[돌출입] 앞니 돌출/덧니교정
윤성연 Date. 2025-09-15 Hit. 569

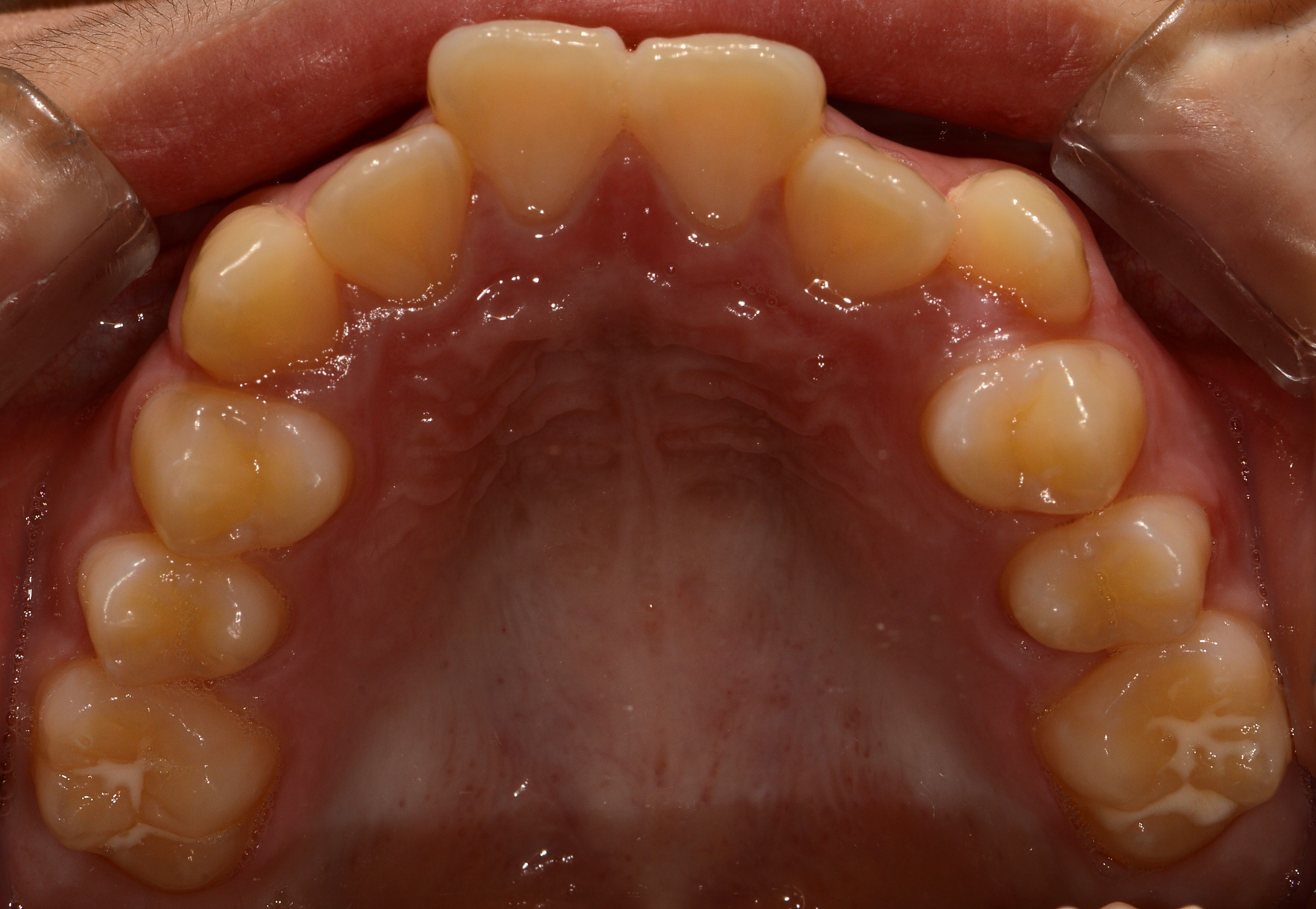
치료 전 사진입니다.

