[덧니교정] 덧니교정
스마일라인치과 Date. 2015-06-29 Hit. 13993

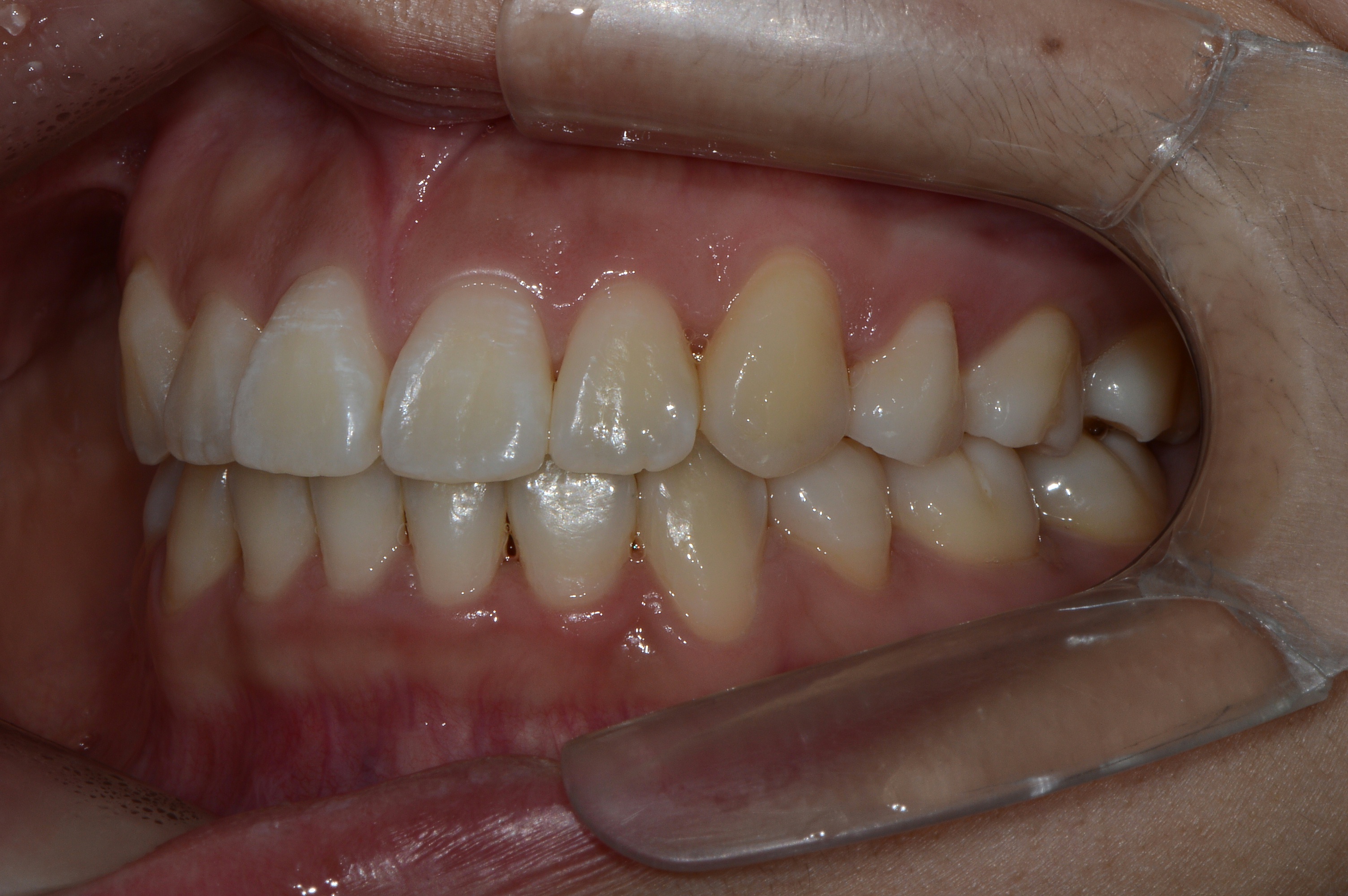
치료 전 사진입니다.

