[돌출입] 덧니교정/돌출입
윤성연 Date. 2025-07-30 Hit. 785

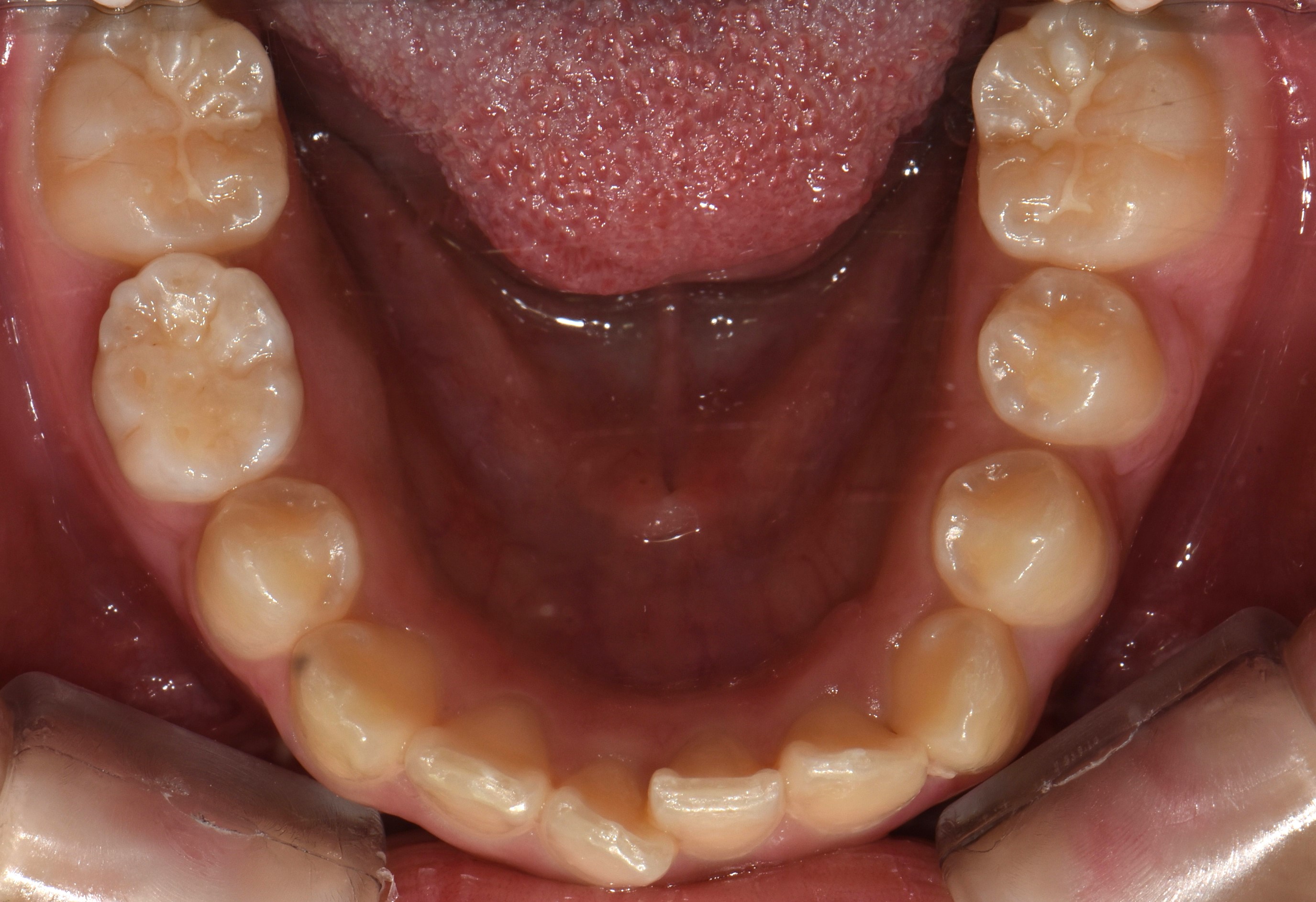
치료 전 사진입니다.

