[돌출입] 돌출입/덧니교정
윤성연 Date. 2025-12-31 Hit. 176

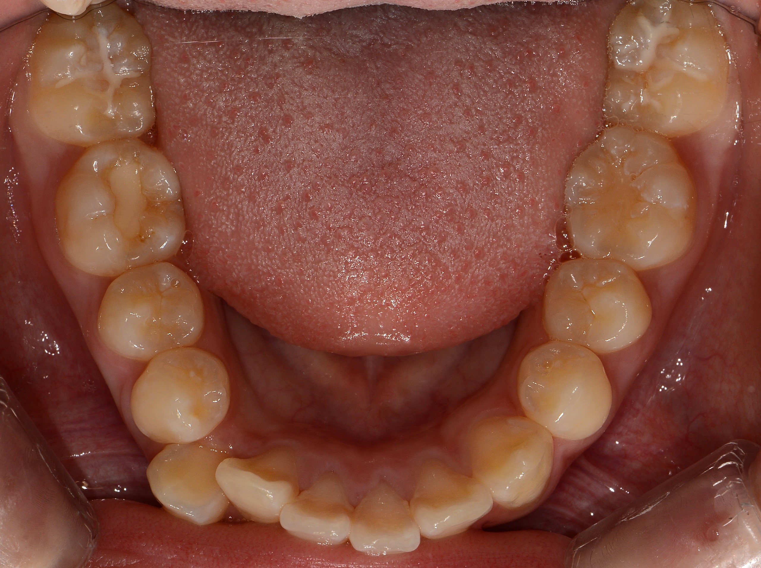
치료 전 사진입니다.

치료 후 사진입니다.

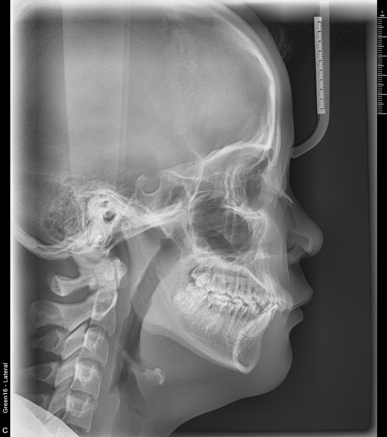
치료 전 사진입니다.

치료 후 사진입니다.

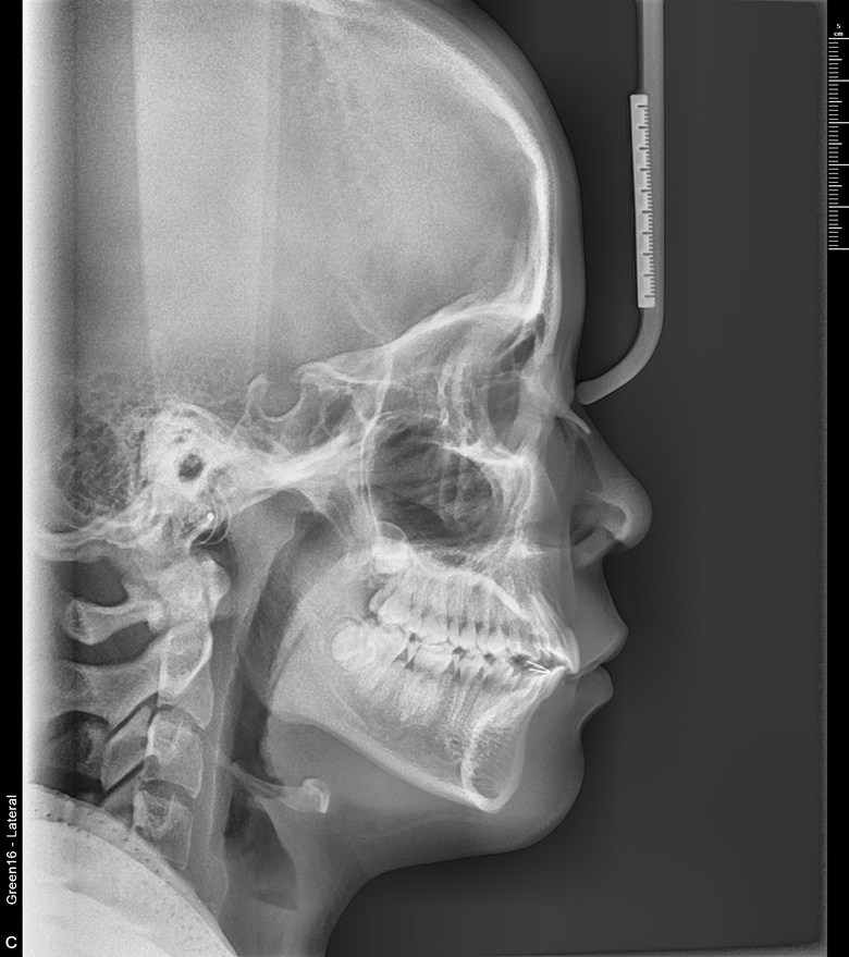
치료 전 사진입니다.

치료 후 사진입니다.