[돌출입] 앞니돌출, 덧니
윤성연 Date. 2026-03-31 Hit. 6

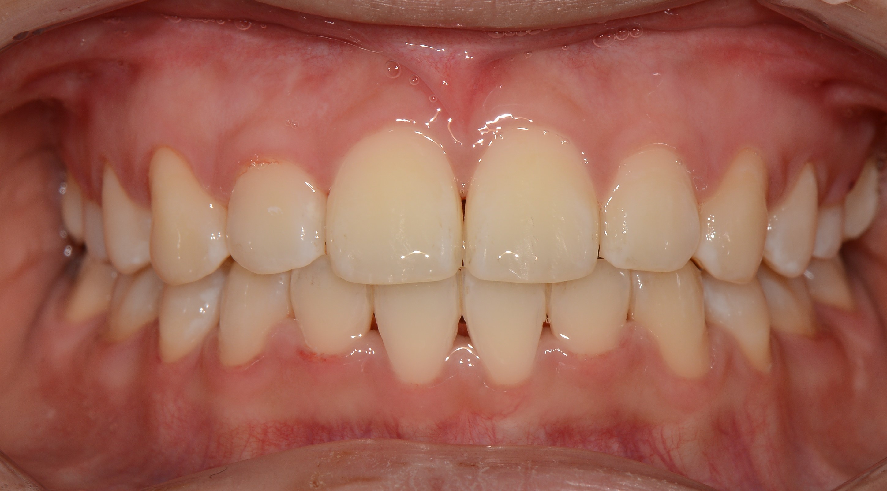
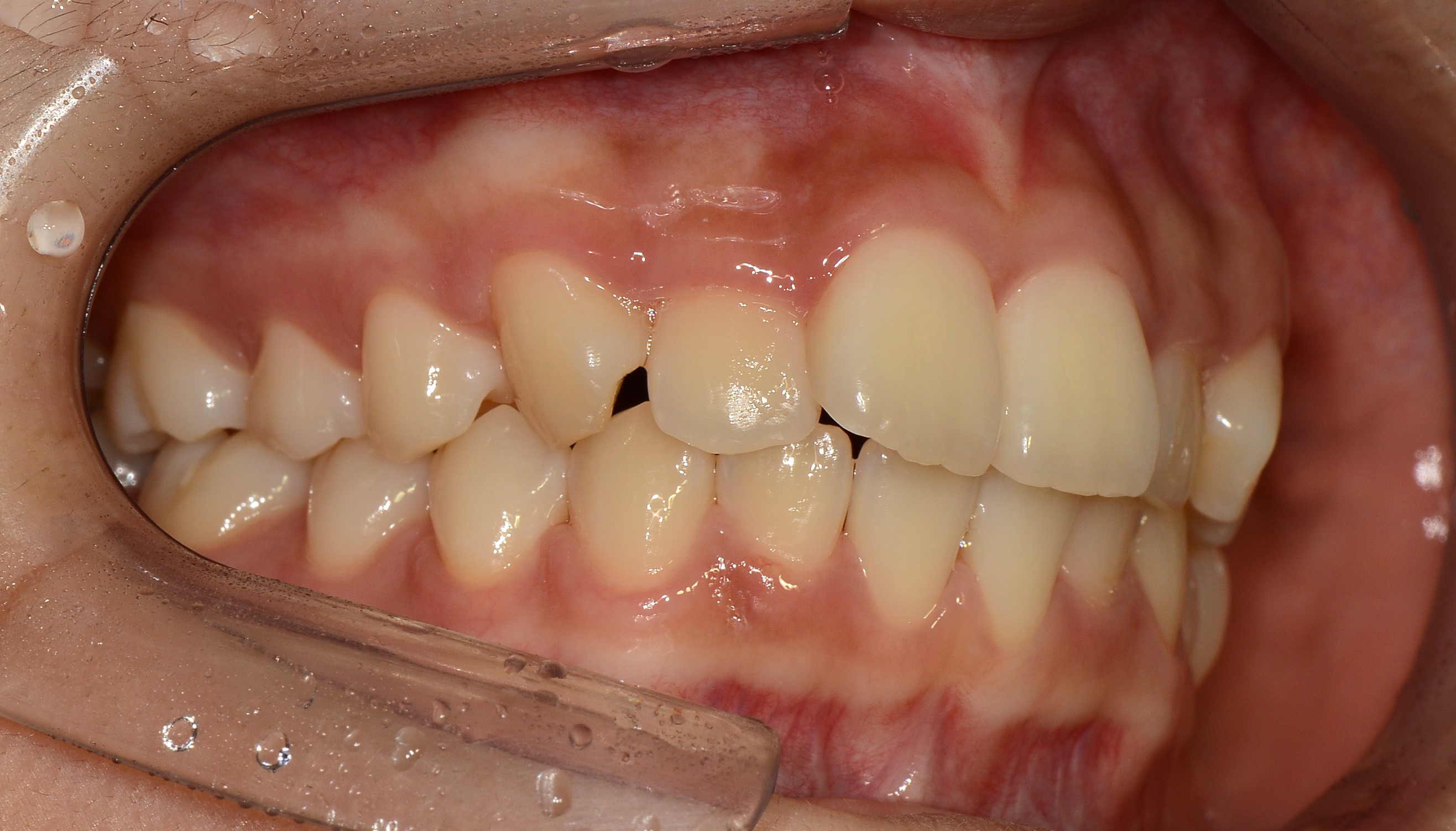
치료 전 사진입니다.

