[개방교합] 개방교합, 덧니교정
스마일라인치과 Date. 2014-12-08 Hit. 12730

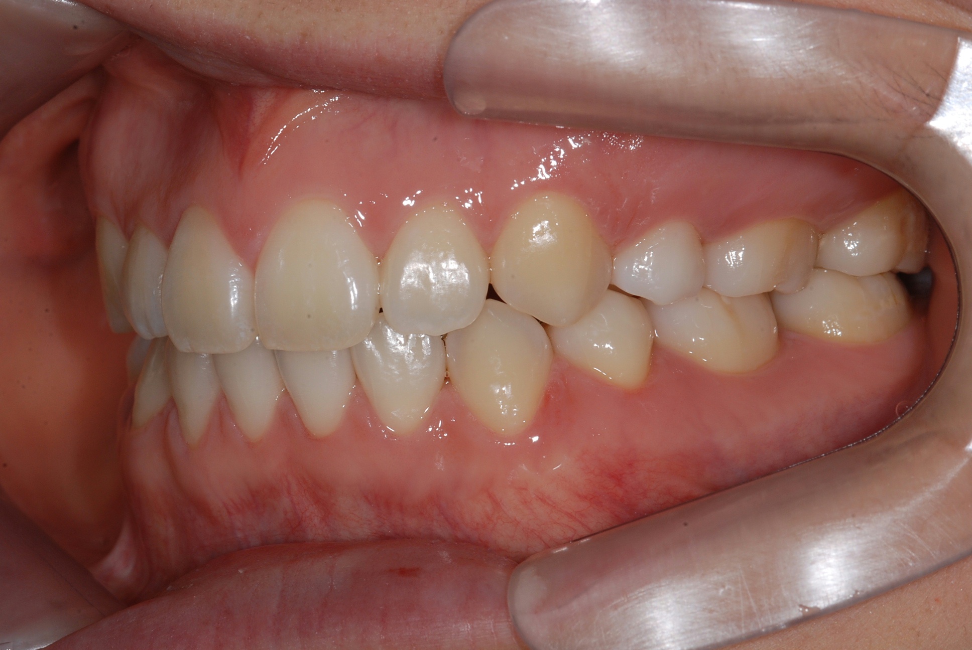
치료 전 사진입니다.

치료 후 사진입니다.

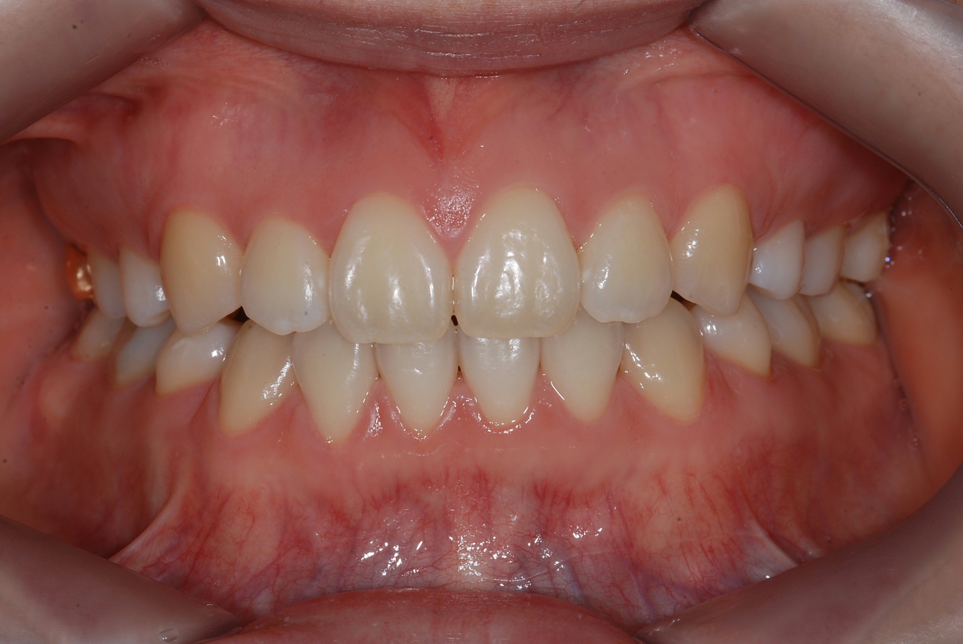
치료 전 사진입니다.

치료 후 사진입니다.

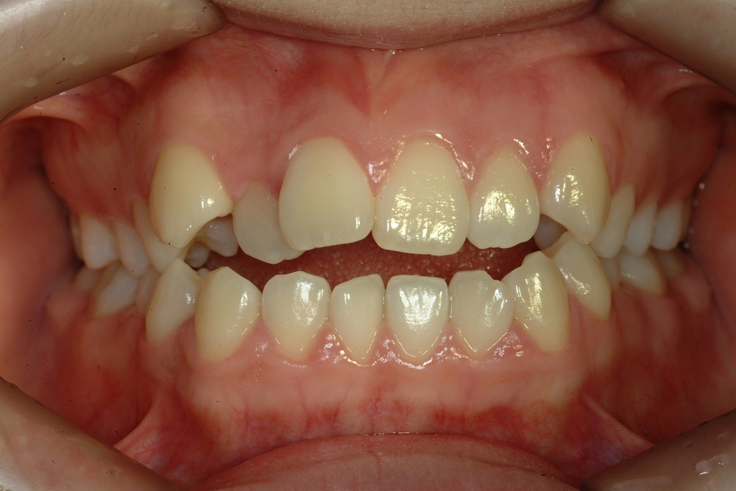
치료 전 사진입니다.

치료 후 사진입니다.

.