[벌어진치아] 벌어진 치아
윤성연 Date. 2025-06-13 Hit. 909

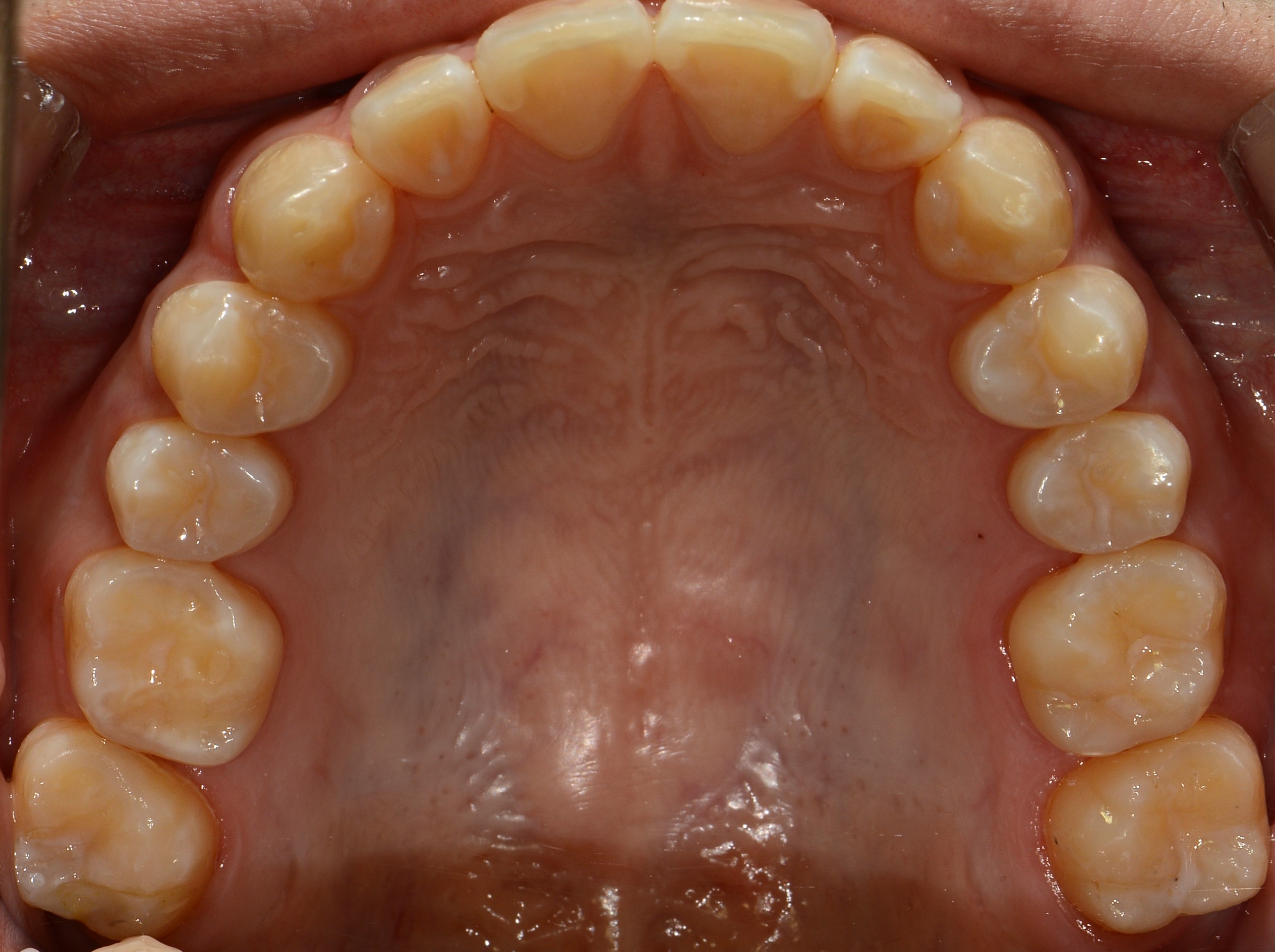
치료 전 사진입니다.

