[과개교합] 과개교합/덧니교정
윤성연 Date. 2025-08-27 Hit. 624

치료 전 사진입니다.

치료 후 사진입니다.

치료 전 사진입니다.

치료 후 사진입니다.

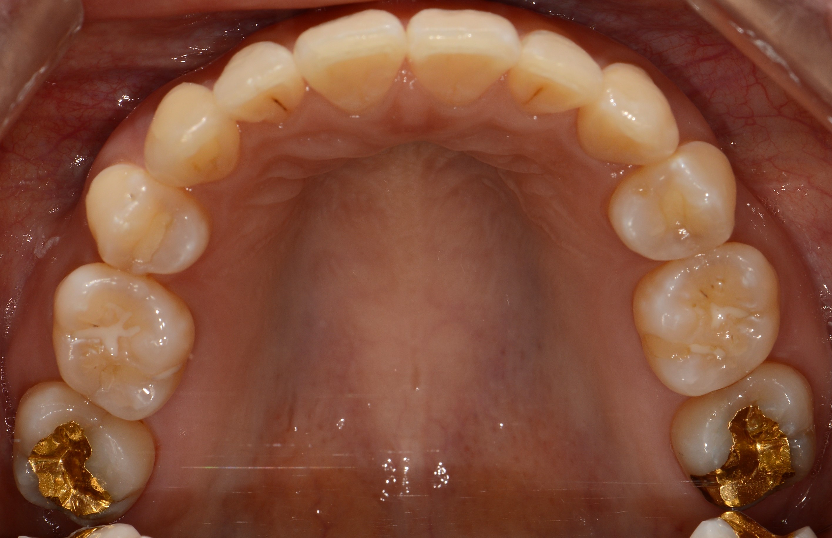
치료 전 사진입니다.

치료 후 사진입니다.