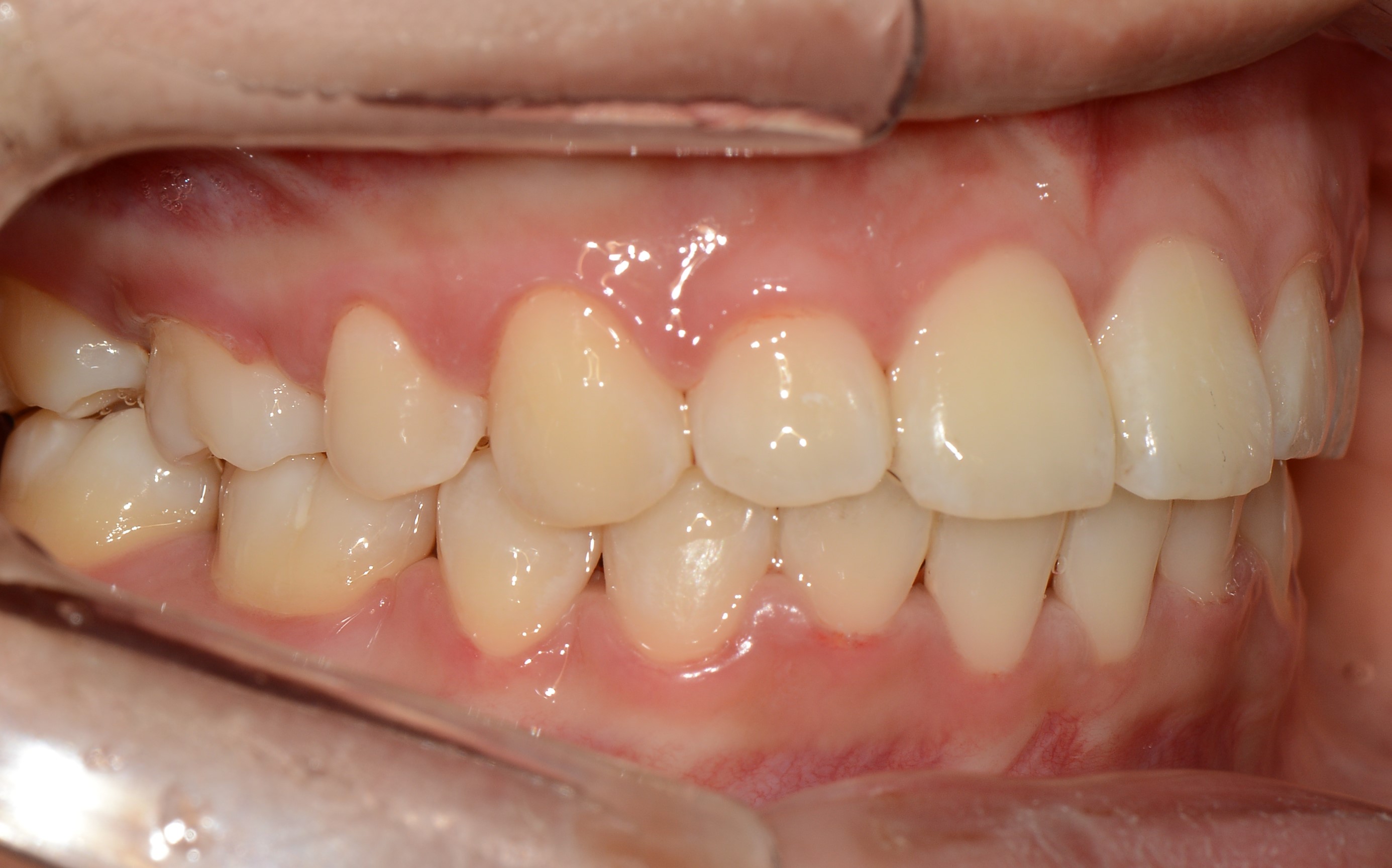
치료 후 사진입니다.

