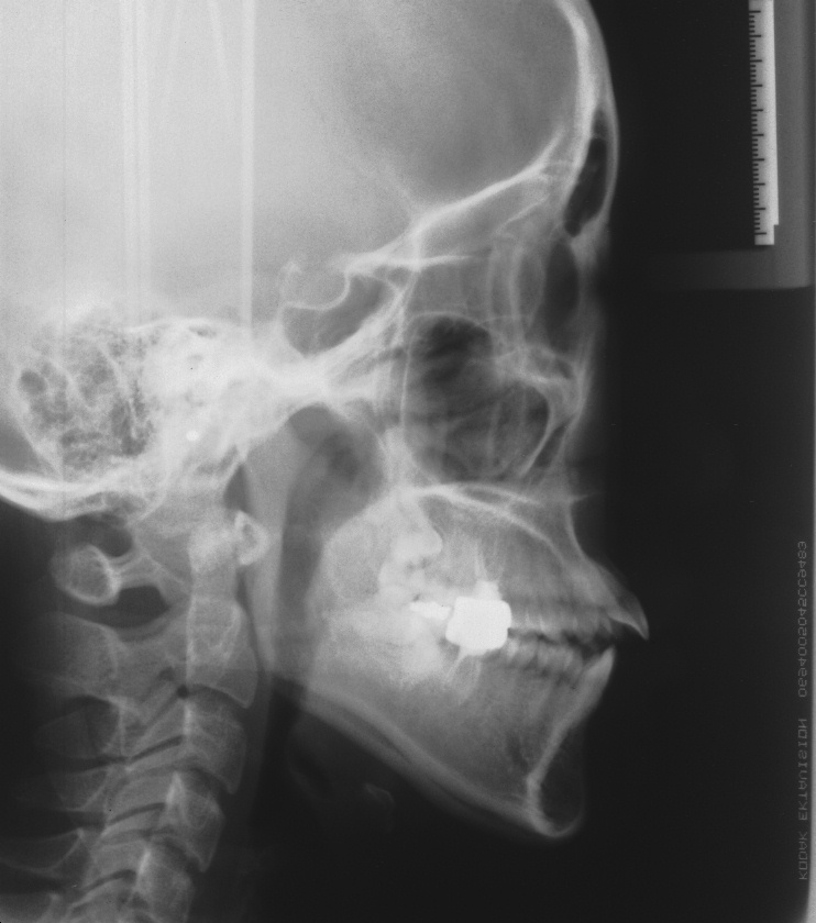
치료 전 사진입니다.

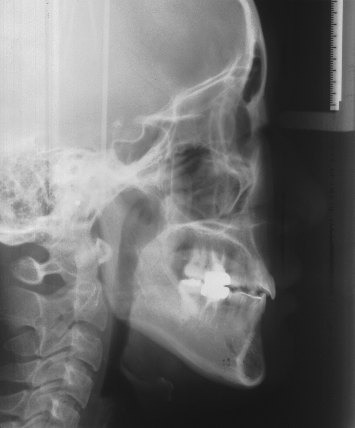
치료 후 사진입니다.

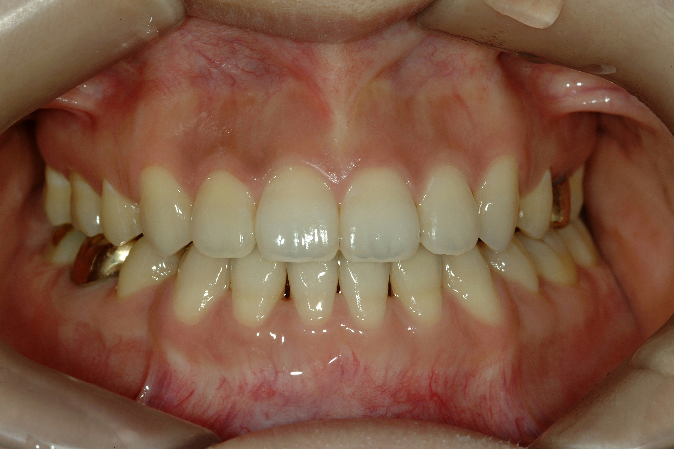
치료 전 사진입니다.

