[덧니교정] 덧니교정/앞니돌출
윤성연 Date. 2025-02-17 Hit. 1460

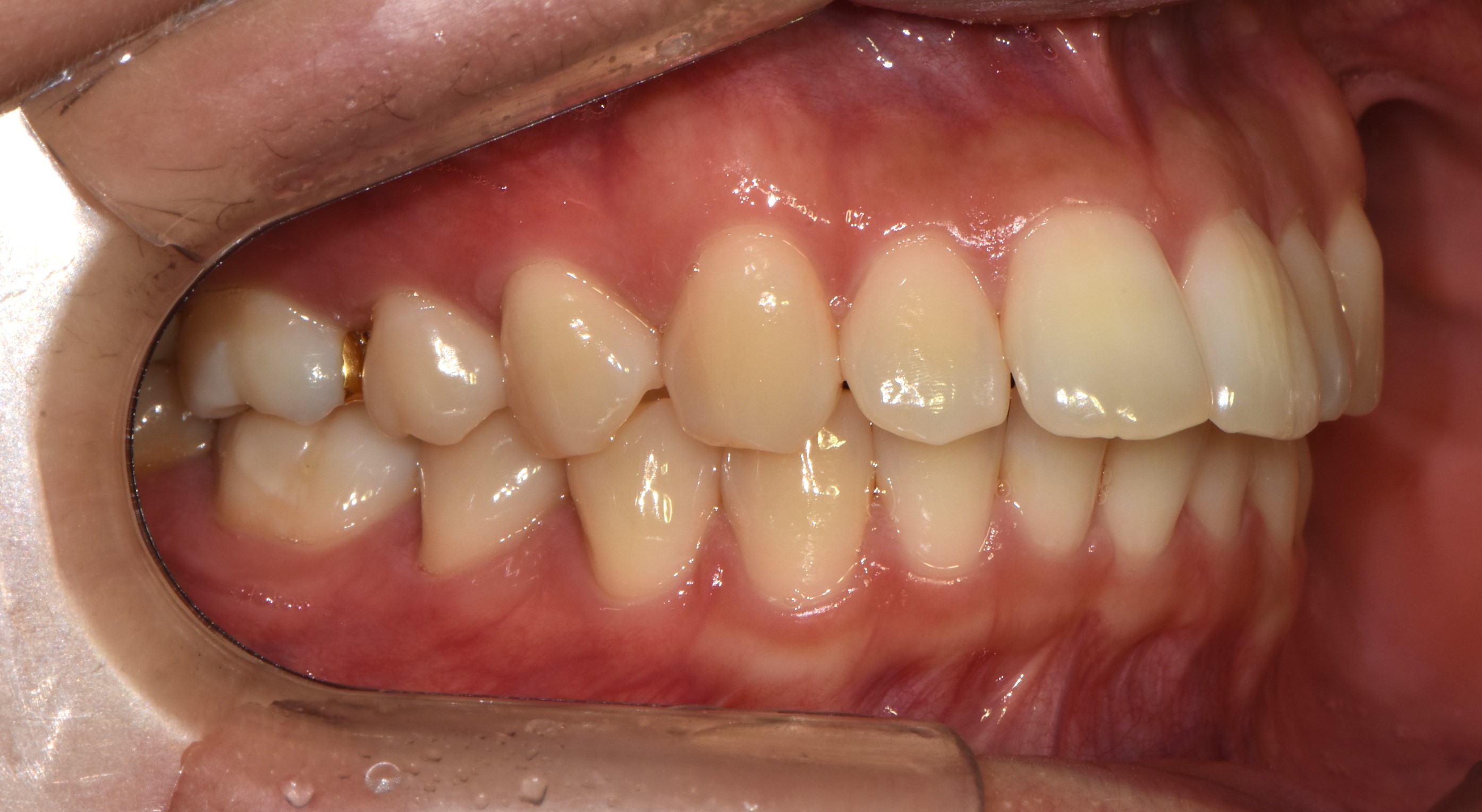
치료 전 사진입니다.

치료 후 사진입니다.