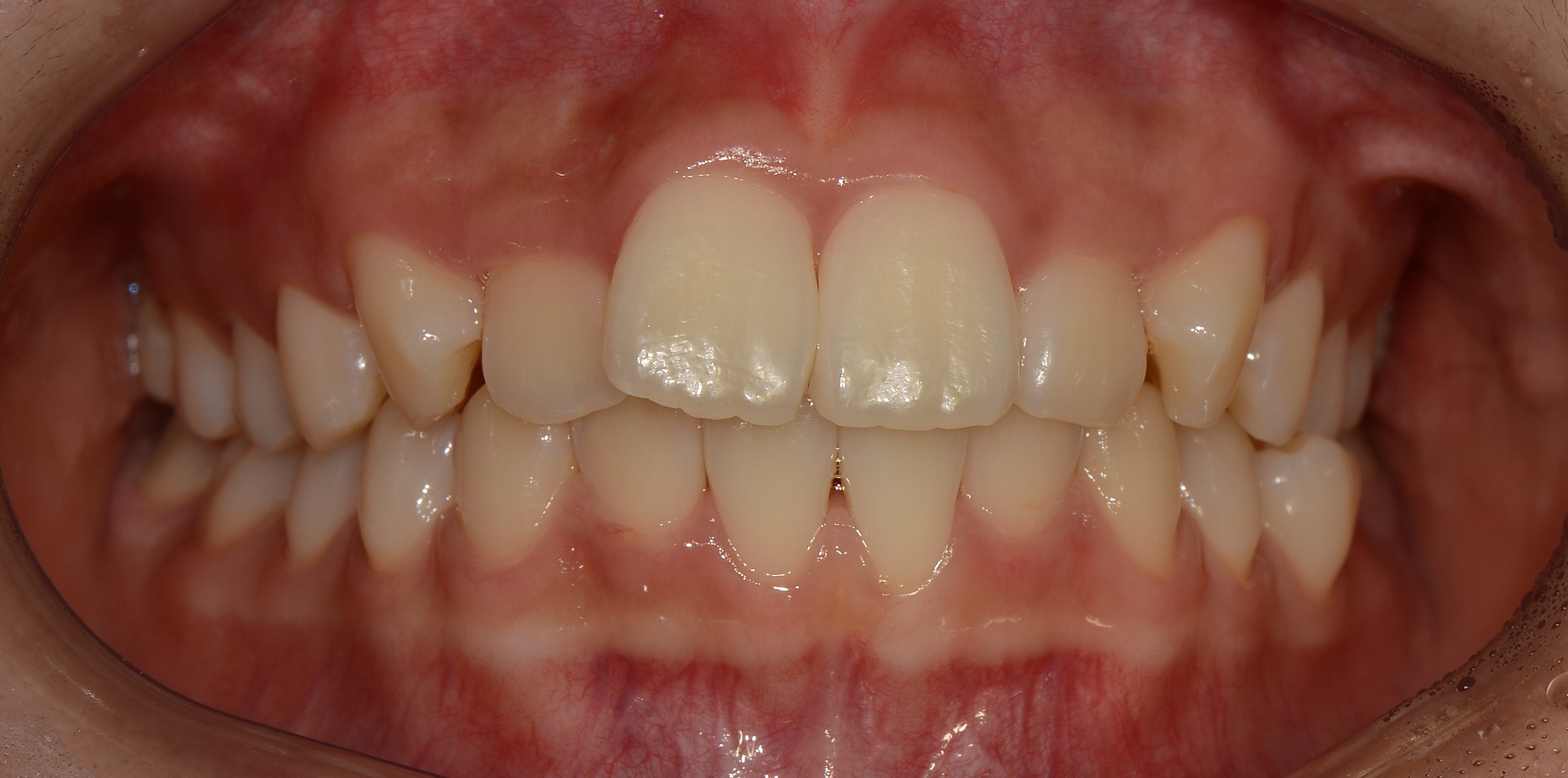
치료 전 사진입니다.

