[반대교합/주걱턱] 반대교합/OP/덧니
윤성연 Date. 2025-10-31 Hit. 361

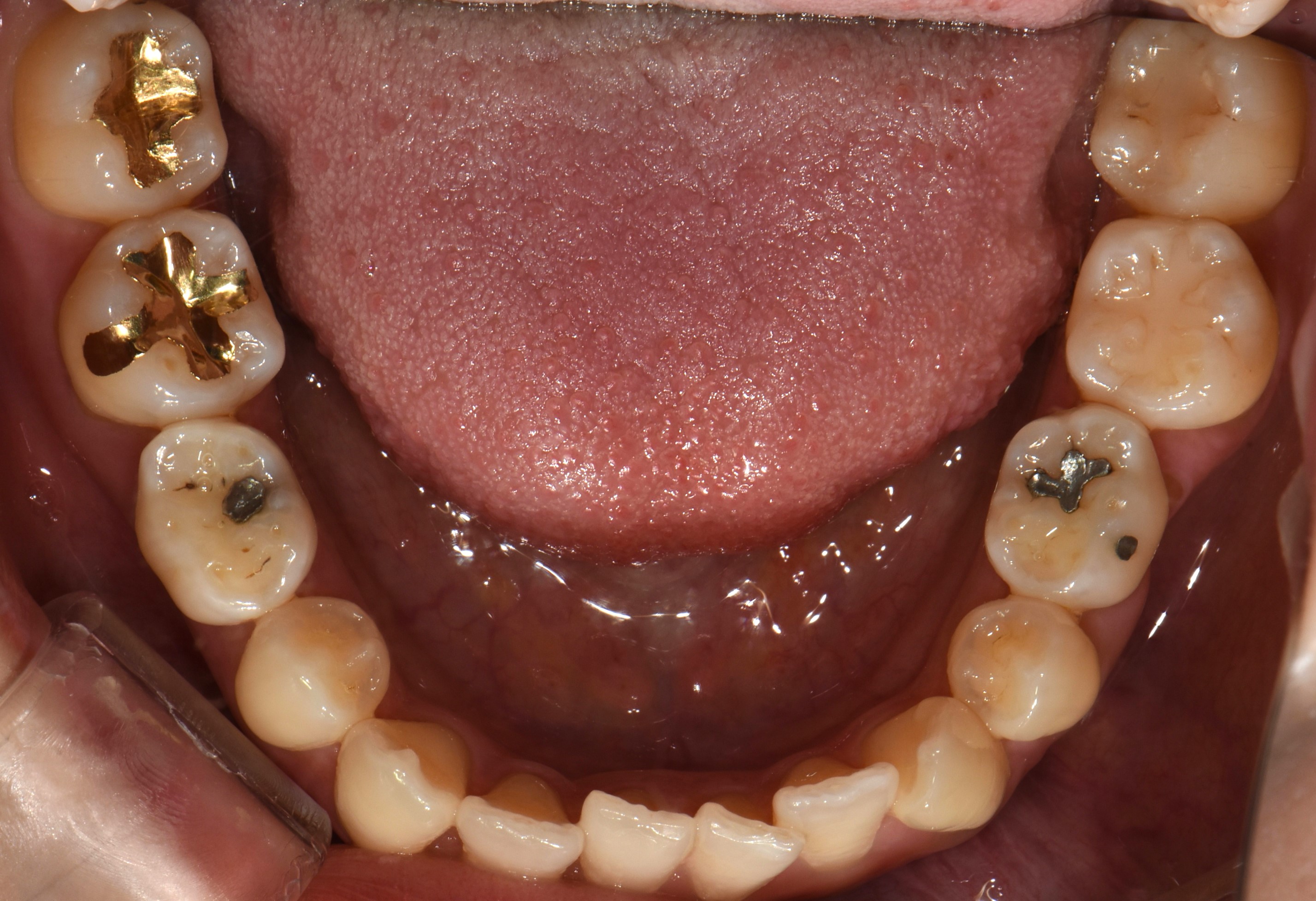
치료 전 사진입니다.