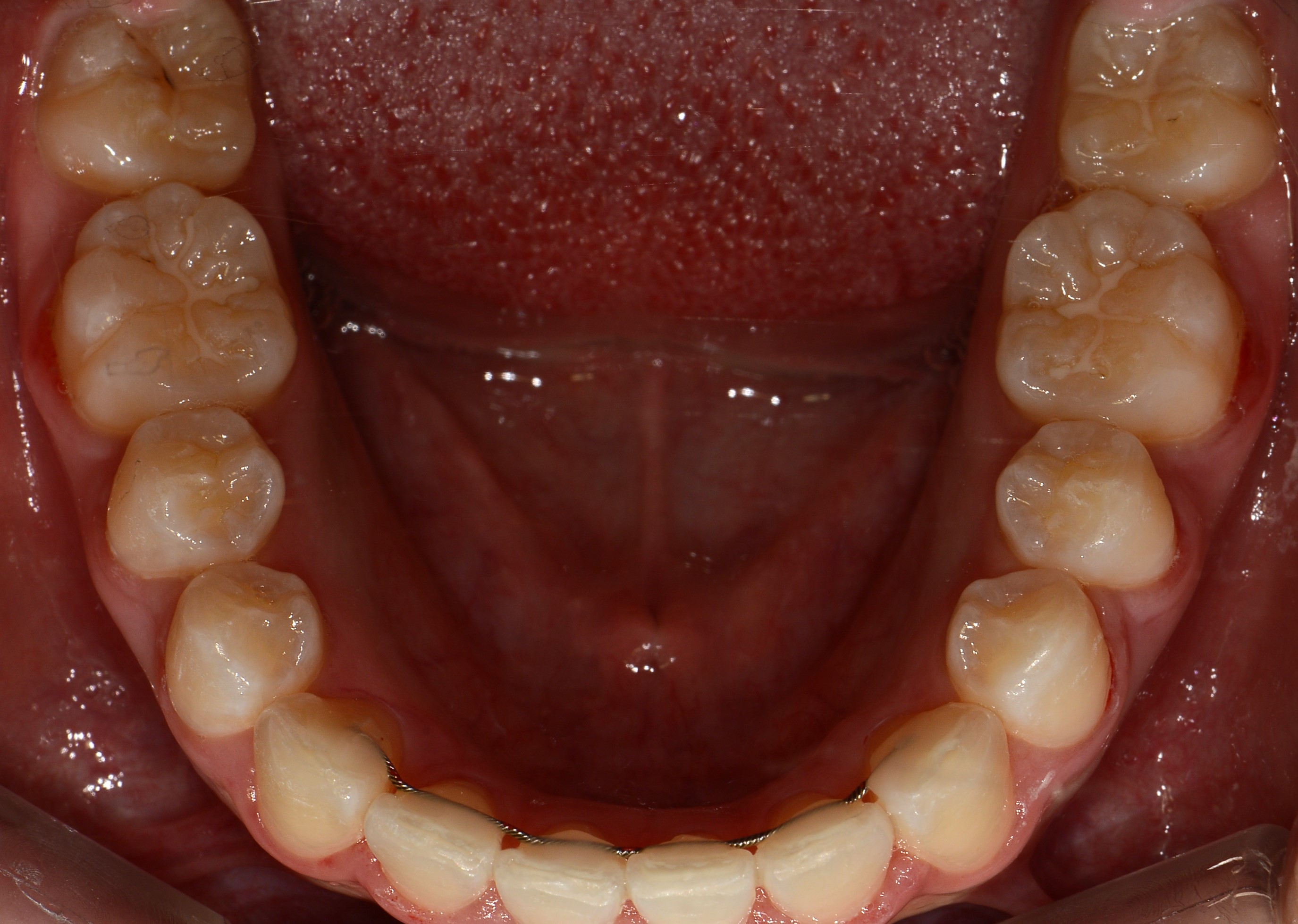
치료 후 사진입니다.

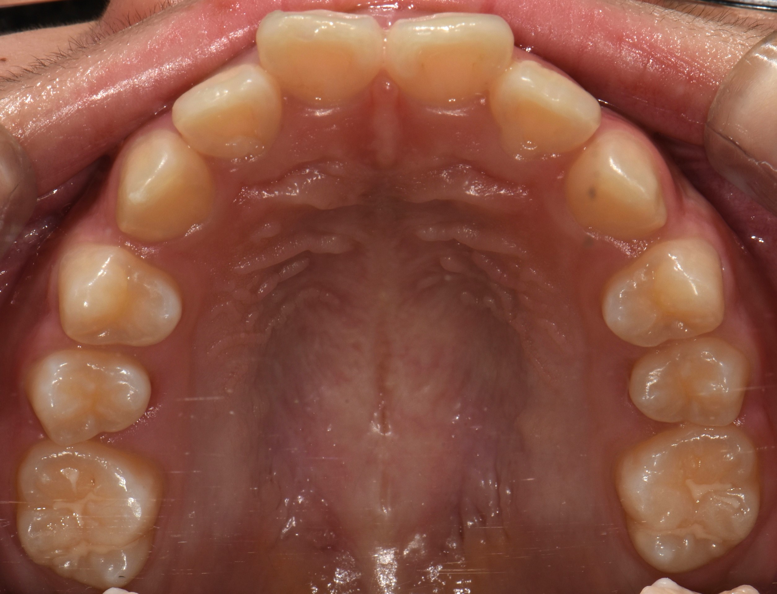
치료 전 사진입니다.

