[덧니교정] 덧니교정/절단교합
이유리 Date. 2025-03-31 Hit. 1288

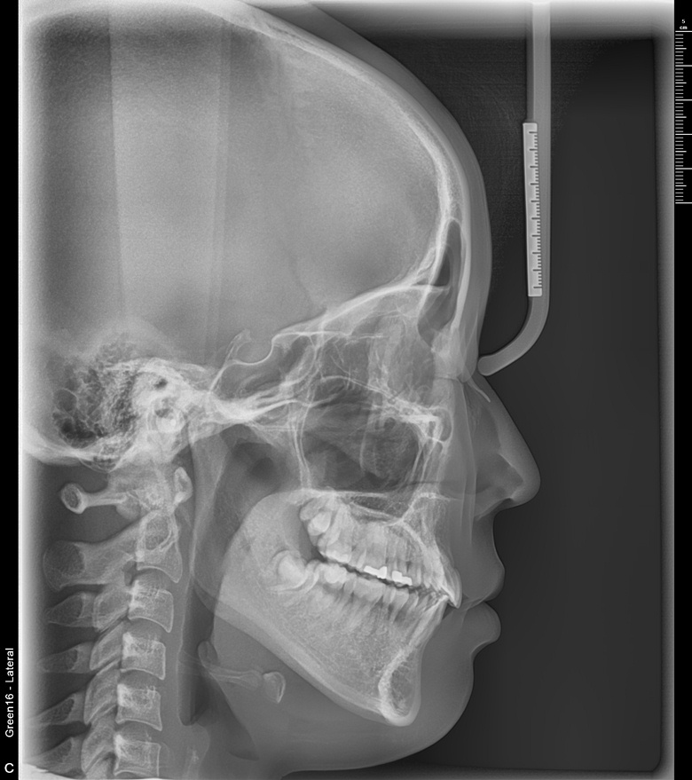
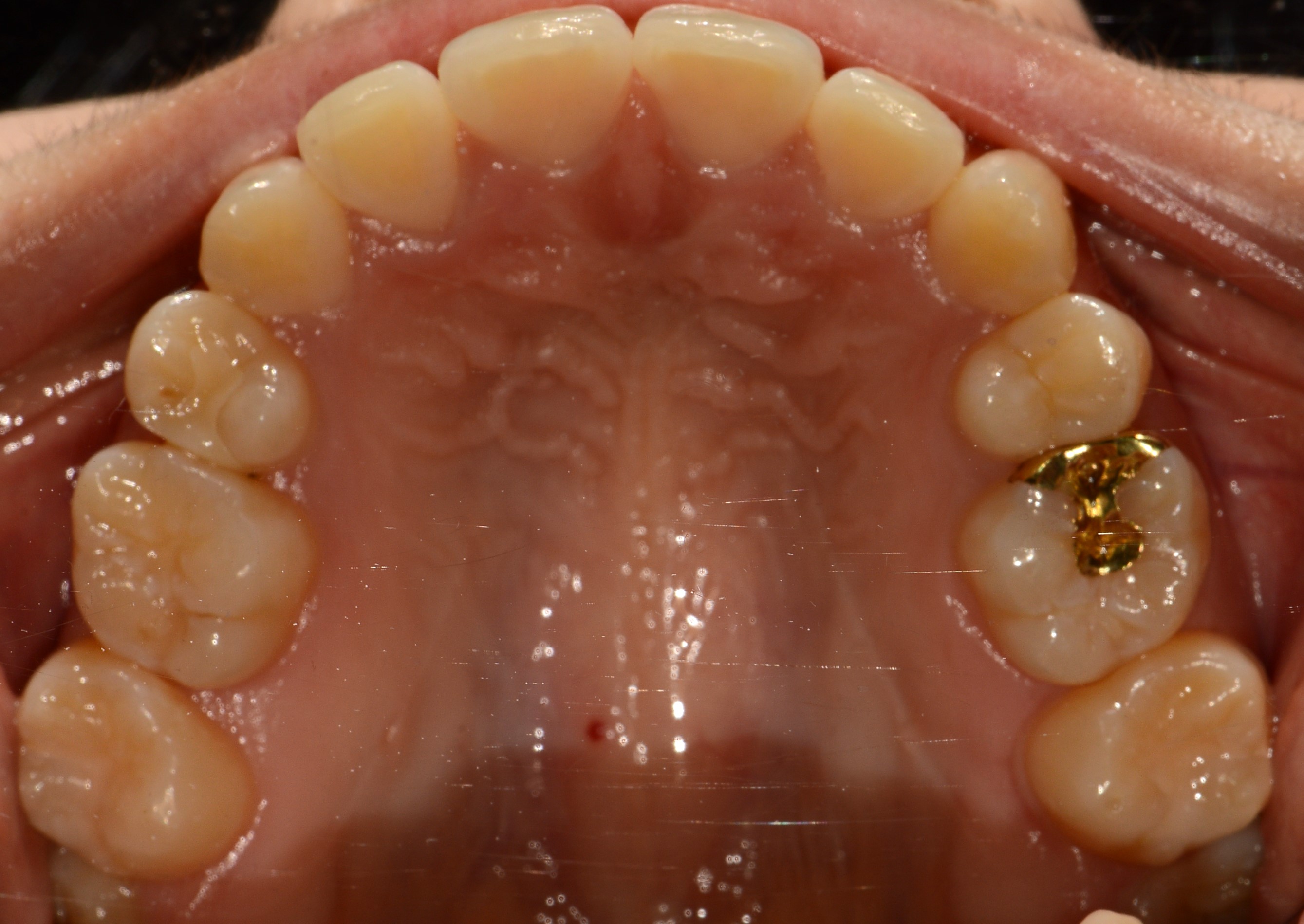
치료 전 사진입니다.