치료 후 사진입니다.

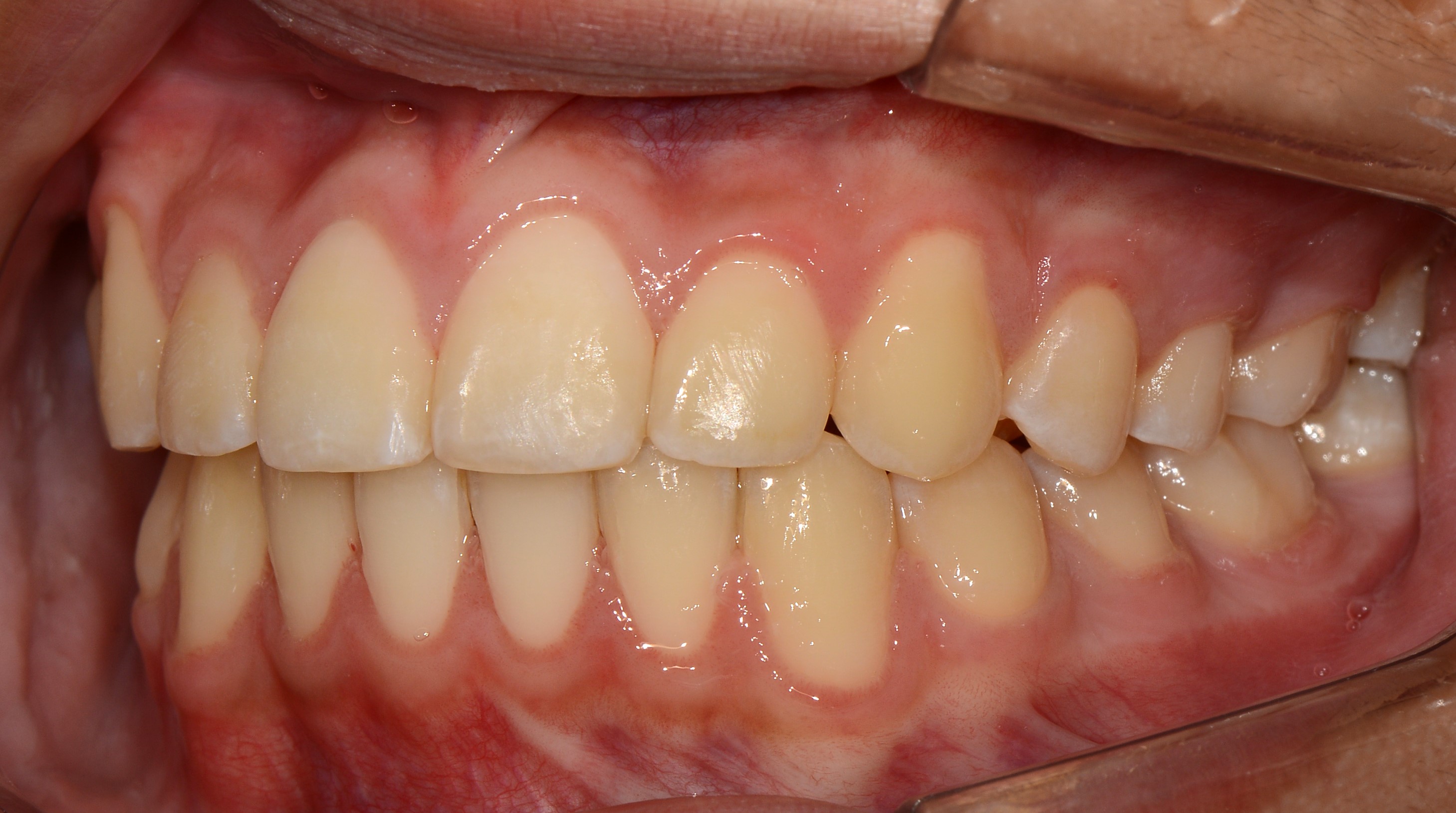
치료 전 사진입니다.

