[덧니교정] 돌출/덧니/쓰러진 어금니
윤성연 Date. 2025-11-28 Hit. 278

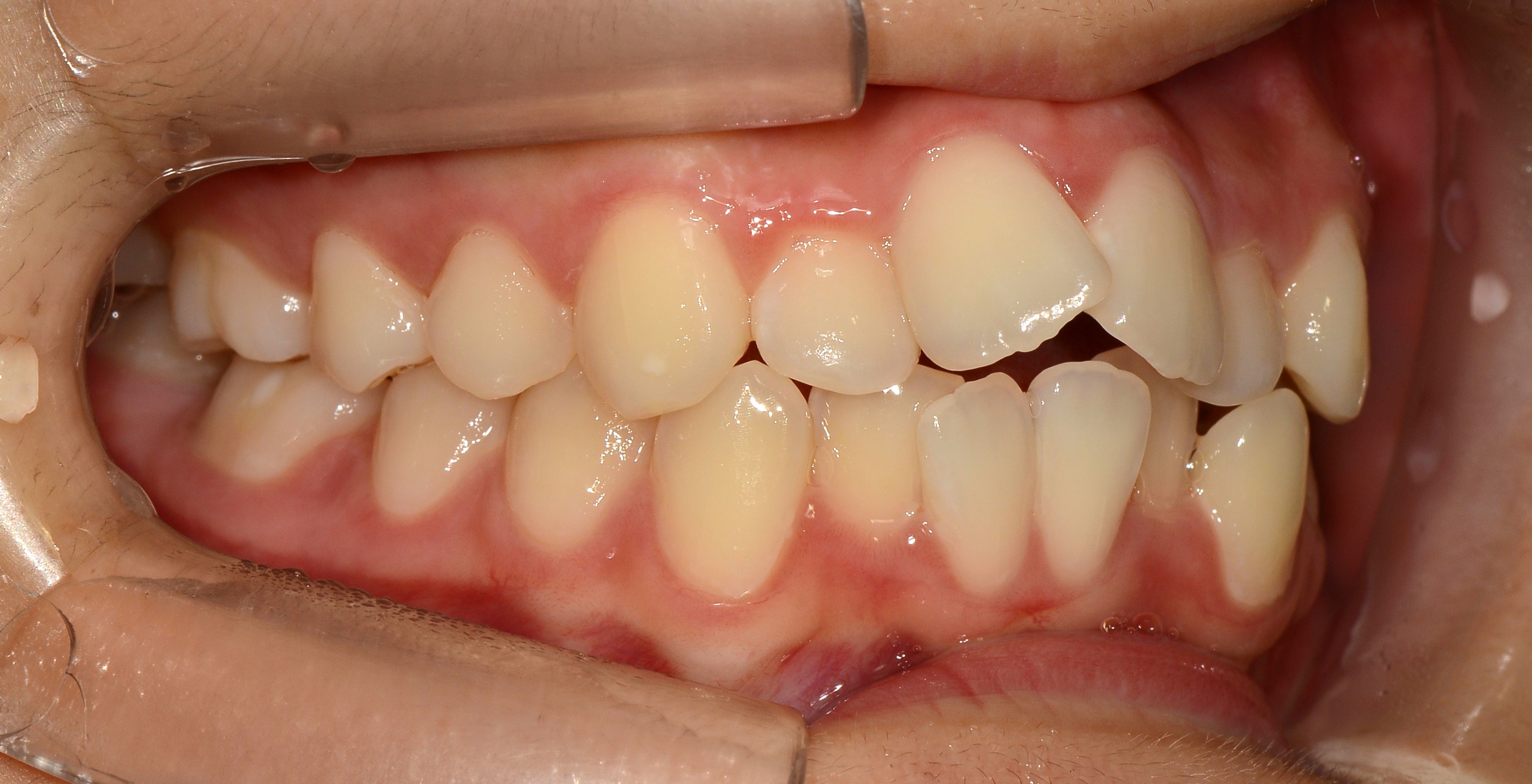
치료 전 사진입니다.

