[돌출입] 돌출입,벌어진치아
스마일라인치과 Date. 2015-07-13 Hit. 13443

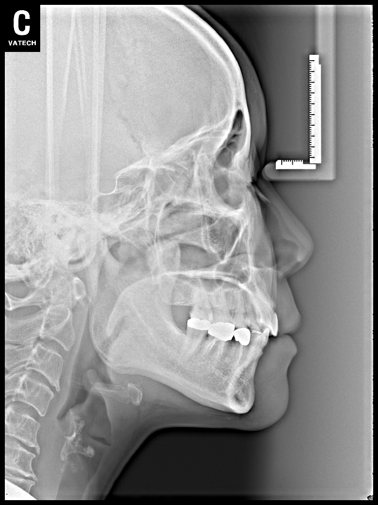
치료 전 사진입니다.

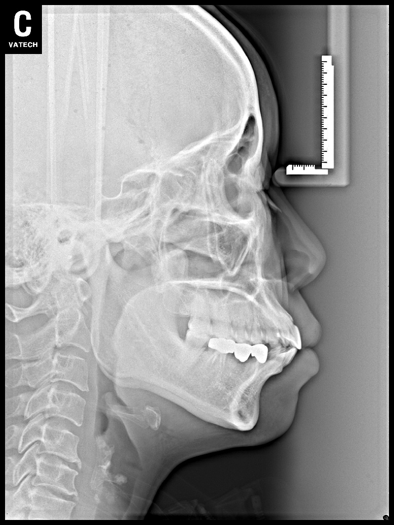
치료 후 사진입니다.

치료 전 사진입니다.

치료 후 사진입니다.