[덧니교정] 덧니교정/타원재교정
윤성연 Date. 2025-05-16 Hit. 1068

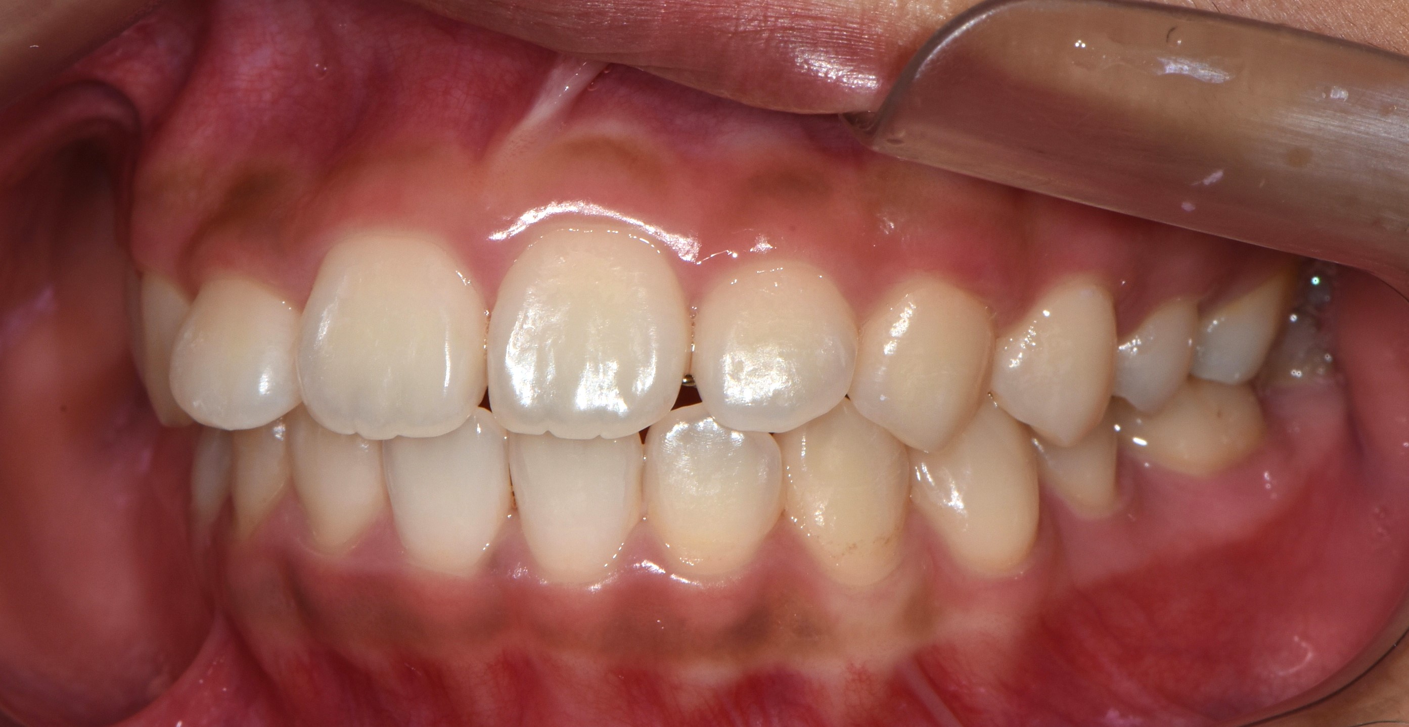
치료 전 사진입니다.