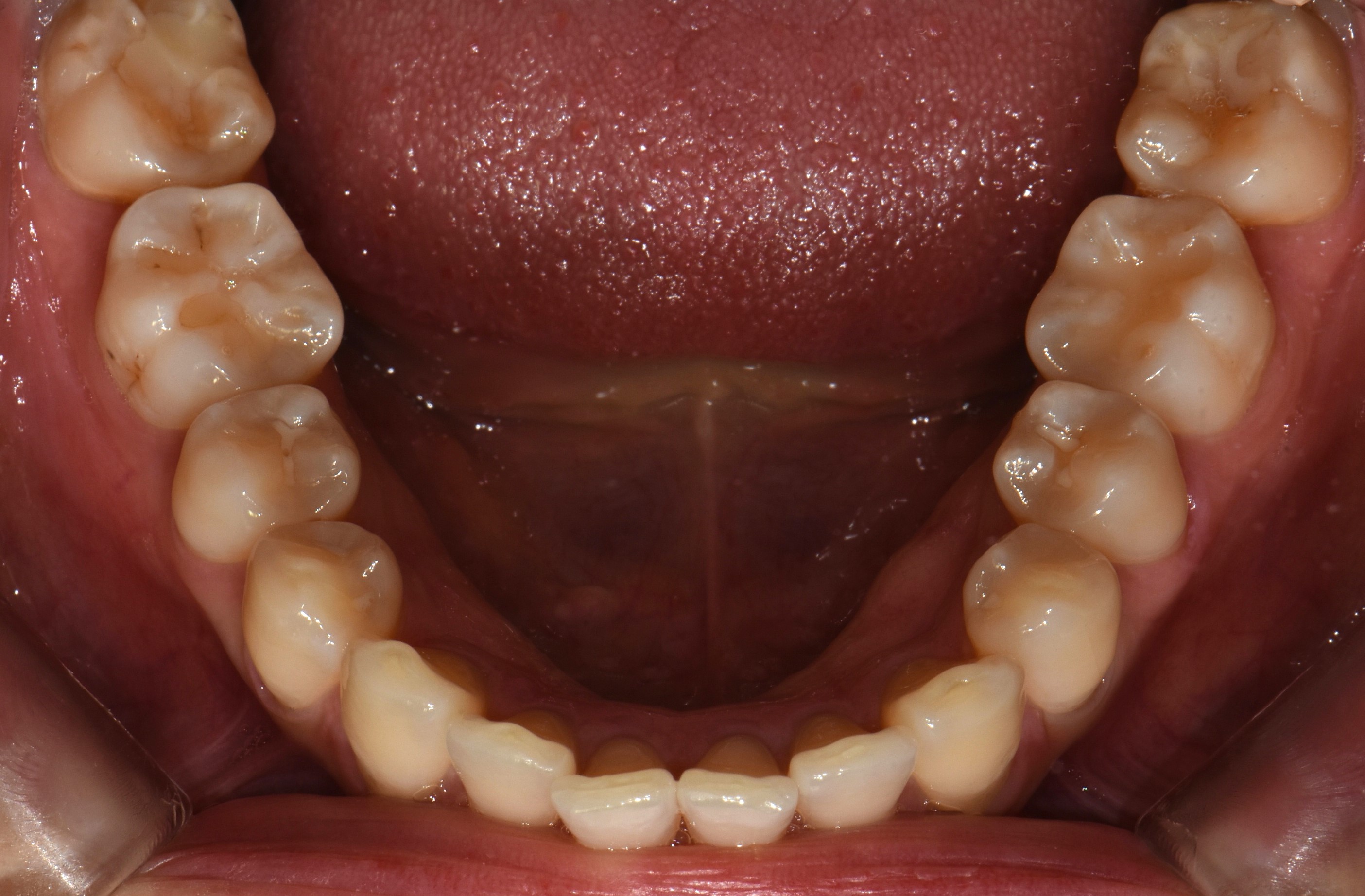
치료 전 사진입니다.

