[벌어진치아] 벌어진 앞니(소아 1차 교정)
윤성연 Date. 2025-07-15 Hit. 796

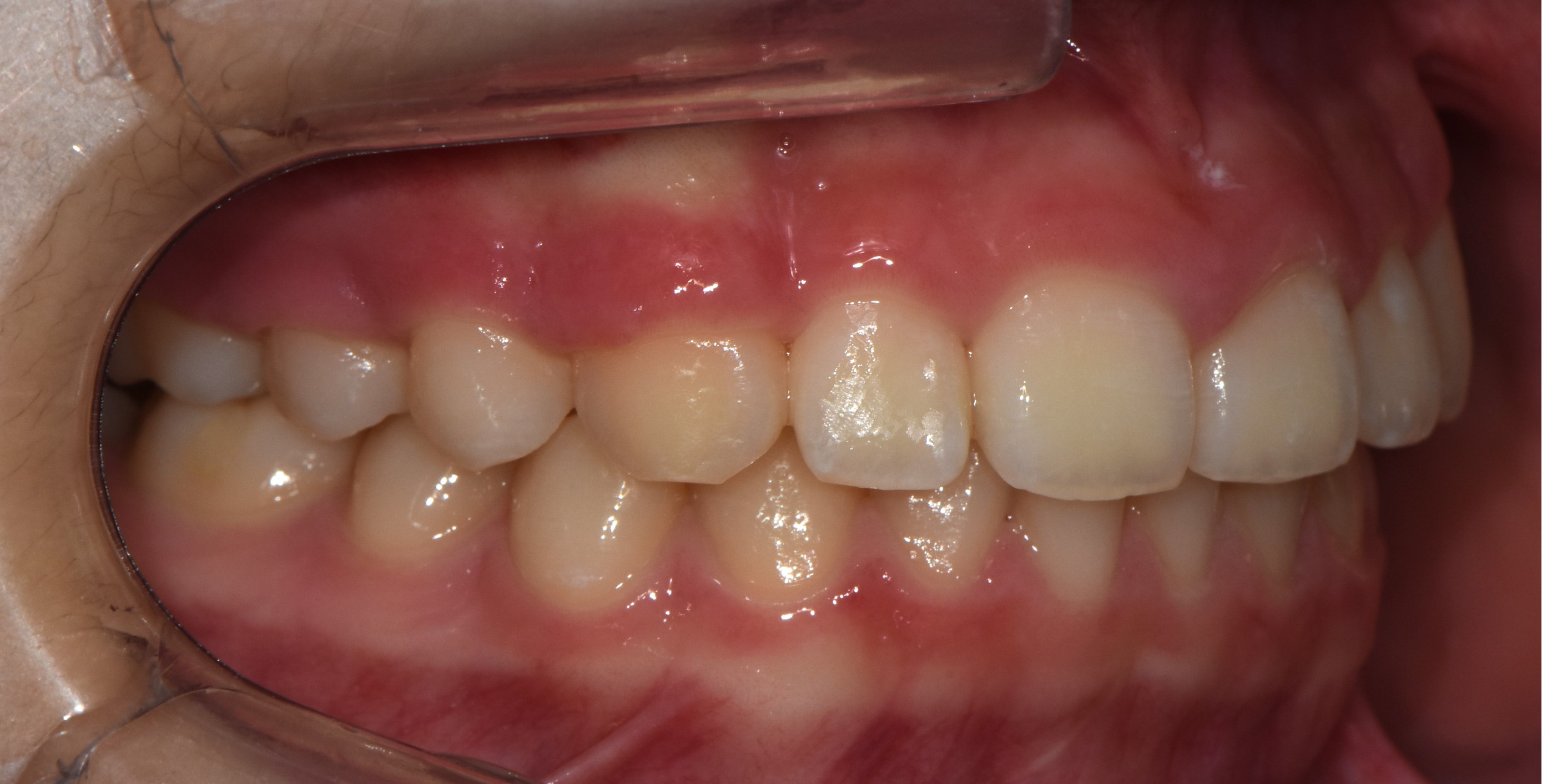
치료 전 사진입니다.

