[과개교합] 과개교합
스마일라인치과 Date. 2014-09-03 Hit. 12506

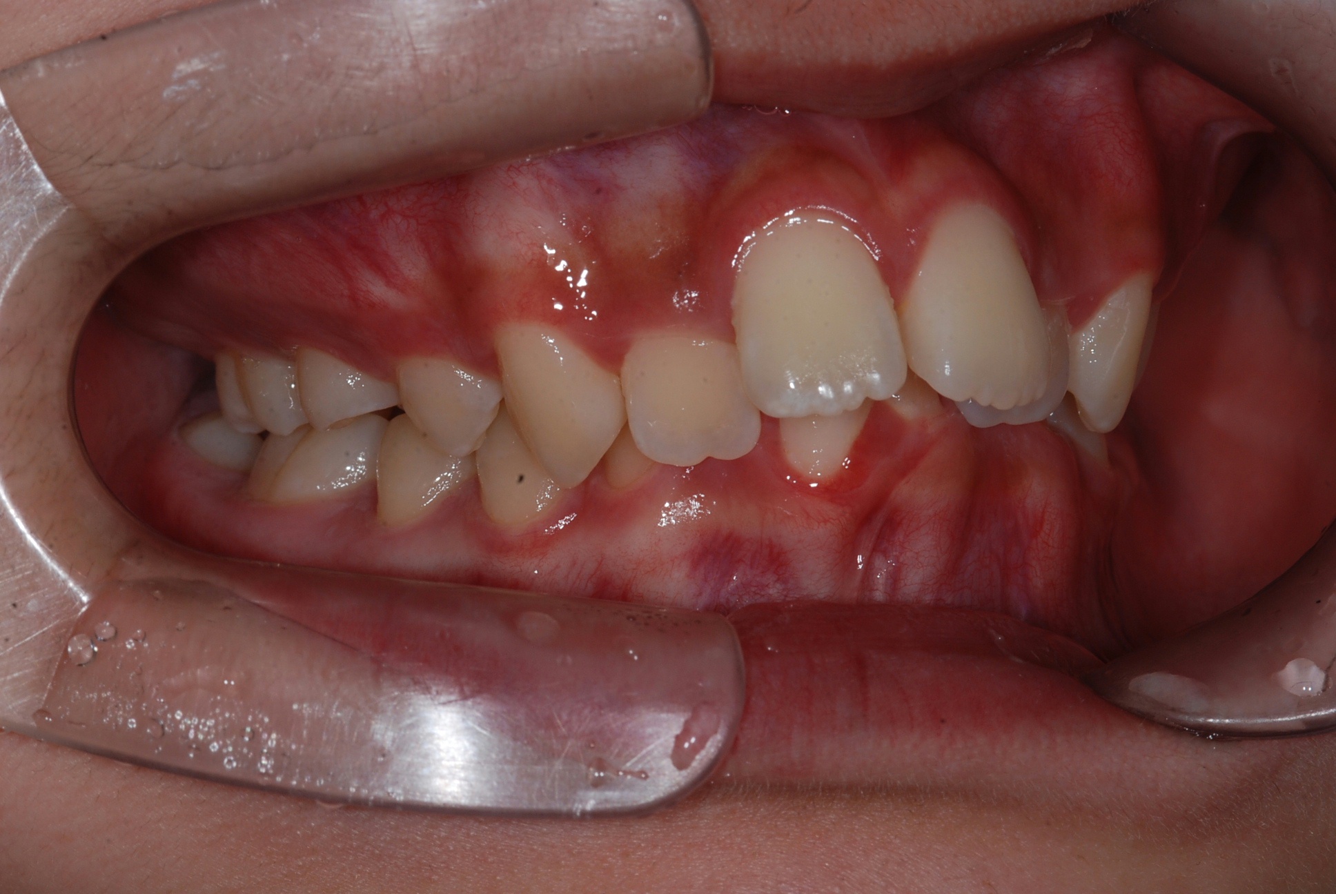
치료 전 사진입니다.

치료 후 사진입니다.

치료 전 사진입니다.

치료 후 사진입니다.

.