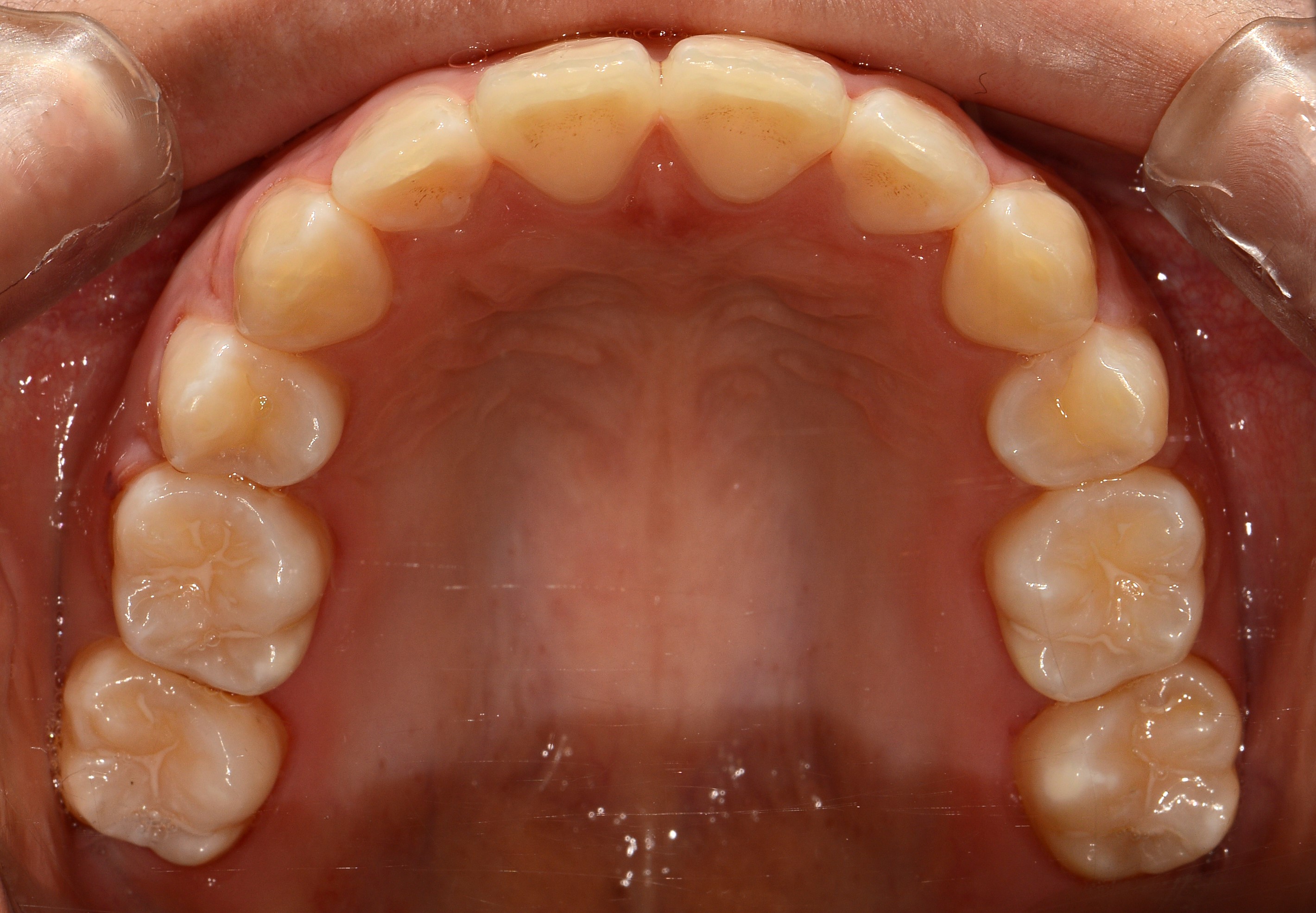
치료 후 사진입니다.

치료 전 사진입니다.

치료 후 사진입니다.