[덧니교정] 덧니교정/ 쓰러진 어금니
윤성연 Date. 2025-02-28 Hit. 1433

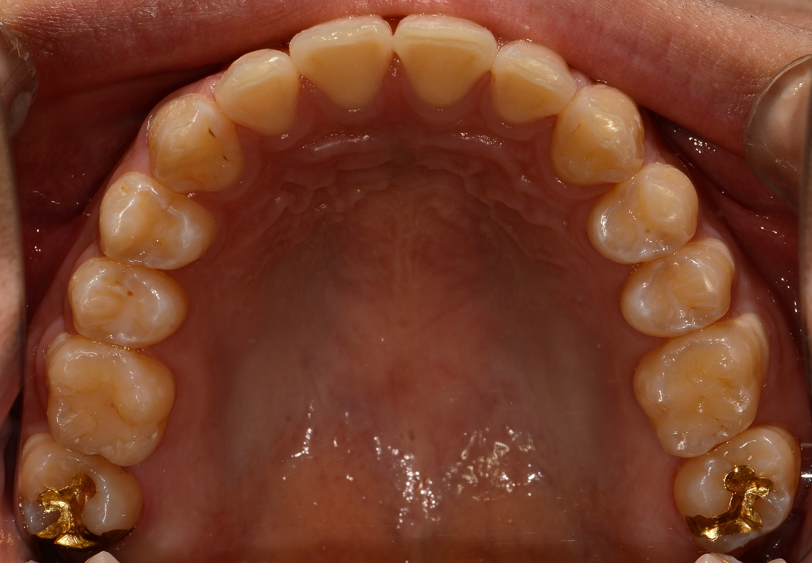
치료 전 사진입니다.

치료 후 사진입니다.

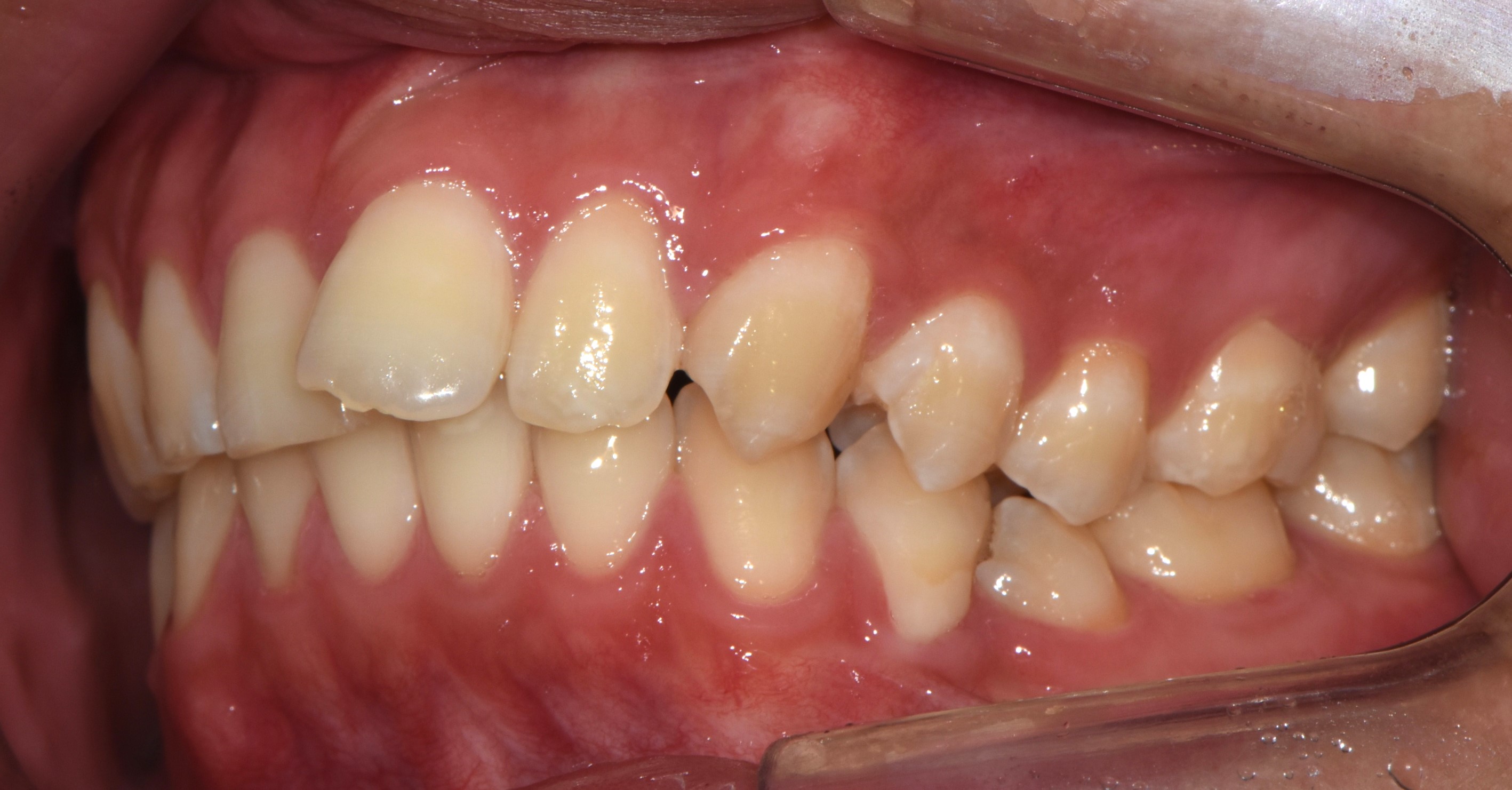
치료 전 사진입니다.

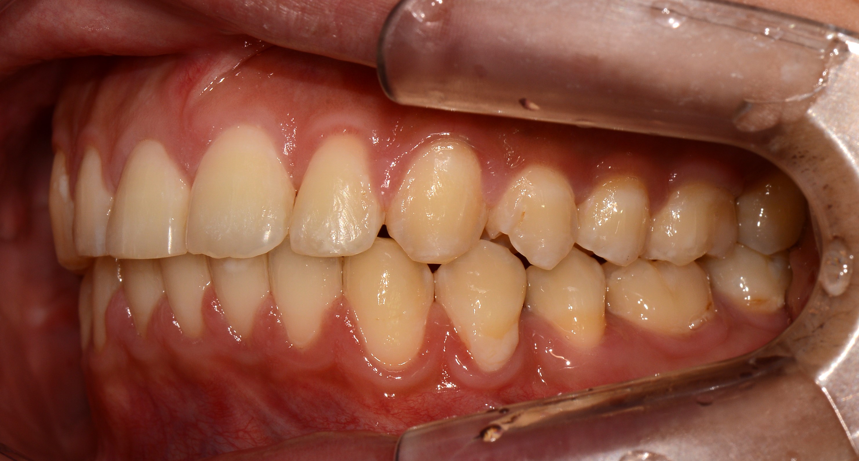
치료 후 사진입니다.

치료 전 사진입니다.

치료 후 사진입니다.