[벌어진치아] 정중이개/돌출입
윤성연 Date. 2026-03-03 Hit. 21

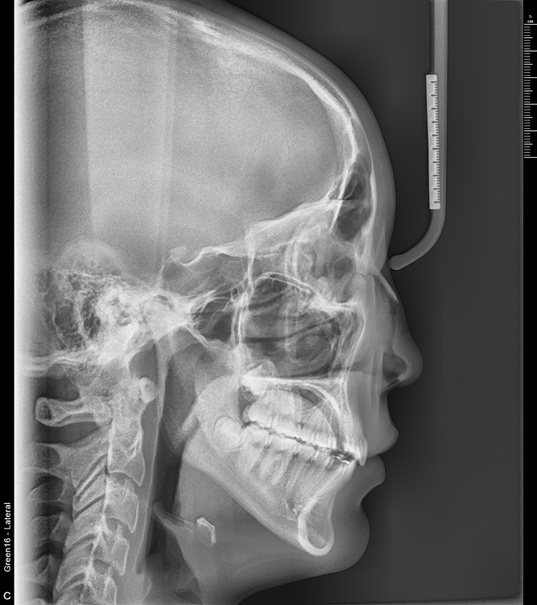
치료 전 사진입니다.

치료 후 사진입니다.

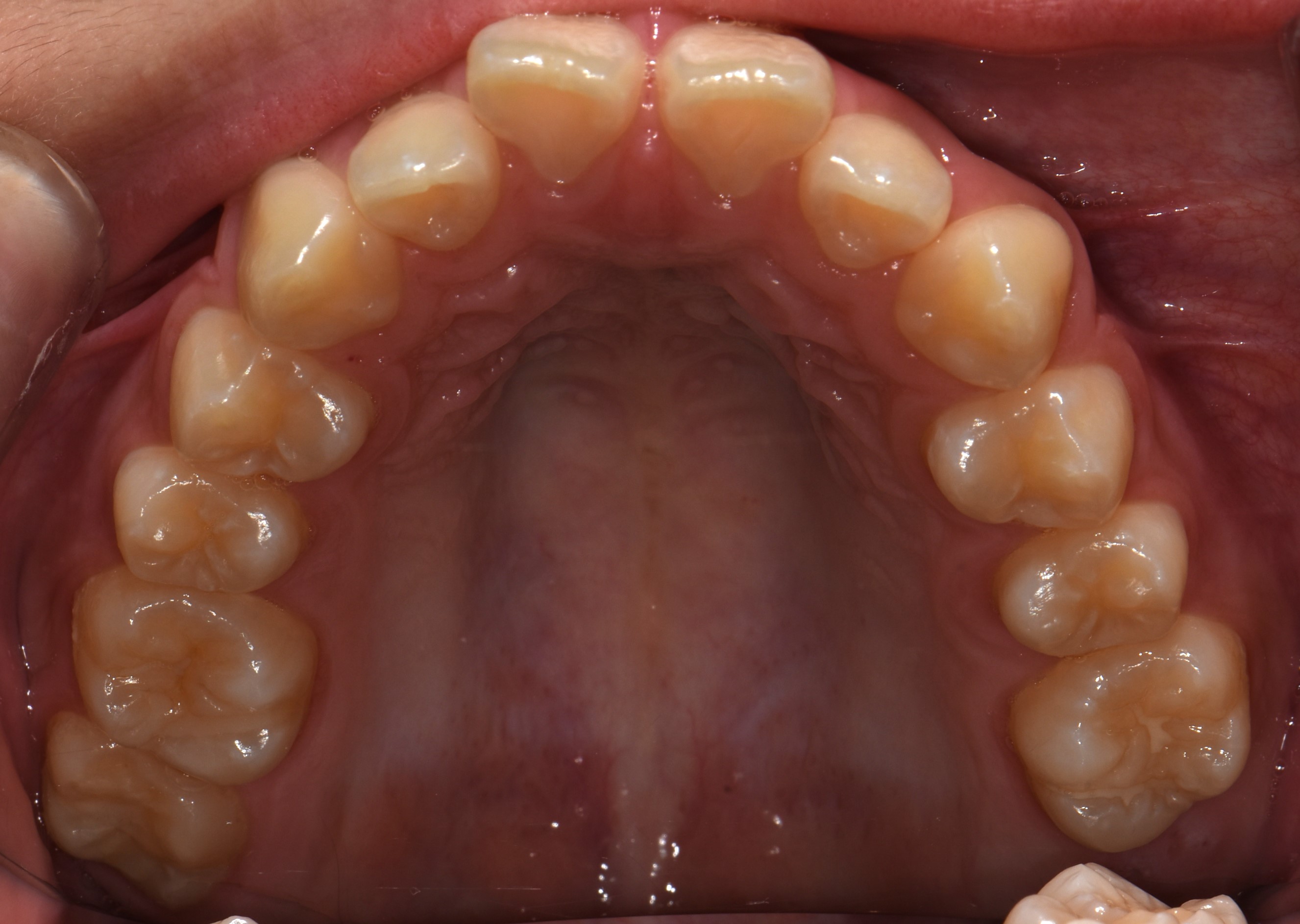
치료 전 사진입니다.

치료 후 사진입니다.

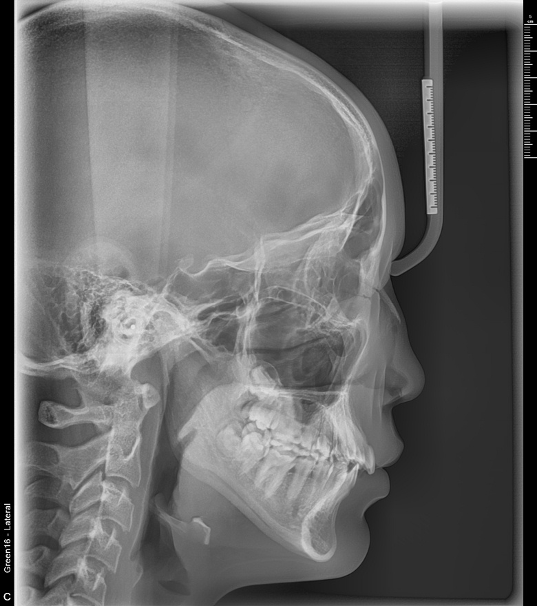
치료 전 사진입니다.

치료 후 사진입니다.