[돌출입] 돌출입/ 덧니교정
윤성연 Date. 2025-12-15 Hit. 256

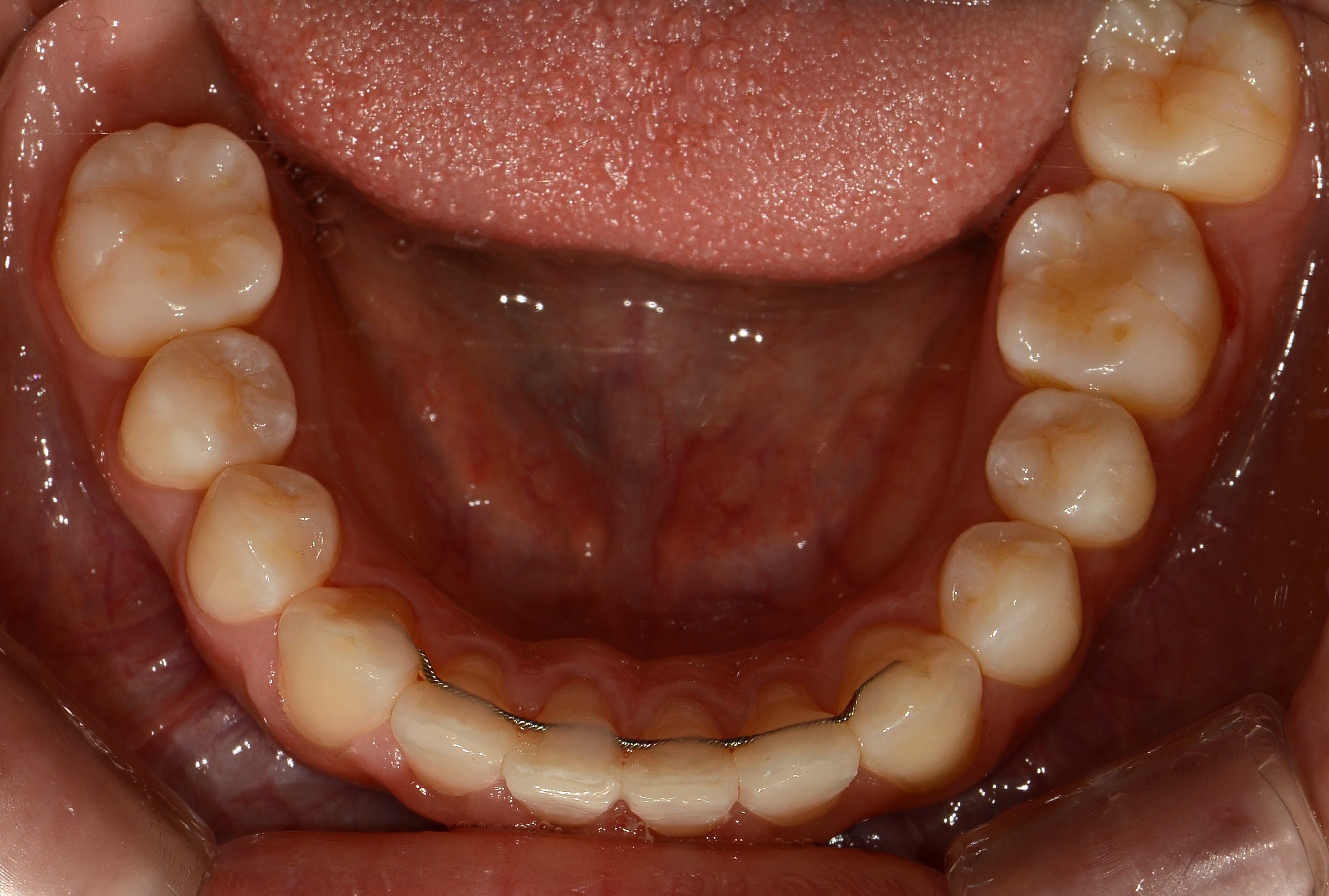
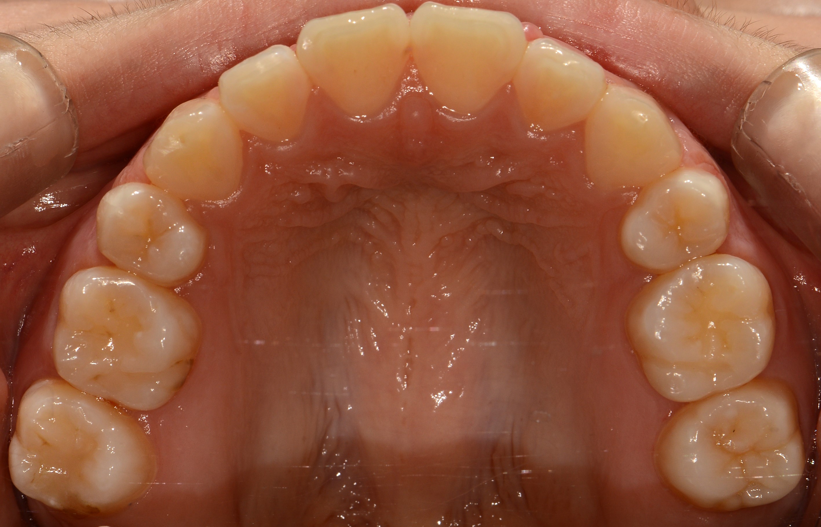
치료 전 사진입니다.

치료 후 사진입니다.

치료 전 사진입니다.

치료 후 사진입니다.

치료 전 사진입니다.

치료 후 사진입니다.