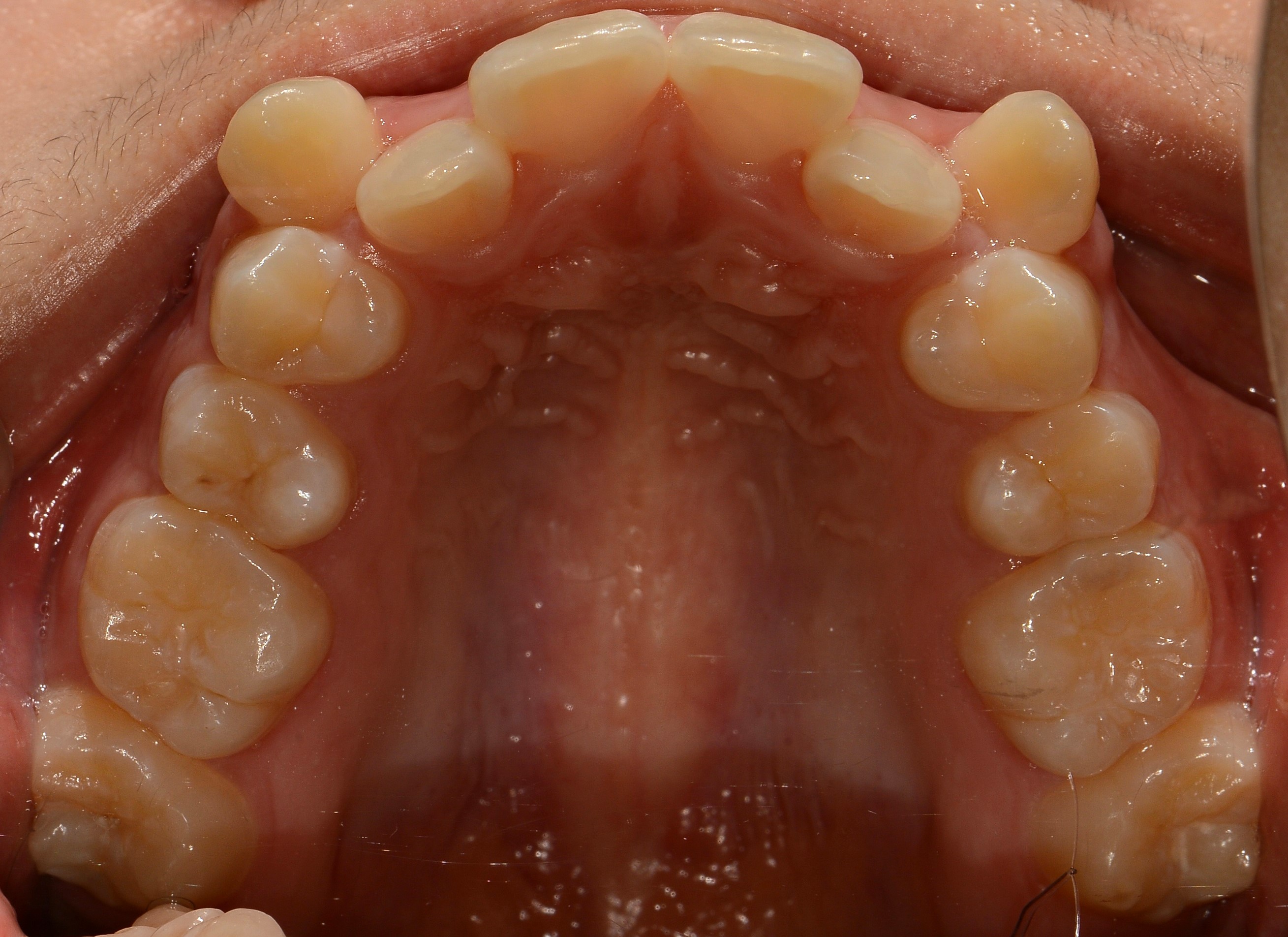
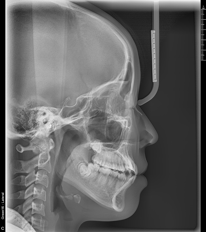
치료 후 사진입니다.

치료 전 사진입니다.

치료 후 사진입니다.

치료 전 사진입니다.

치료 후 사진입니다.