[개방교합] 개방교합/ 반대교합/ 덧니
윤성연 Date. 2025-01-31 Hit. 1438

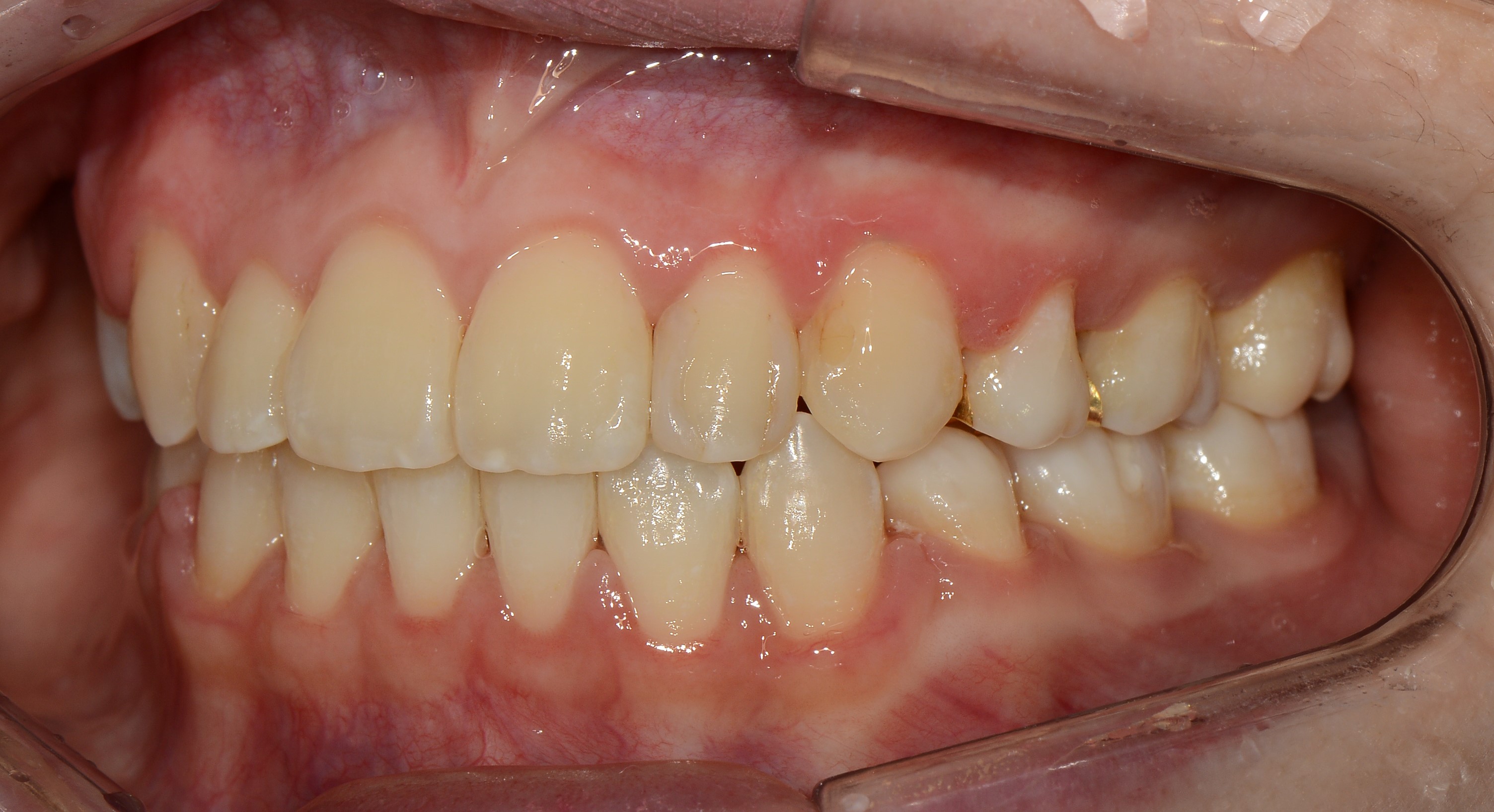
치료 전 사진입니다.

치료 후 사진입니다.