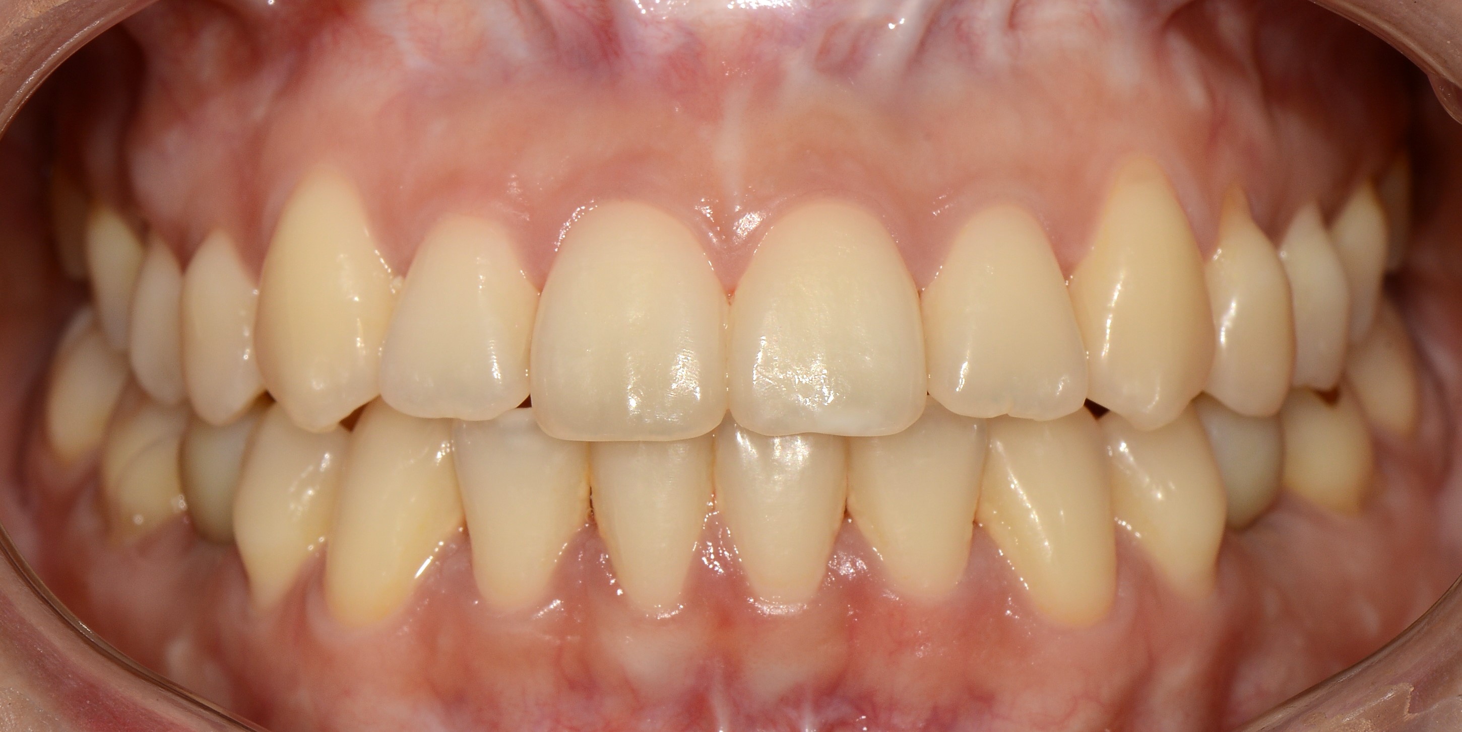
치료 후 사진입니다.

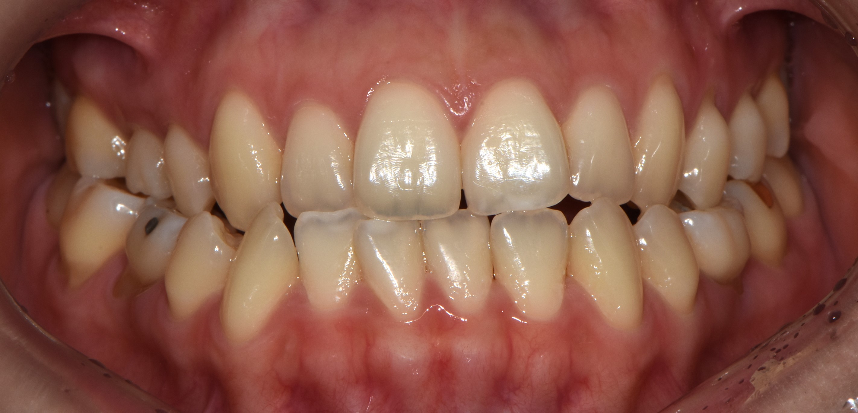
치료 전 사진입니다.

치료 후 사진입니다.

치료 전 사진입니다.

치료 후 사진입니다.