[윗니돌출/합죽이] 윗니돌출
스마일라인치과 Date. 2015-05-06 Hit. 12650

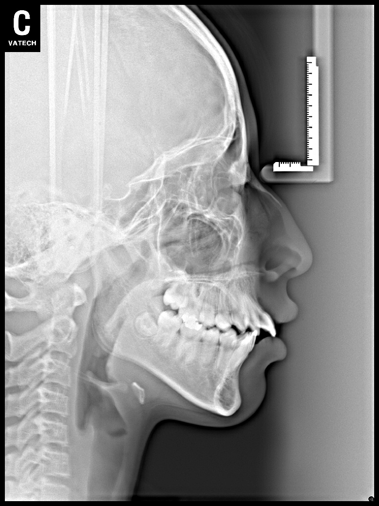
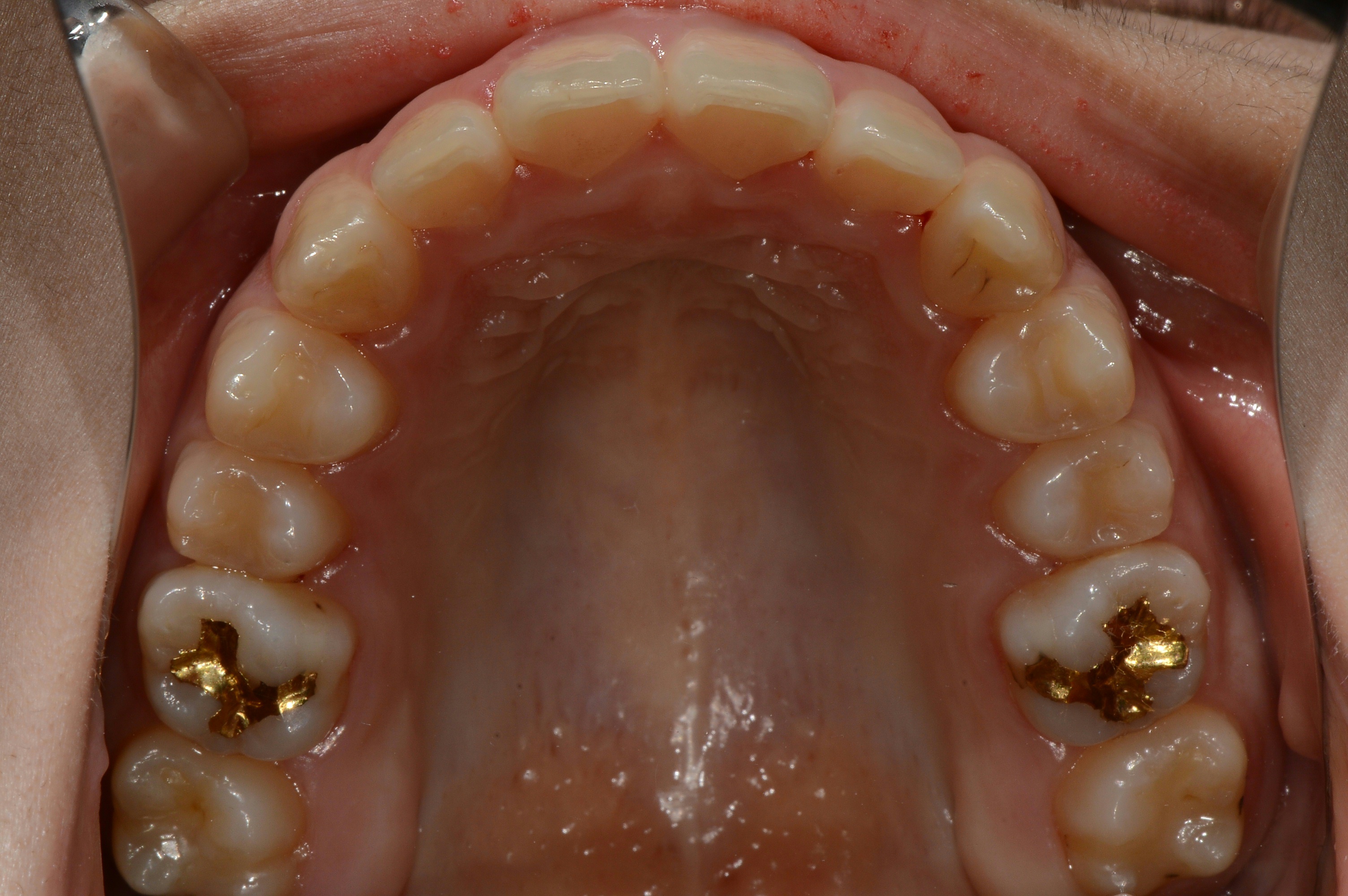
치료 전 사진입니다.

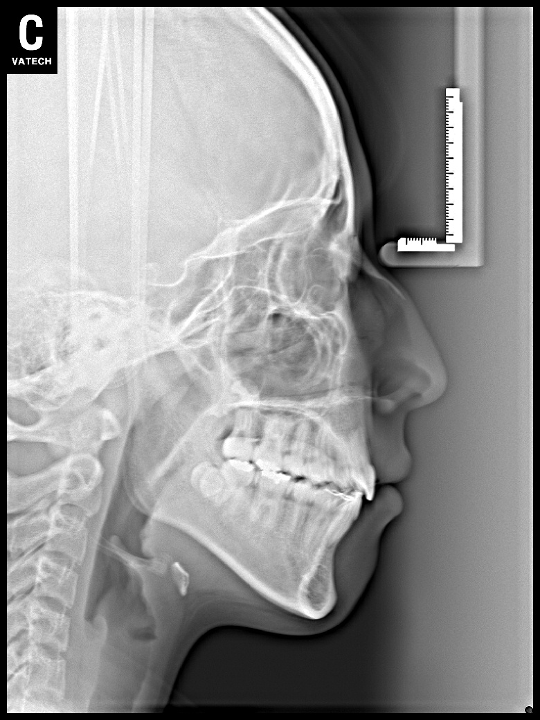
치료 후 사진입니다.

치료 전 사진입니다.

치료 후 사진입니다.

치료 전 사진입니다.

치료 후 사진입니다.

.