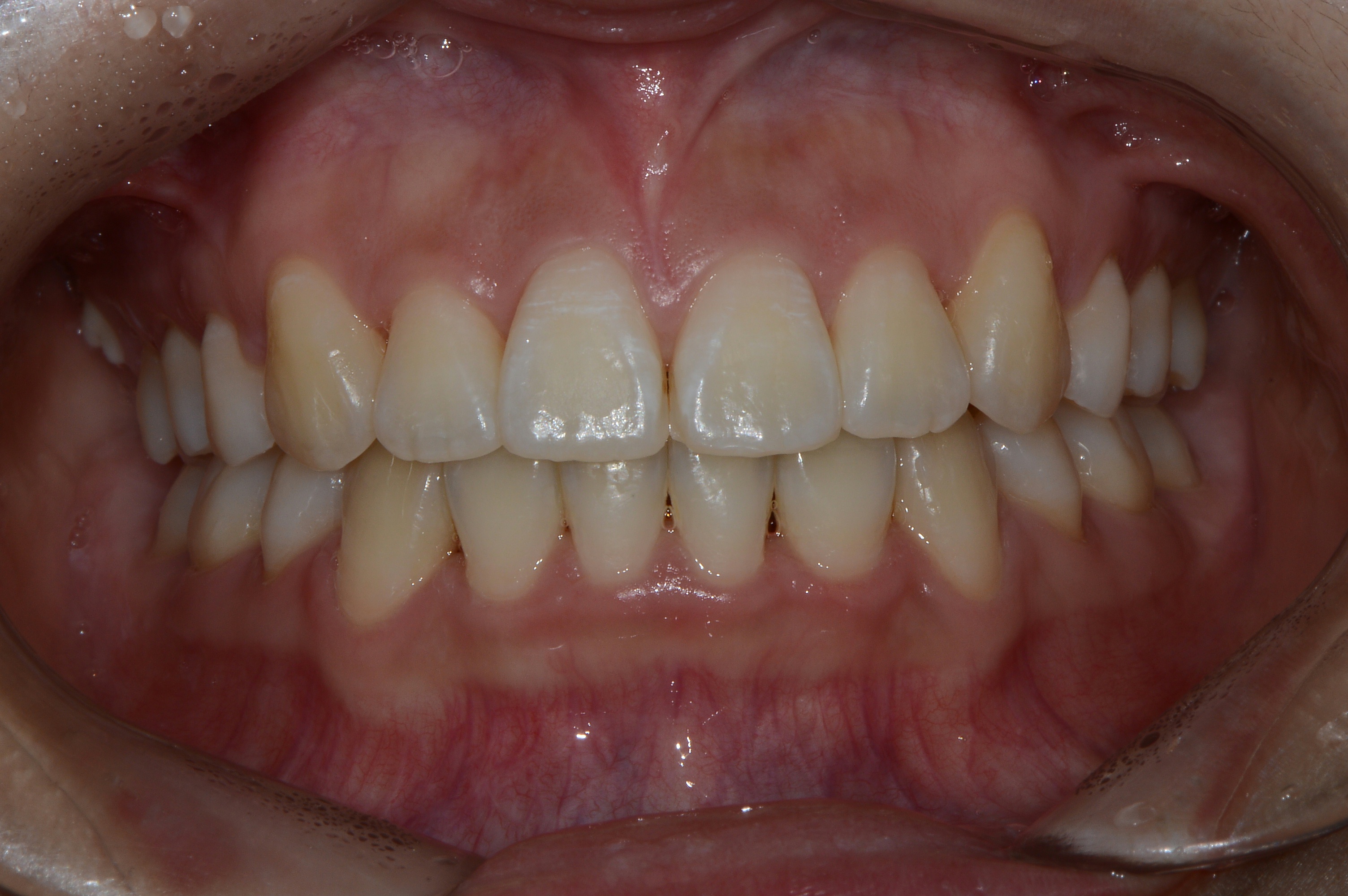
치료 후 사진입니다.