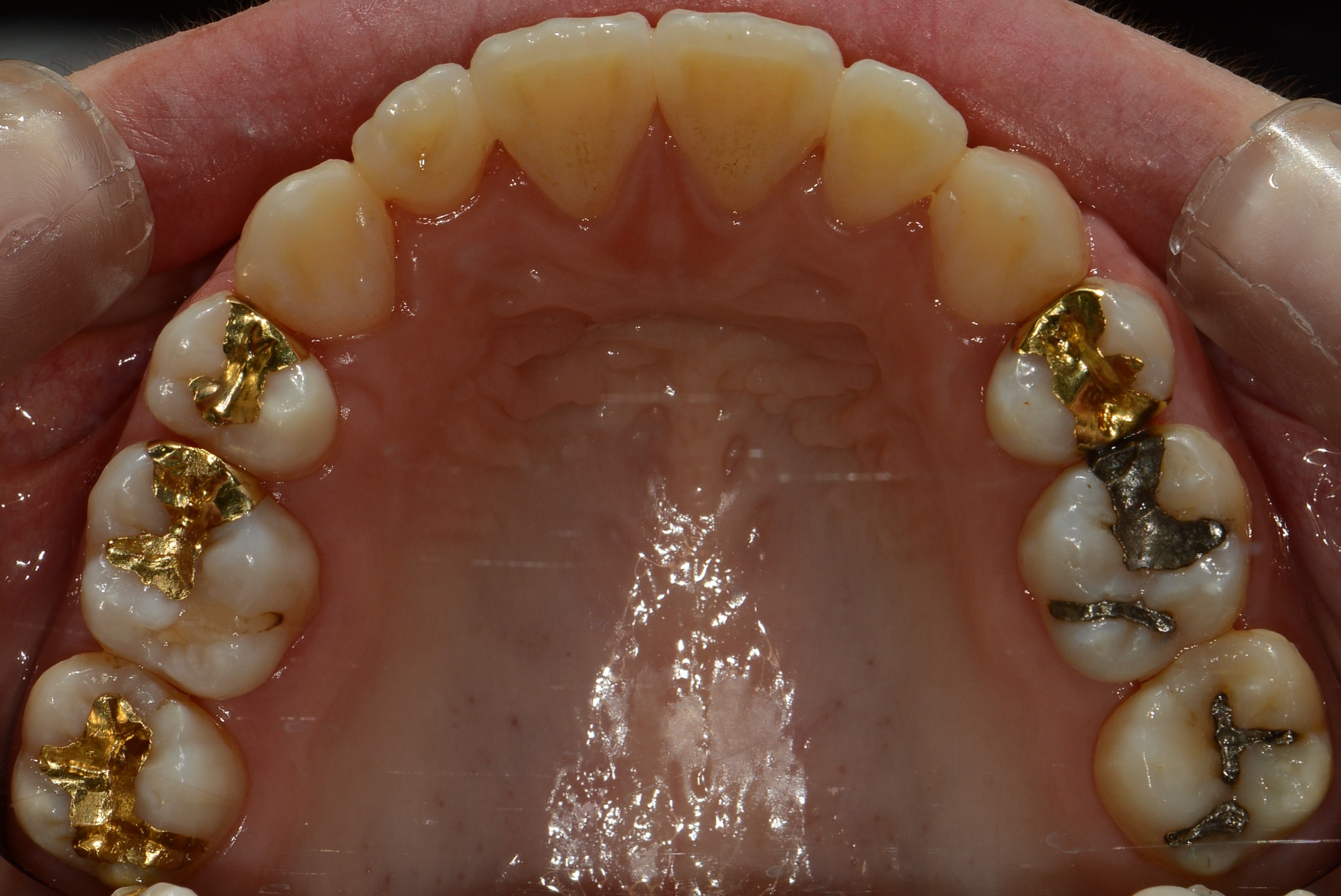
치료 전 사진입니다.

치료 후 사진입니다.

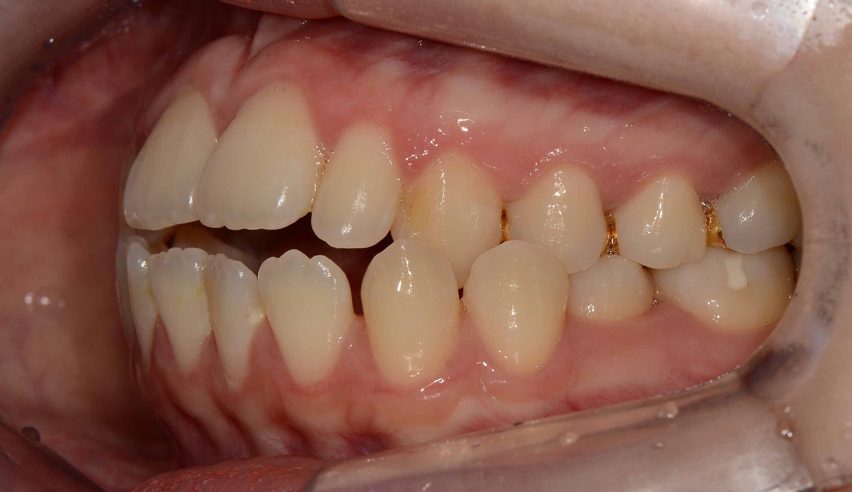
치료 전 사진입니다.

치료 후 사진입니다.