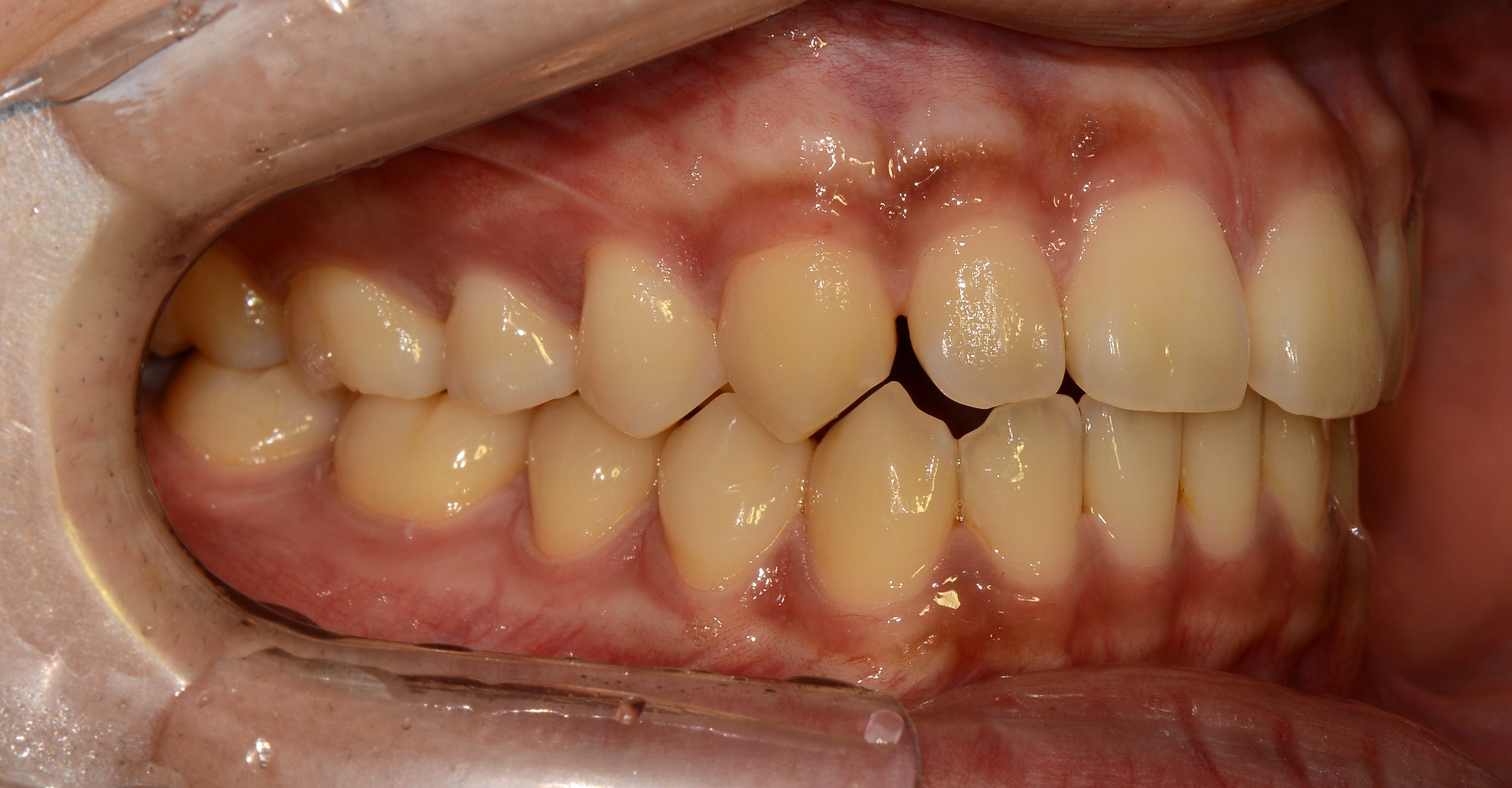
치료 후 사진입니다.