치료 후 사진입니다.

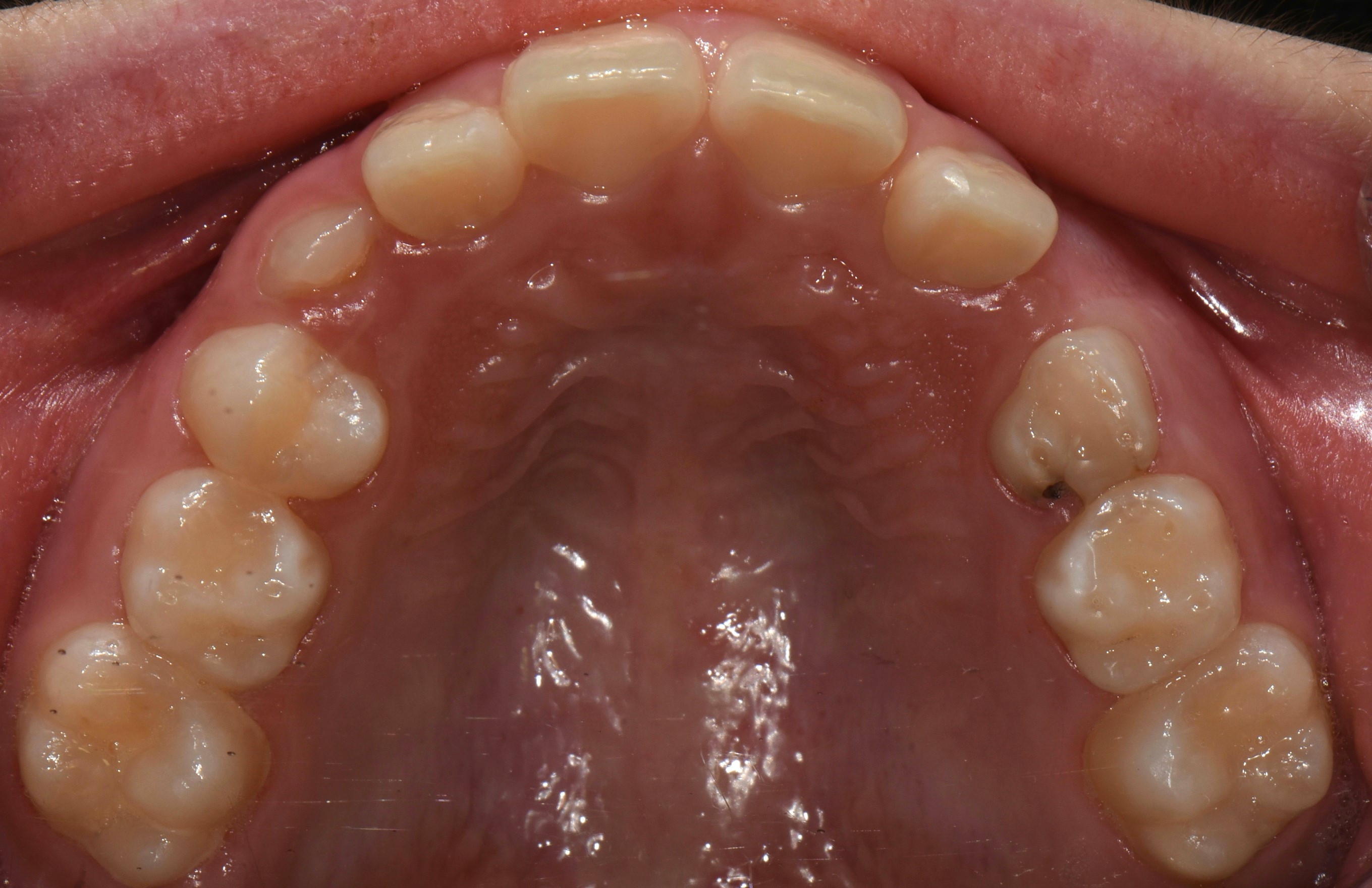
치료 전 사진입니다.

