[덧니교정] 덧니교정
윤성연 Date. 2025-07-15 Hit. 862

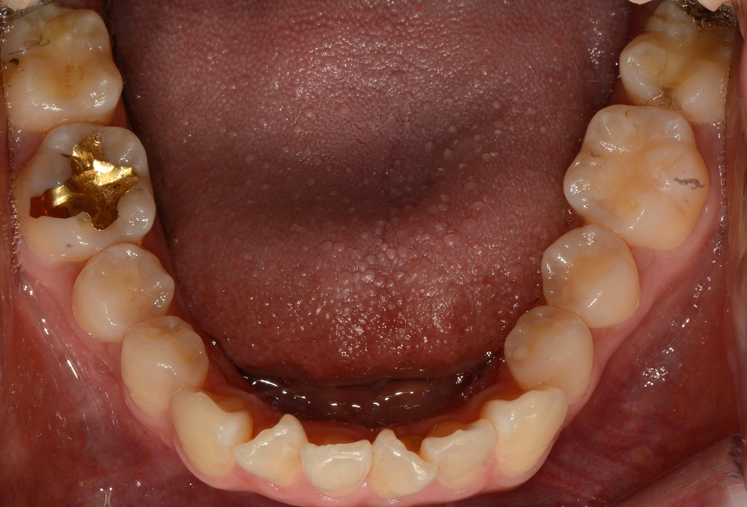
치료 전 사진입니다.

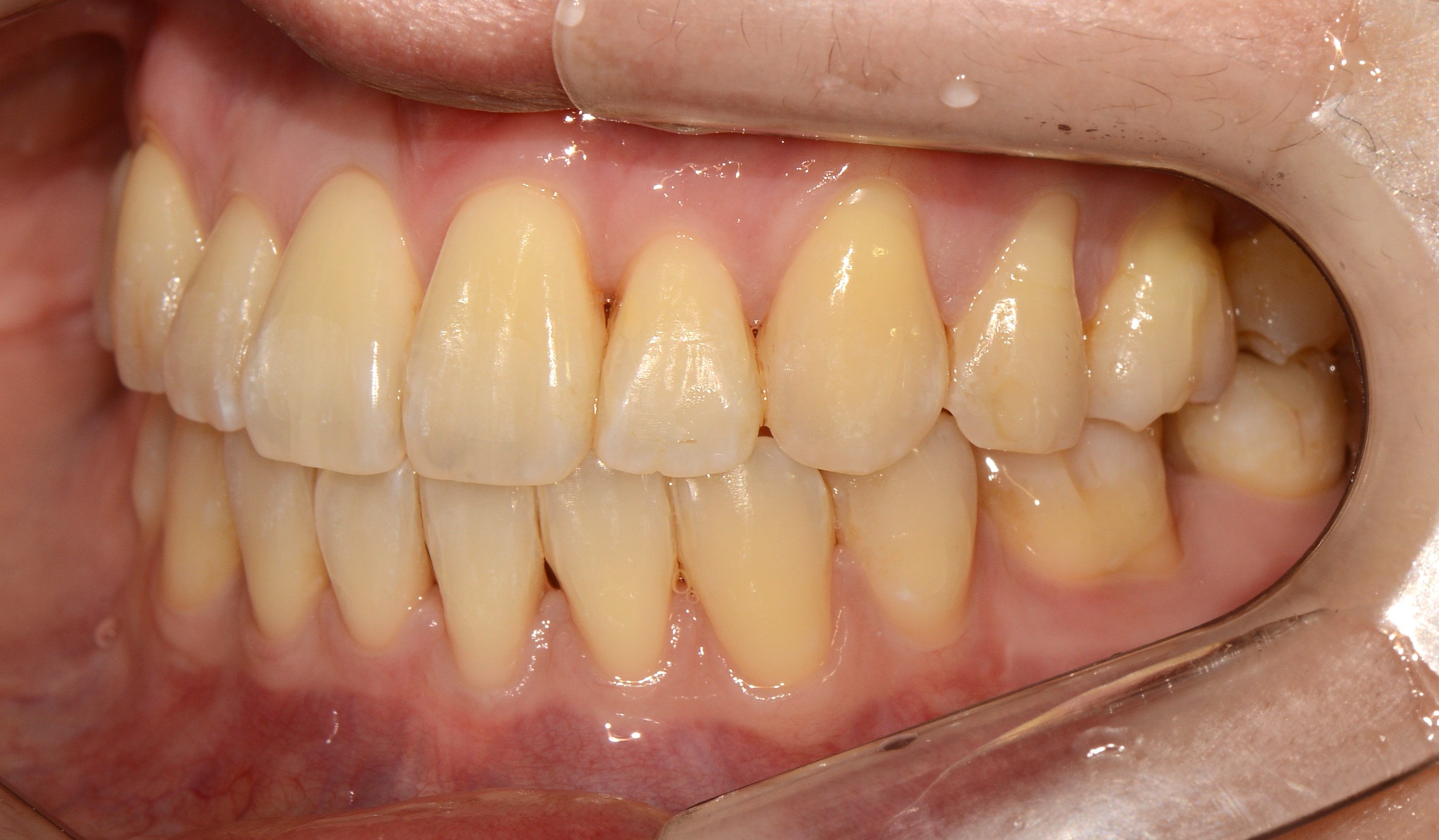
치료 후 사진입니다.

치료 전 사진입니다.

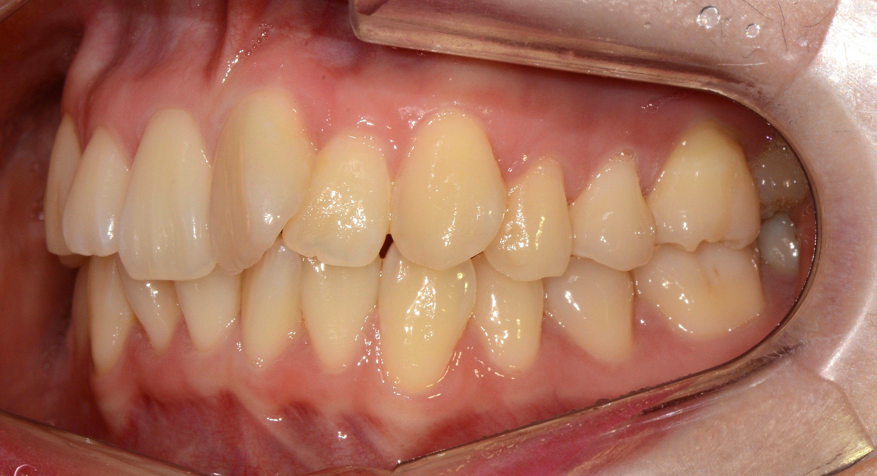
치료 후 사진입니다.

치료 전 사진입니다.

치료 후 사진입니다.