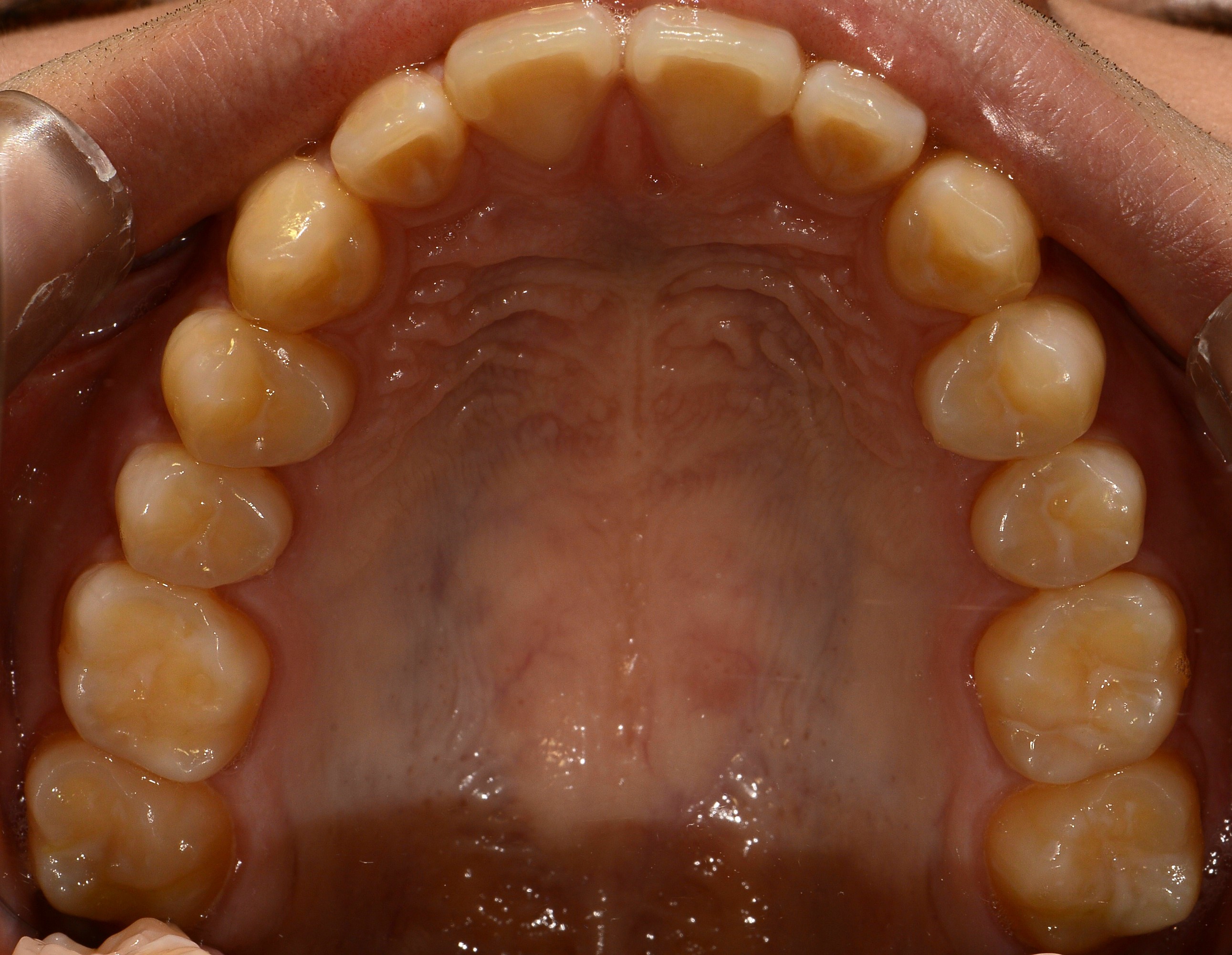
치료 전 사진입니다.

