[개방교합] 개방교합
윤성연 Date. 2026-02-02 Hit. 96

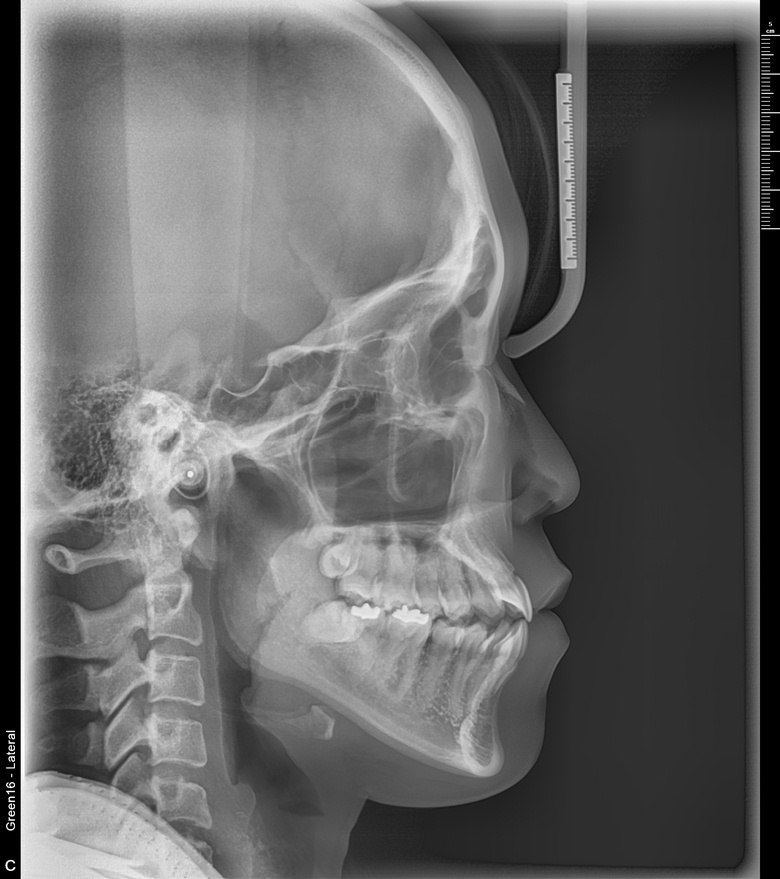
치료 전 사진입니다.

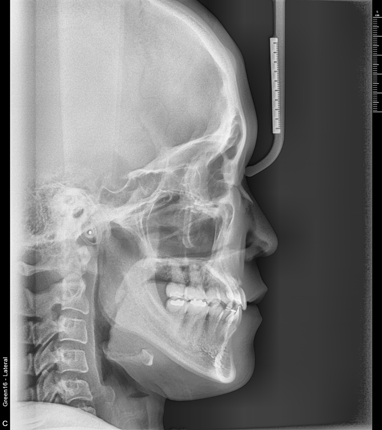
치료 후 사진입니다.

치료 전 사진입니다.

치료 후 사진입니다.

치료 전 사진입니다.

치료 후 사진입니다.