[덧니교정] 덧니교정
윤성연 Date. 2026-03-13 Hit. 0

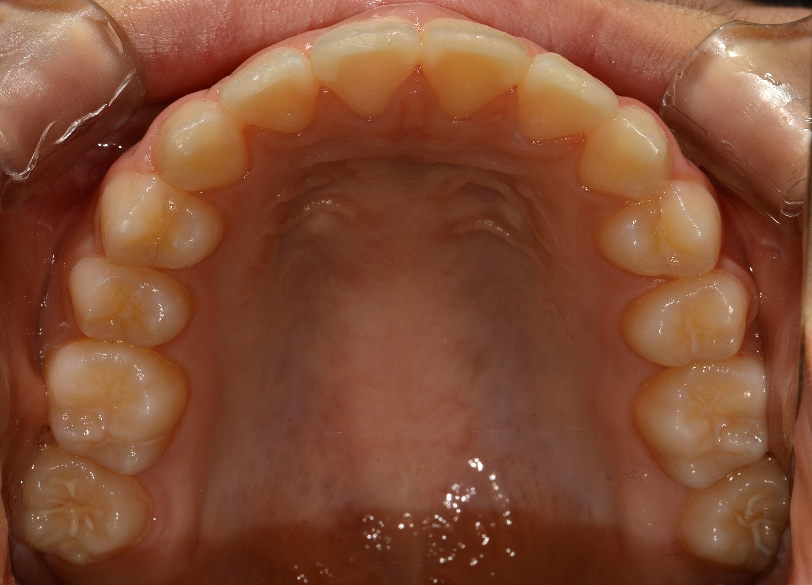
치료 전 사진입니다.

치료 후 사진입니다.

치료 전 사진입니다.

치료 후 사진입니다.

치료 전 사진입니다.

치료 후 사진입니다.