치료 후 사진입니다.

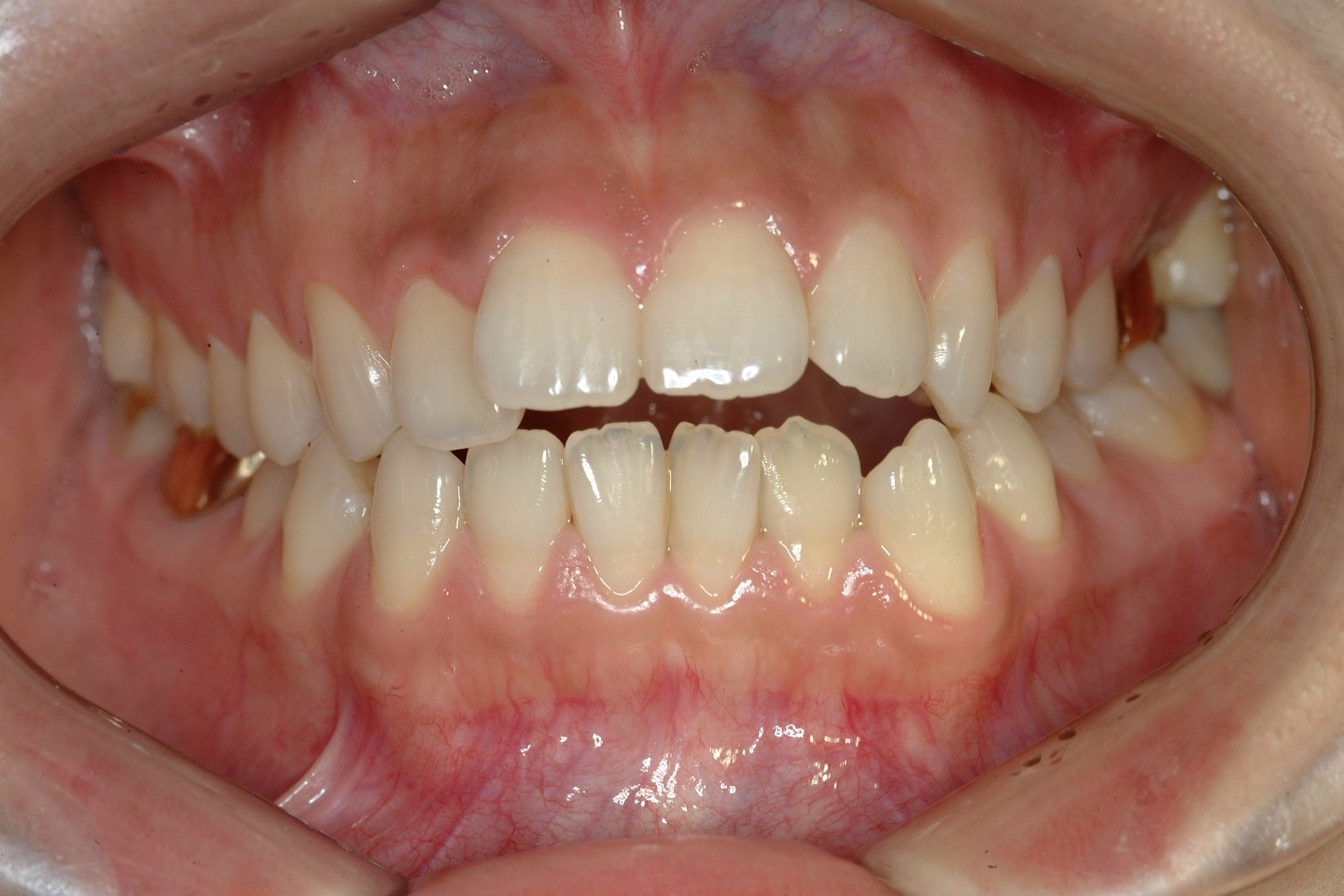
치료 전 사진입니다.

치료 후 사진입니다.