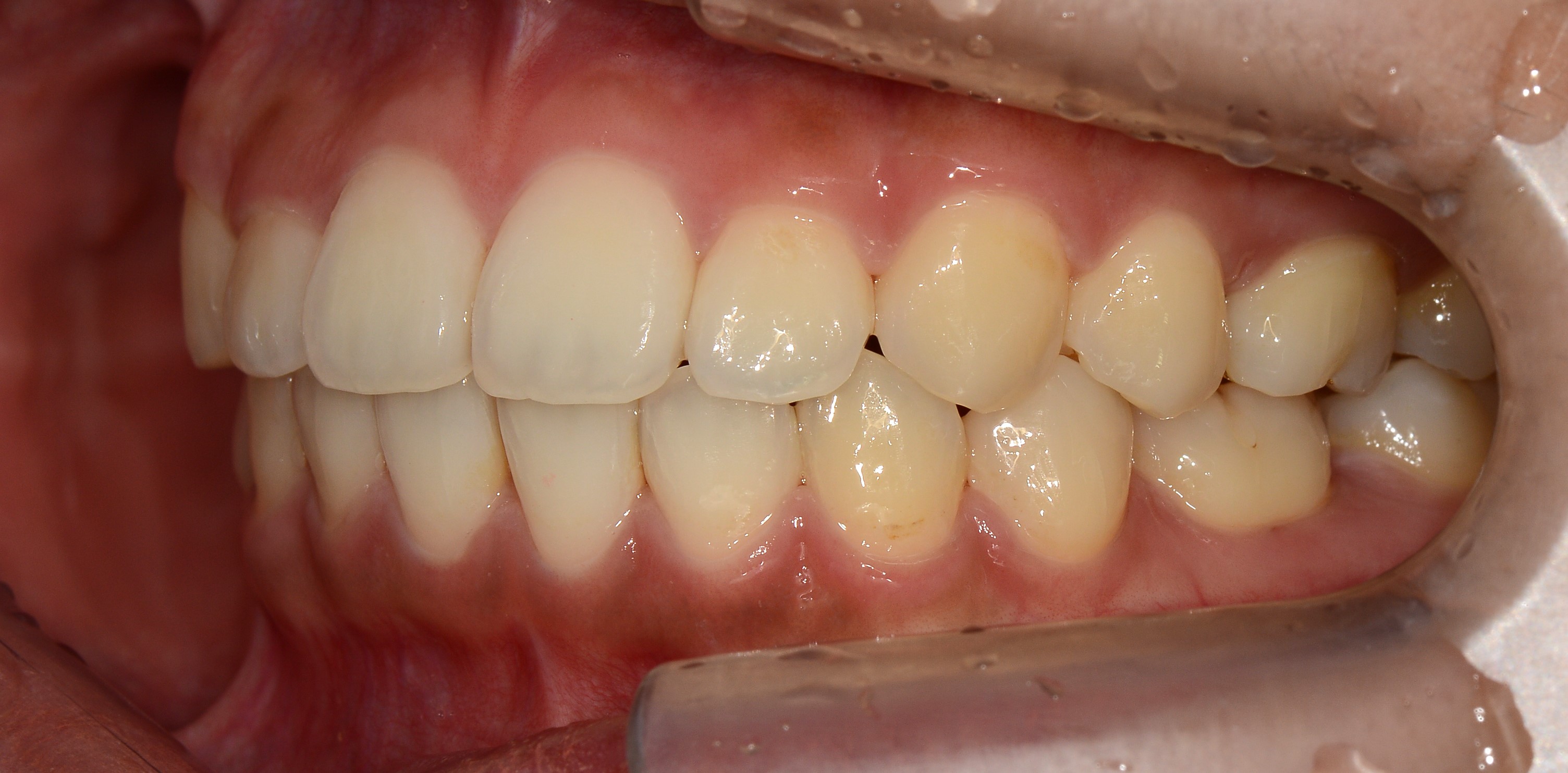
치료 후 사진입니다.

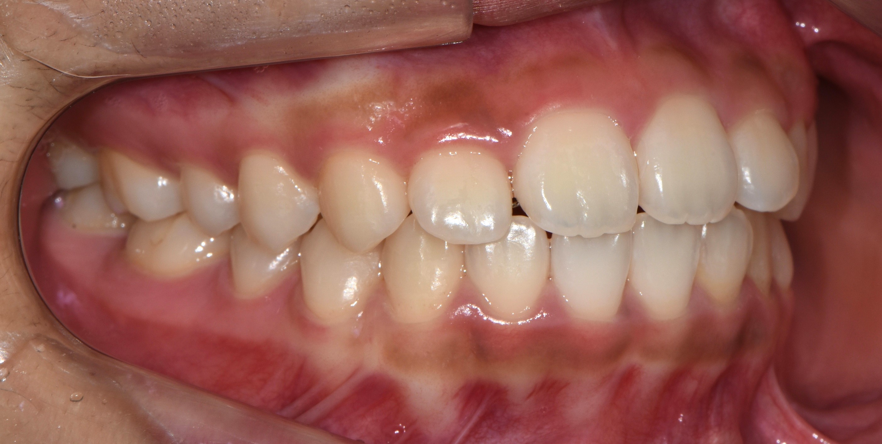
치료 전 사진입니다.