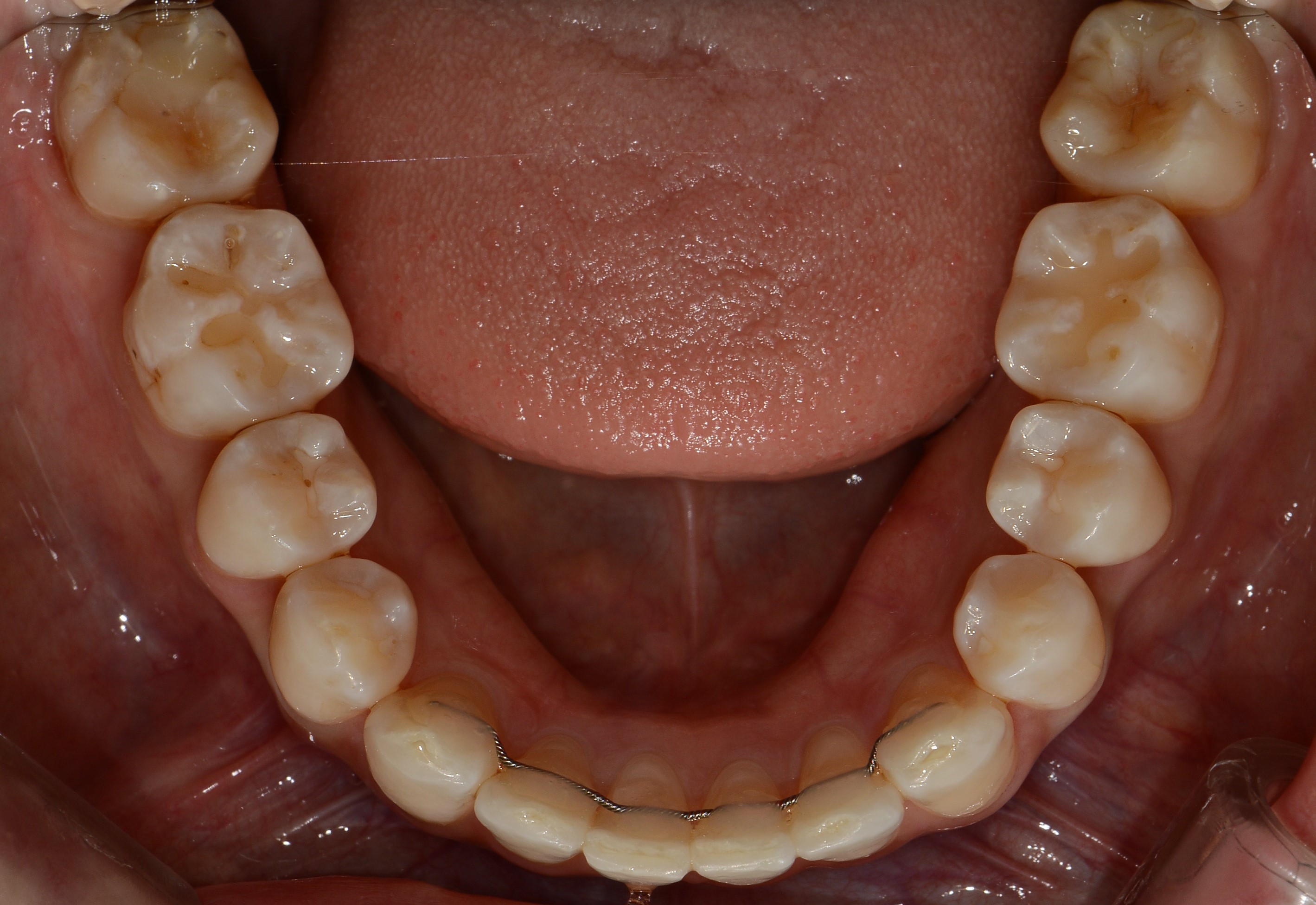
치료 후 사진입니다.

치료 전 사진입니다.

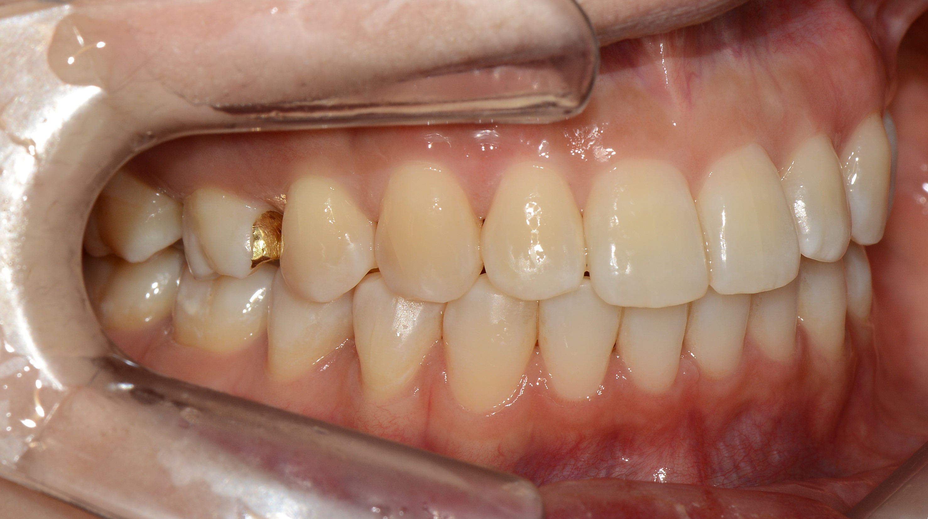
치료 후 사진입니다.