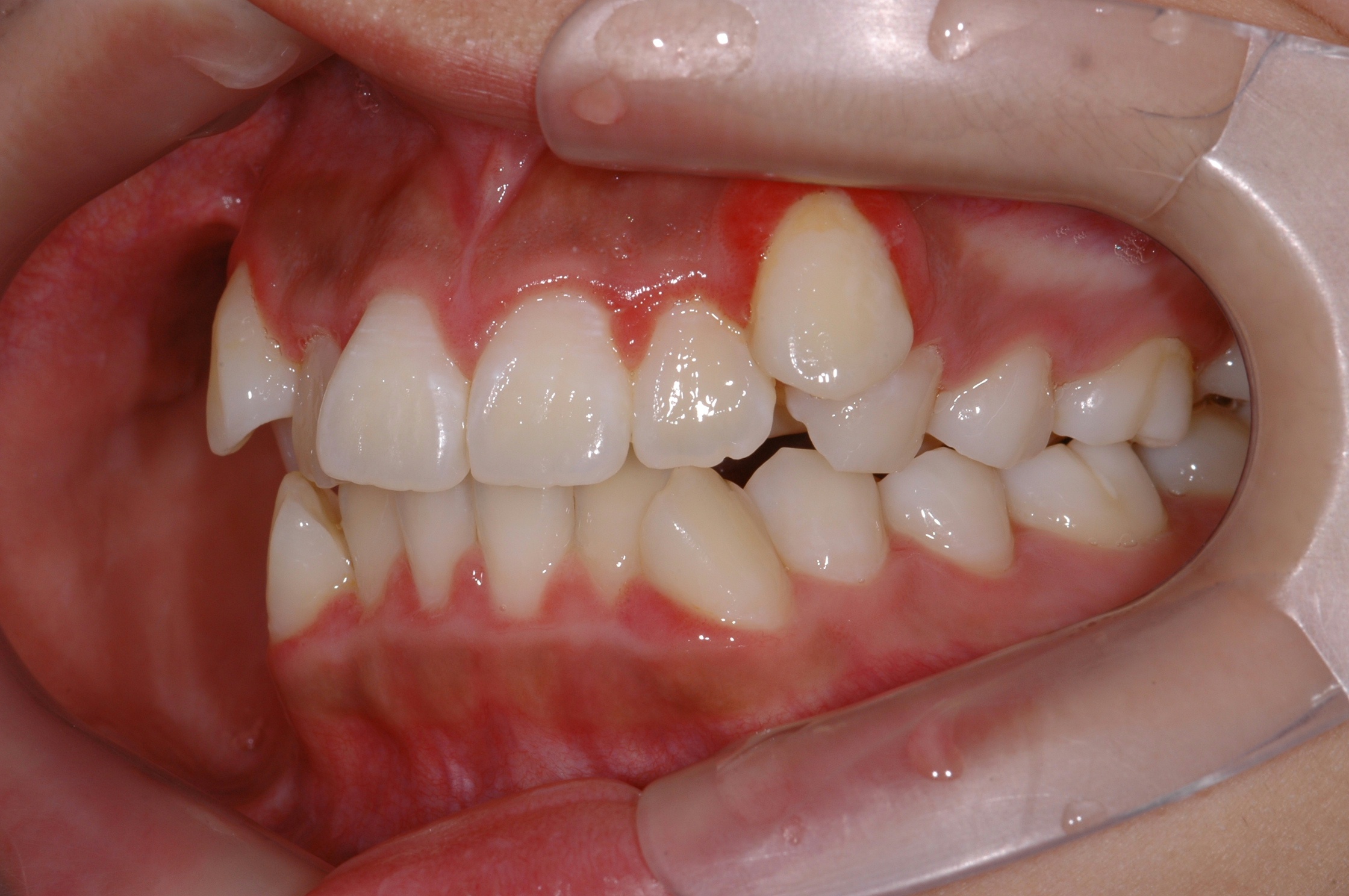
치료 전 사진입니다.

치료 후 사진입니다.

