[돌출입] 돌출입,덧니교정
스마일라인치과 Date. 2015-03-20 Hit. 13897

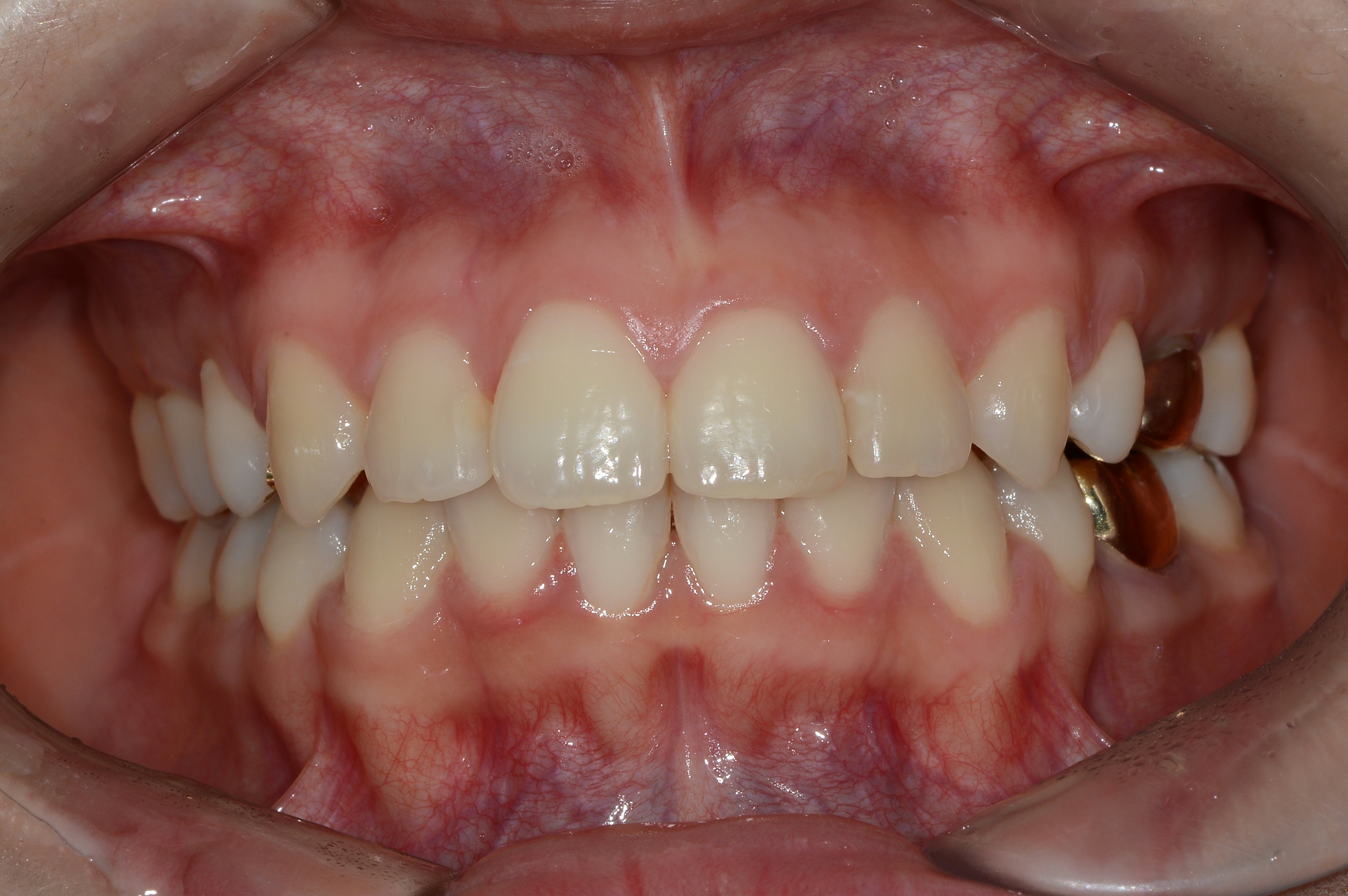
치료 전 사진입니다.

치료 후 사진입니다.

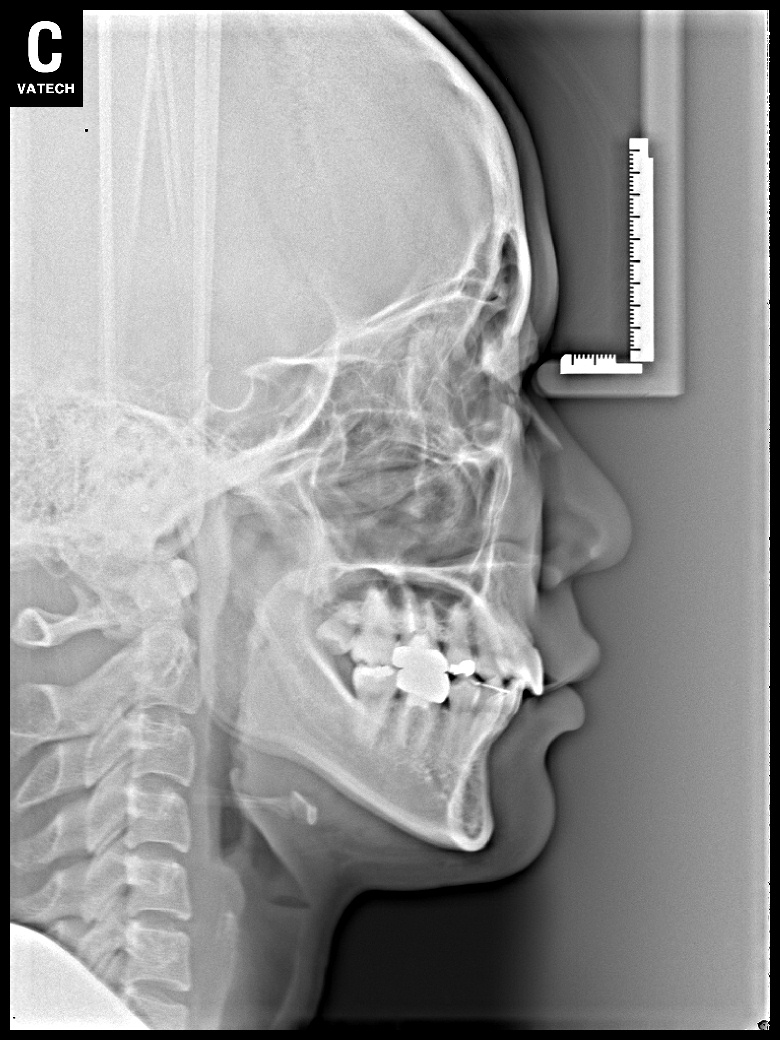
치료 전 사진입니다.

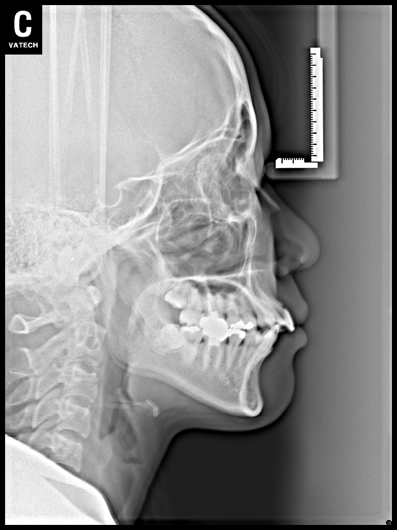
치료 후 사진입니다.

치료 전 사진입니다.

치료 후 사진입니다.

.