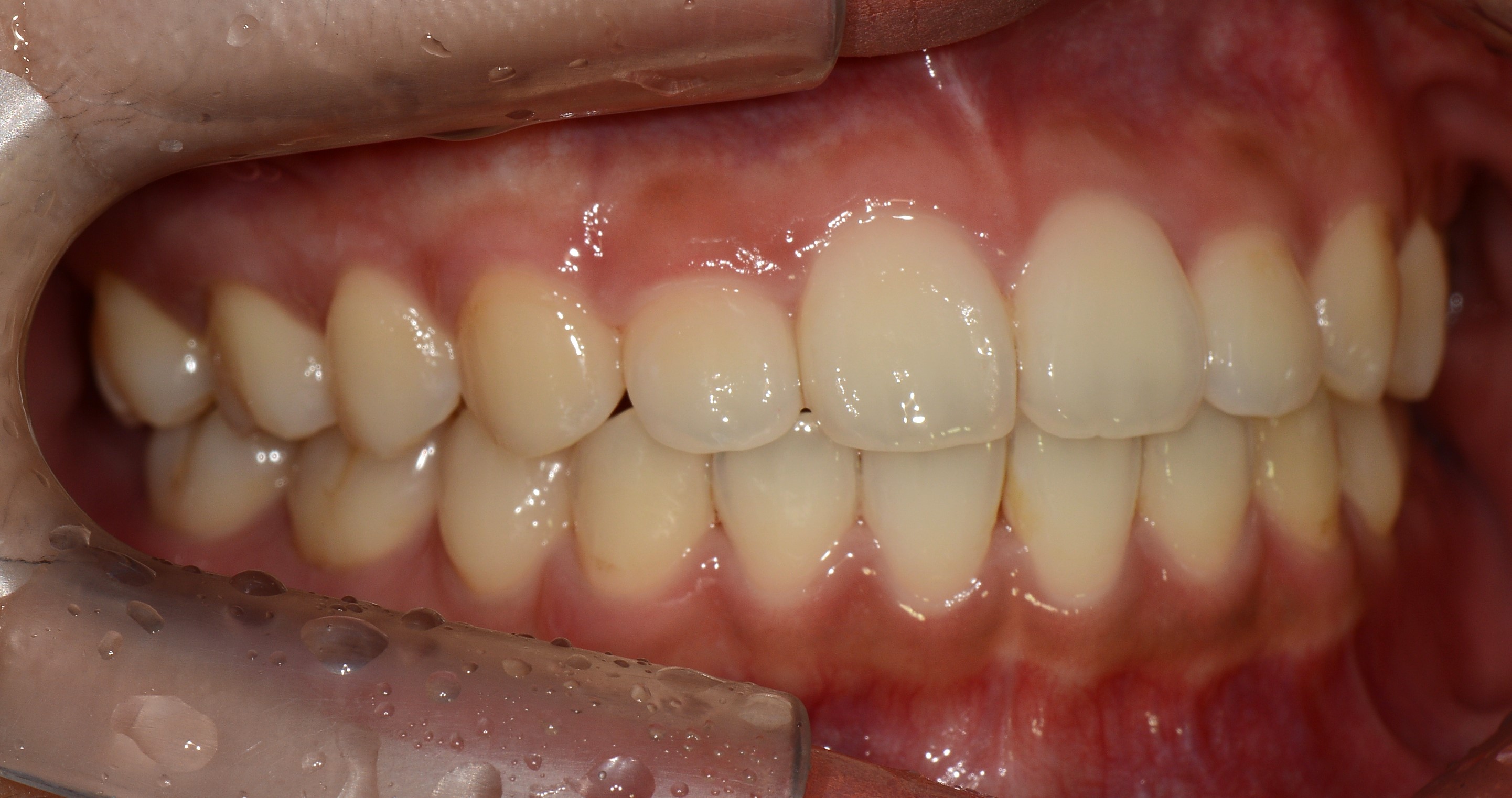
치료 후 사진입니다.

치료 전 사진입니다.

치료 후 사진입니다.