[윗니돌출/합죽이] 윗니돌출
스마일라인치과 Date. 2015-08-04 Hit. 11945

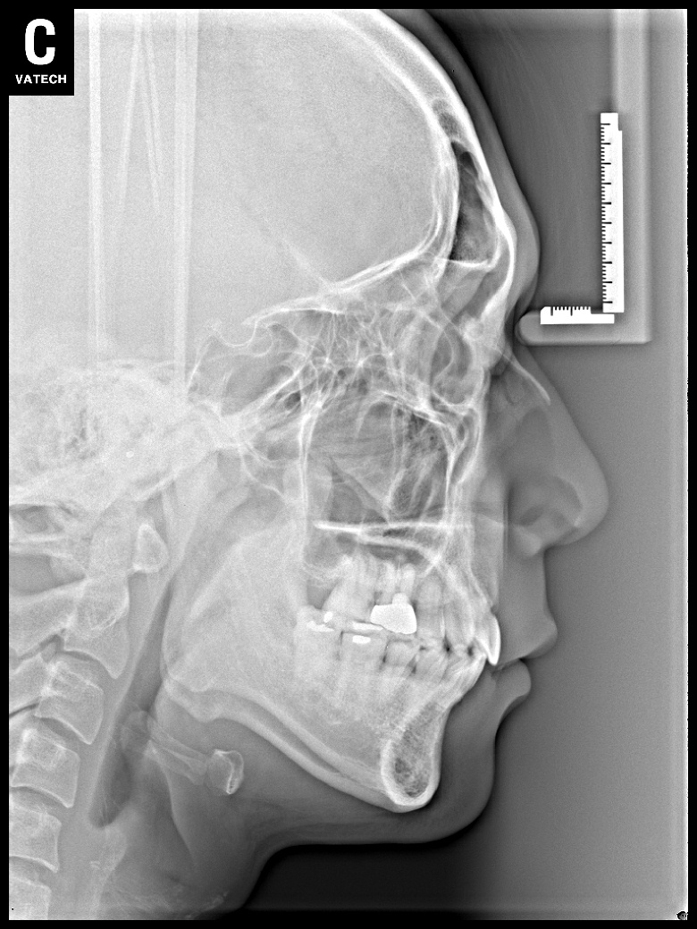
치료 전 사진입니다.

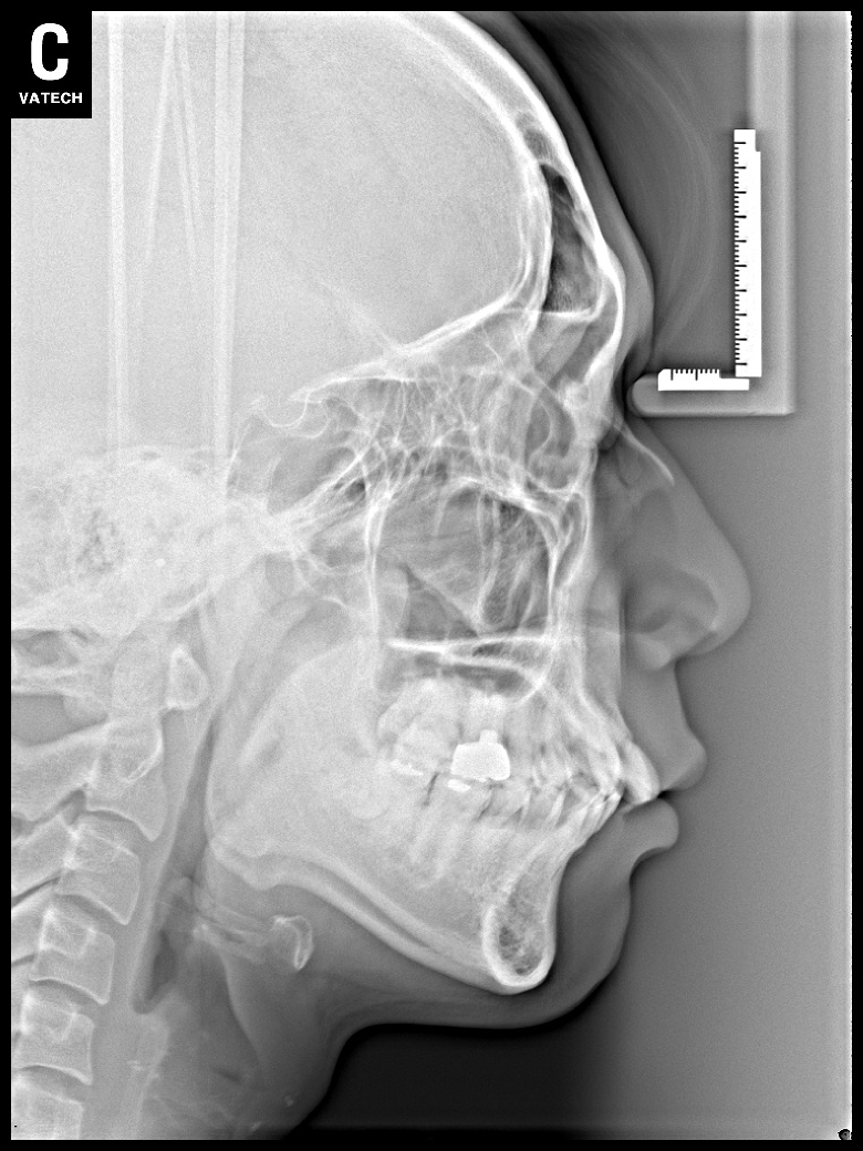
치료 후 사진입니다.

치료 전 사진입니다.

치료 후 사진입니다.