[개방교합] 개방교합
스마일라인치과 Date. 2014-07-04 Hit. 11959

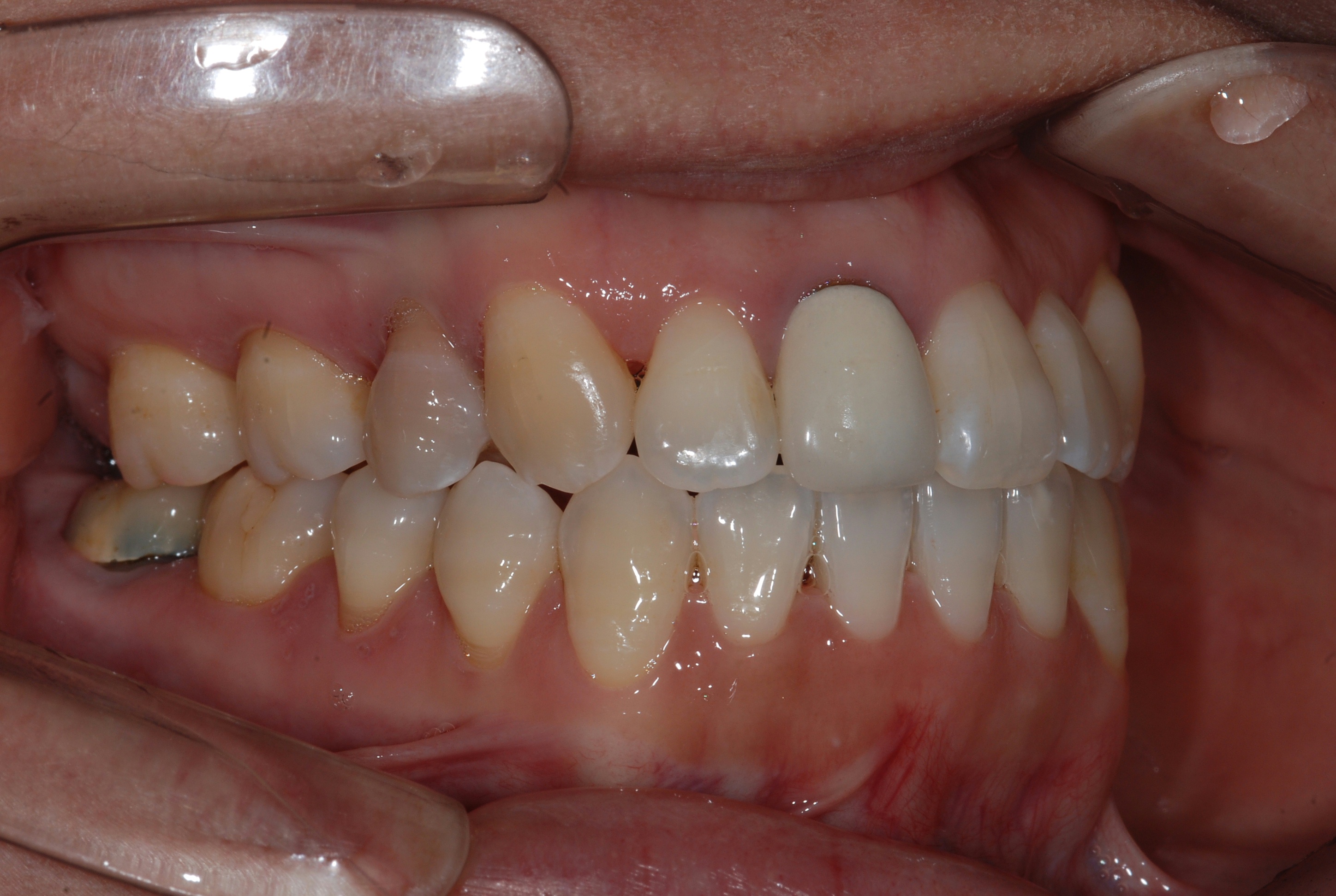
치료 전 사진입니다.

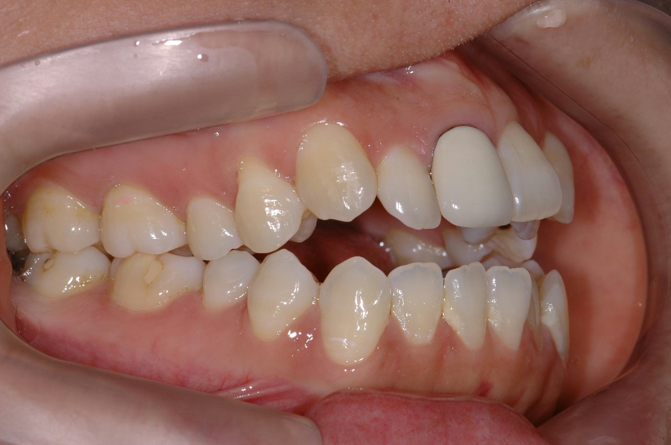
치료 후 사진입니다.

치료 전 사진입니다.

치료 후 사진입니다.

.