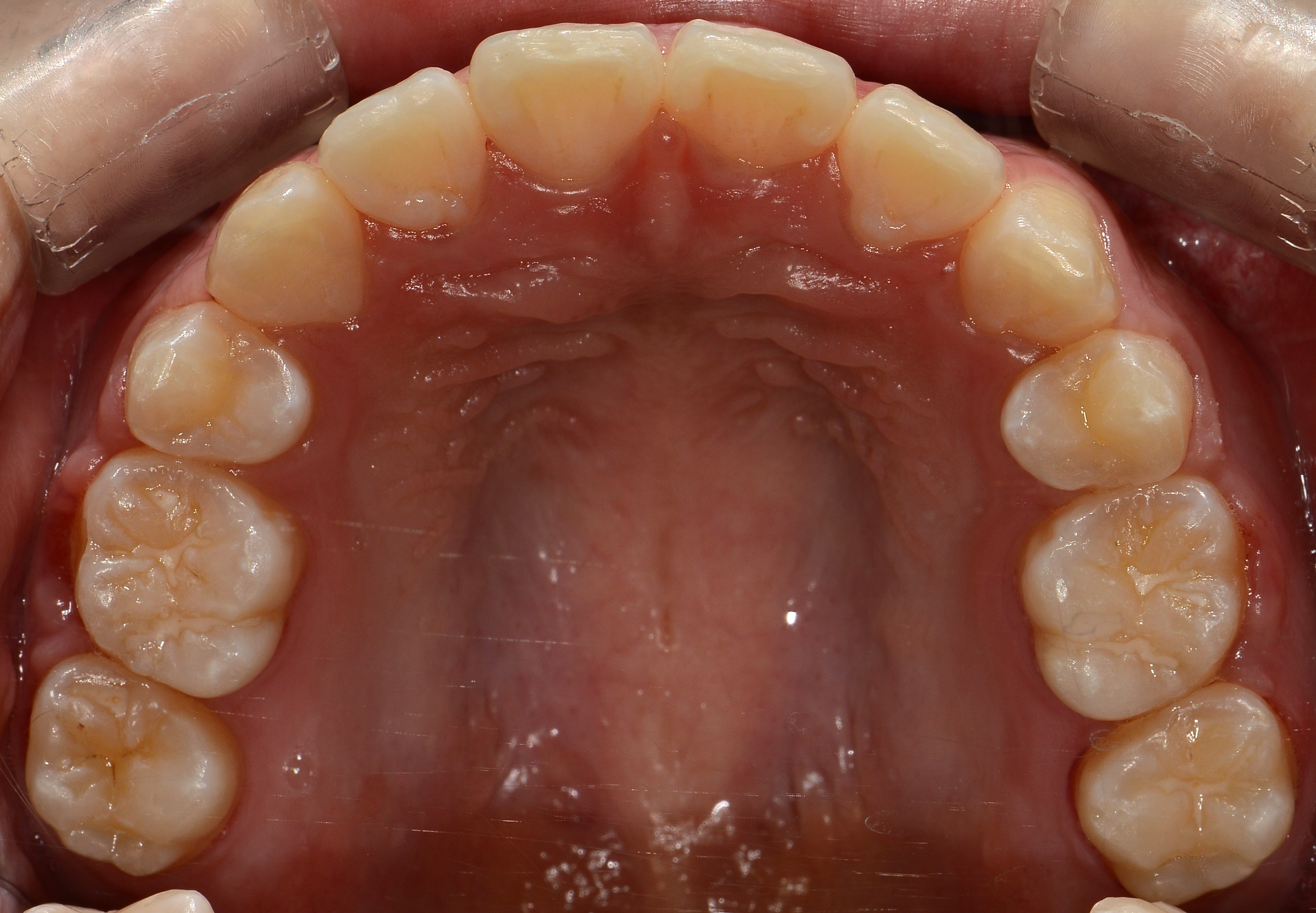
치료 후 사진입니다.

치료 전 사진입니다.

치료 후 사진입니다.