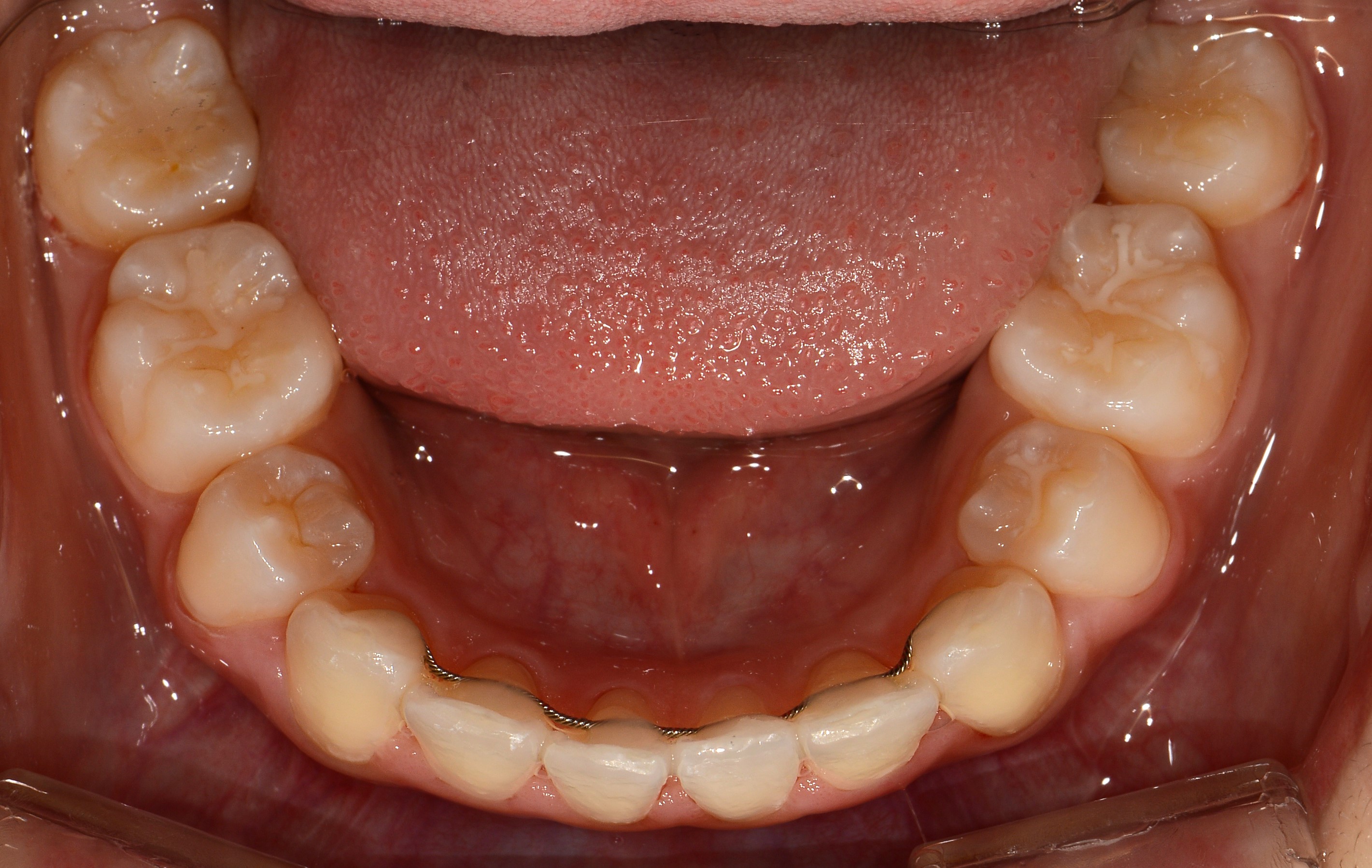
치료 후 사진입니다.

치료 전 사진입니다.

치료 후 사진입니다.

치료 전 사진입니다.

치료 후 사진입니다.