[덧니교정] 덧니교정,돌출입
스마일라인치과 Date. 2015-03-13 Hit. 13993

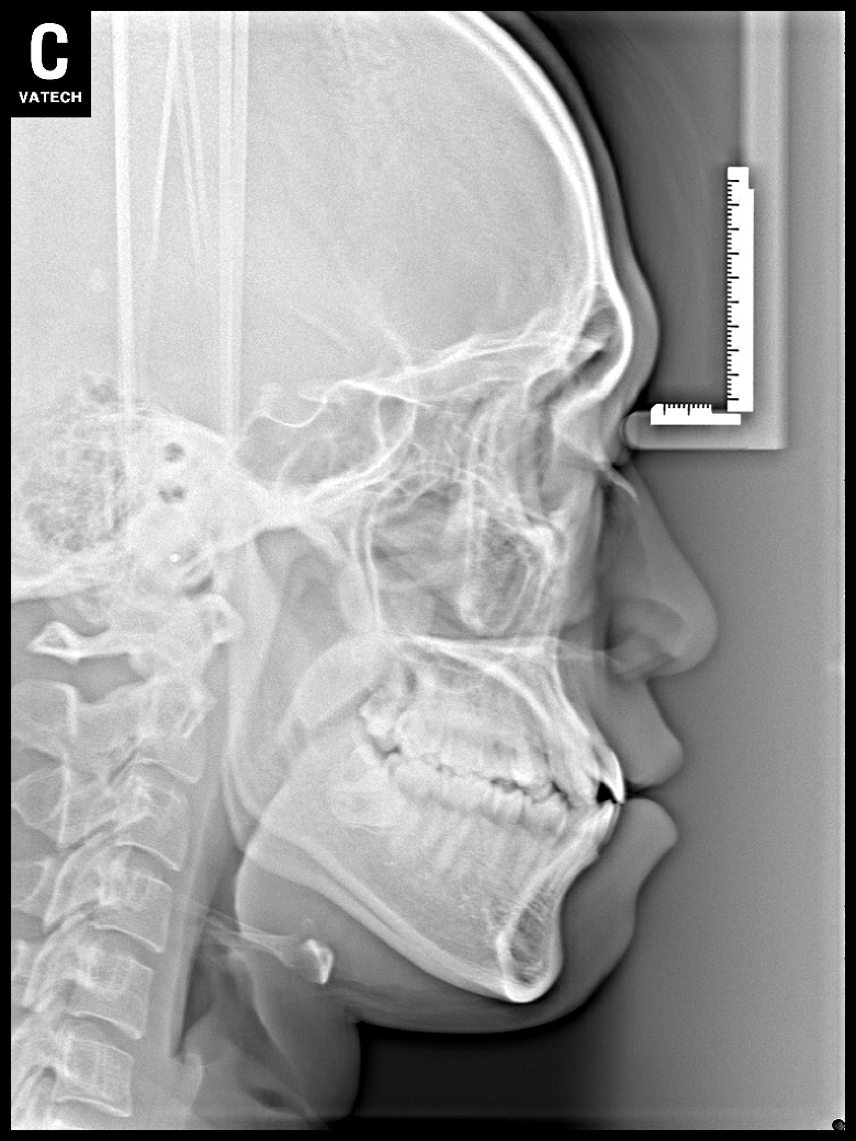
치료 전 사진입니다.

치료 후 사진입니다.

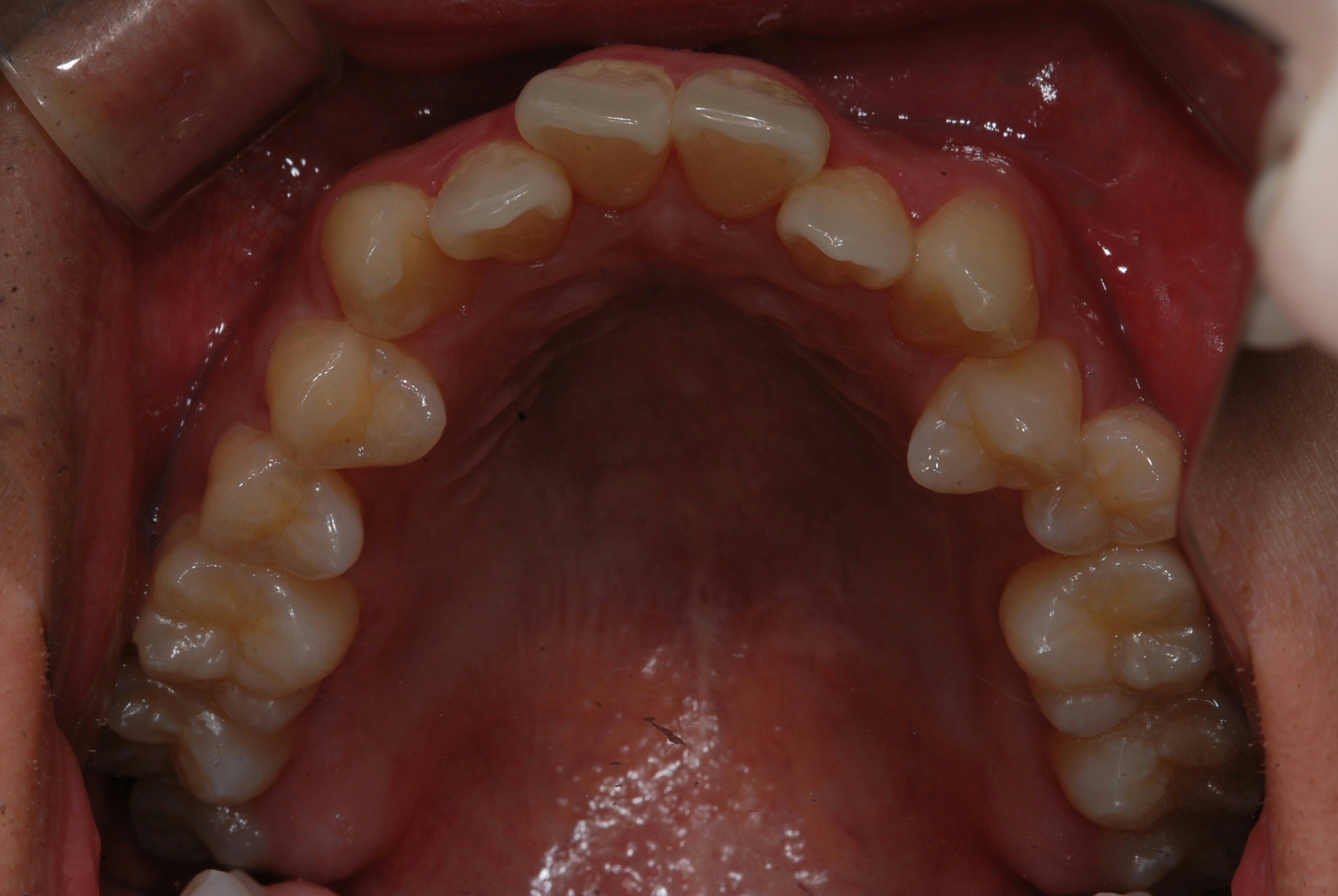
치료 전 사진입니다.