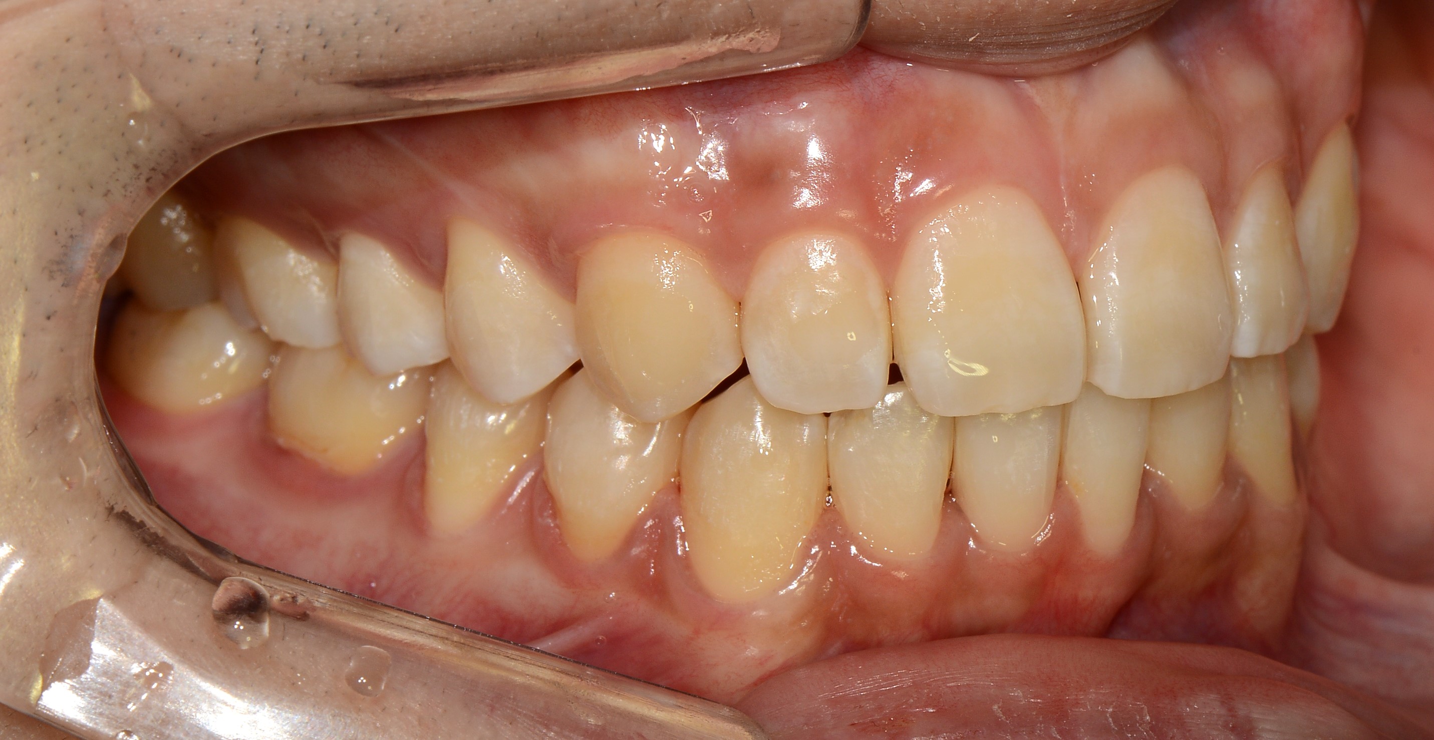
치료 후 사진입니다.

치료 전 사진입니다.

치료 후 사진입니다.