치료 후 사진입니다.

치료 전 사진입니다.

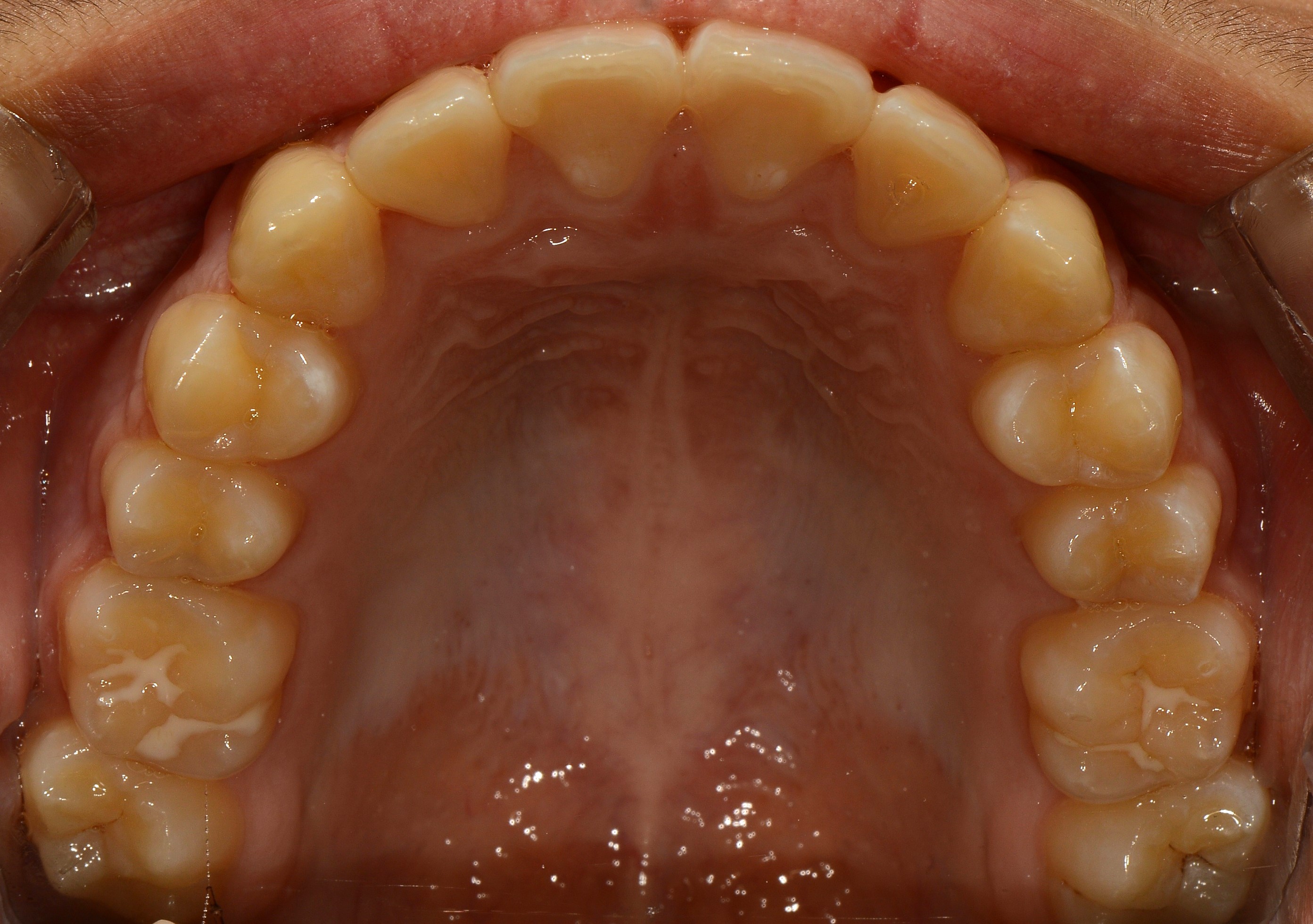
치료 후 사진입니다.