치료 후 사진입니다.

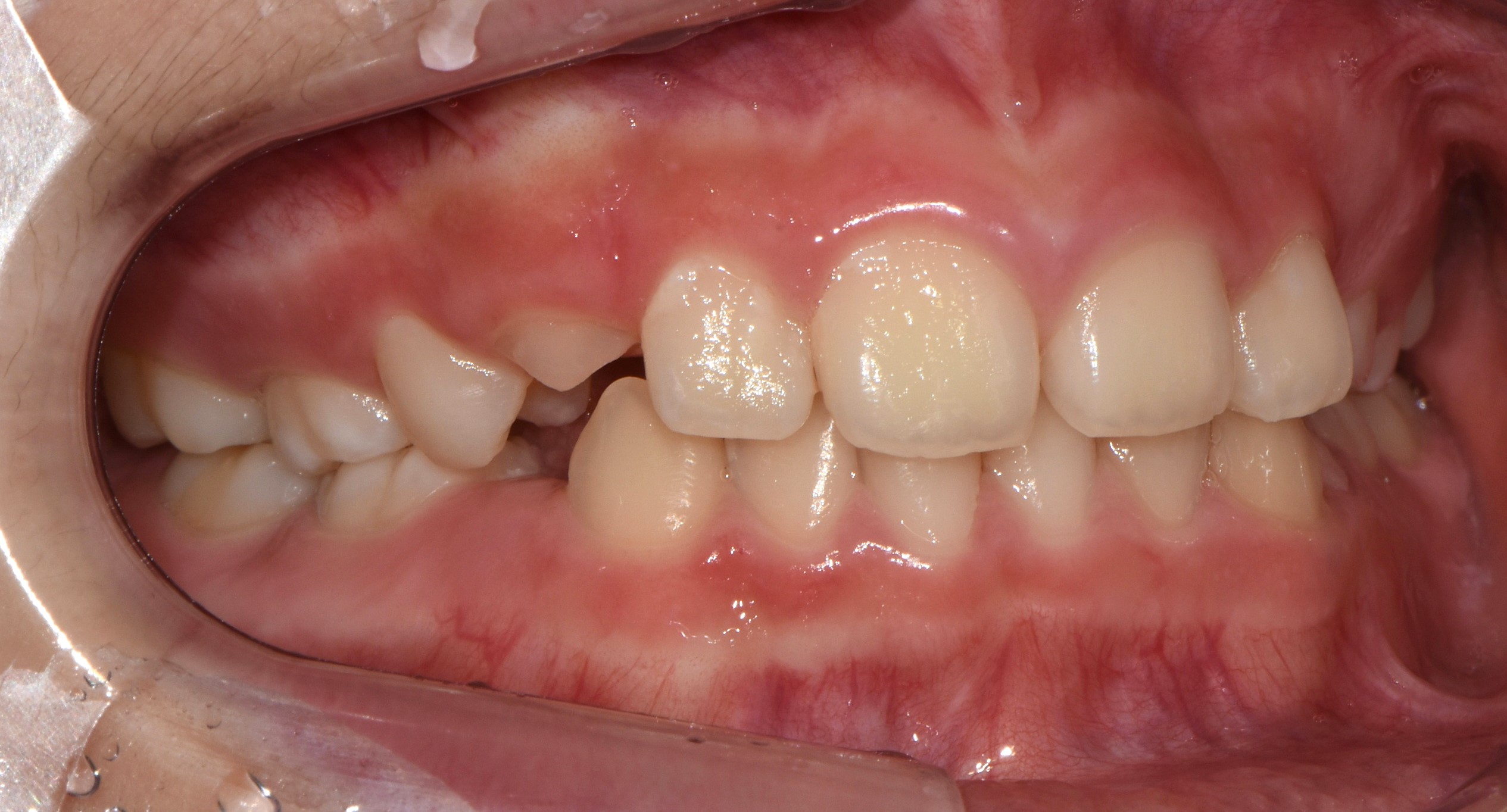
치료 전 사진입니다.

치료 후 사진입니다.