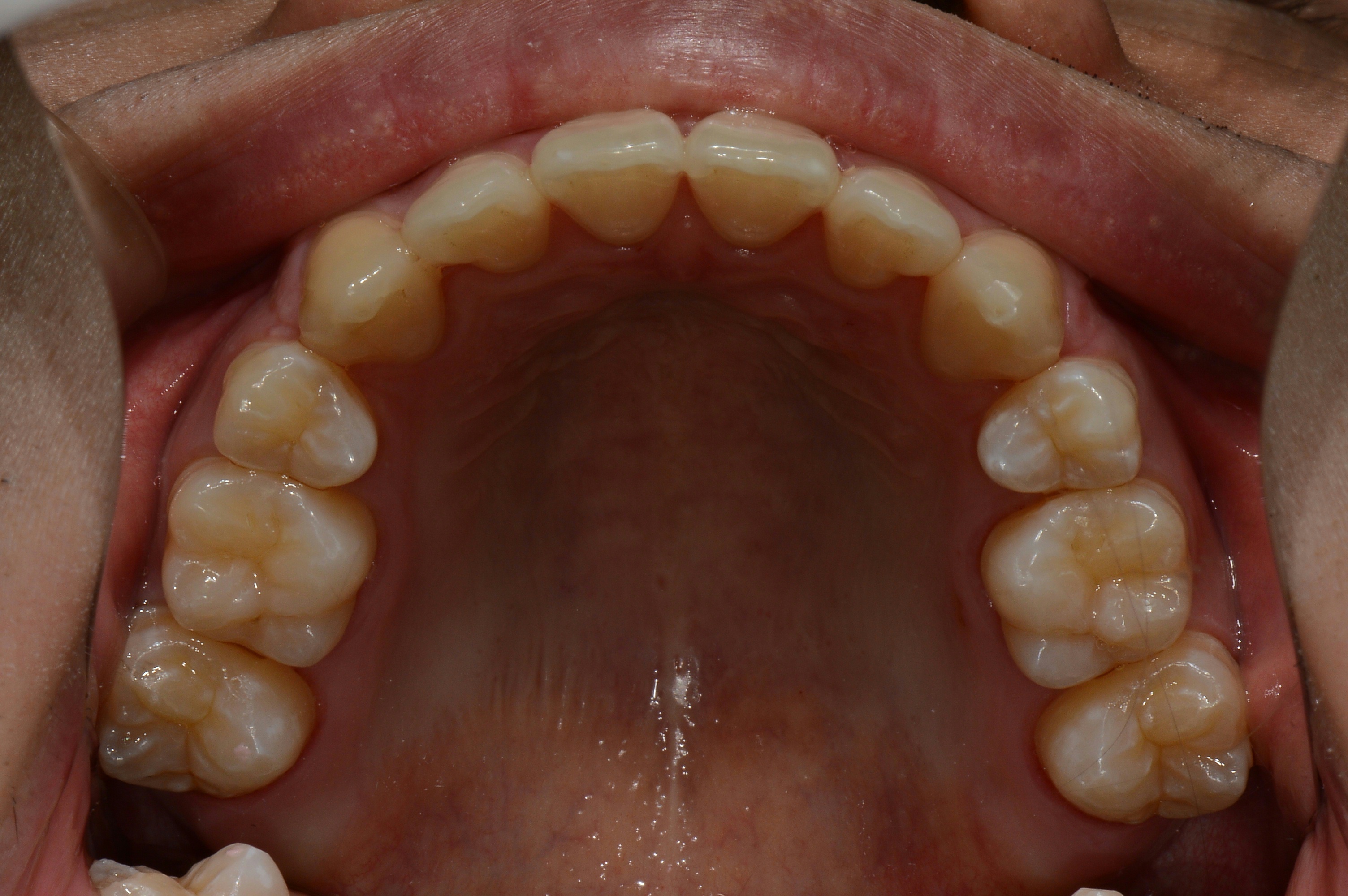
치료 후 사진입니다.

치료 전 사진입니다.

치료 후 사진입니다.

.