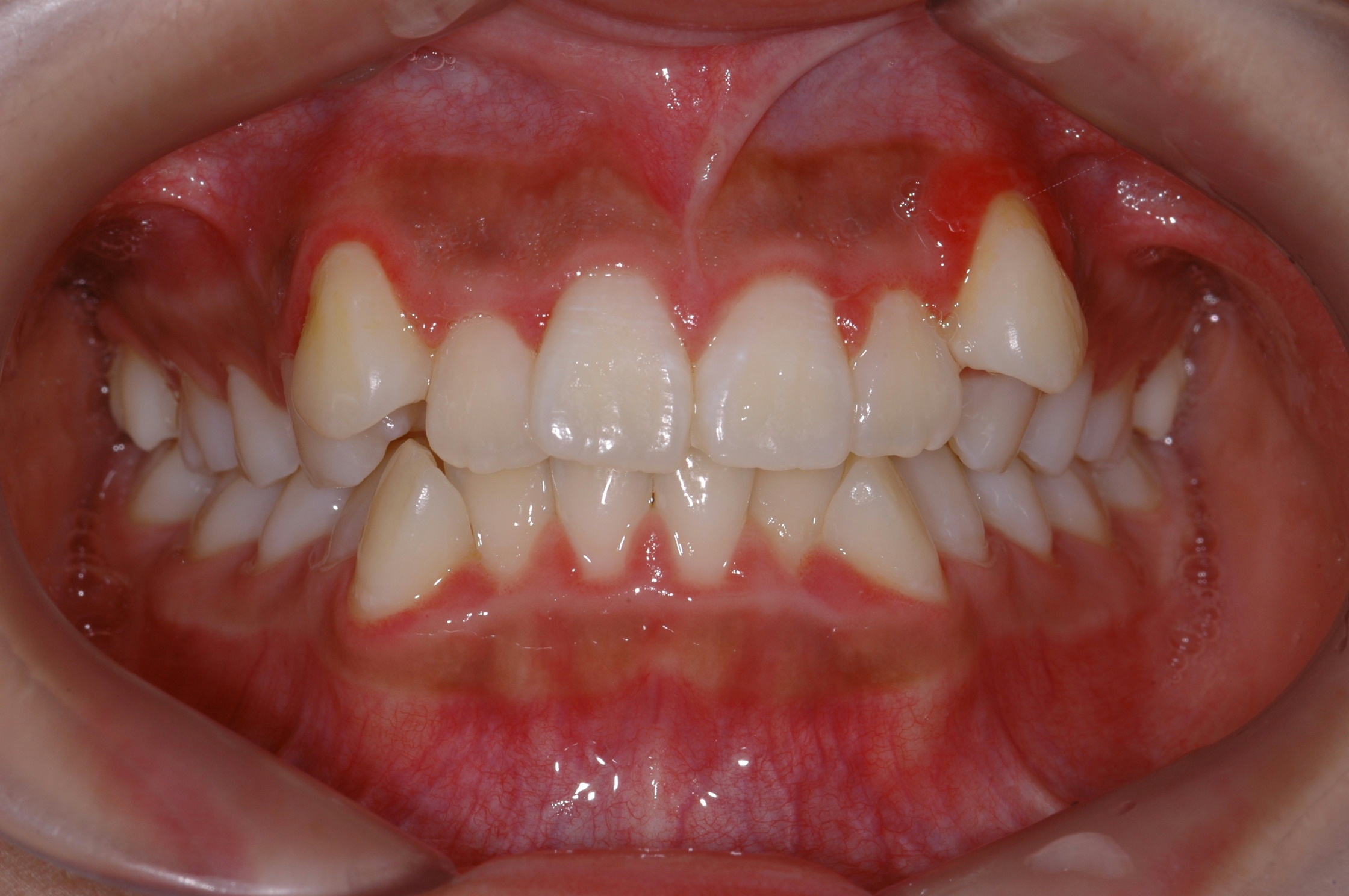
치료 전 사진입니다.

치료 후 사진입니다.