[과개교합] 덧니교정/과개교합
윤성연 Date. 2024-12-31 Hit. 1473

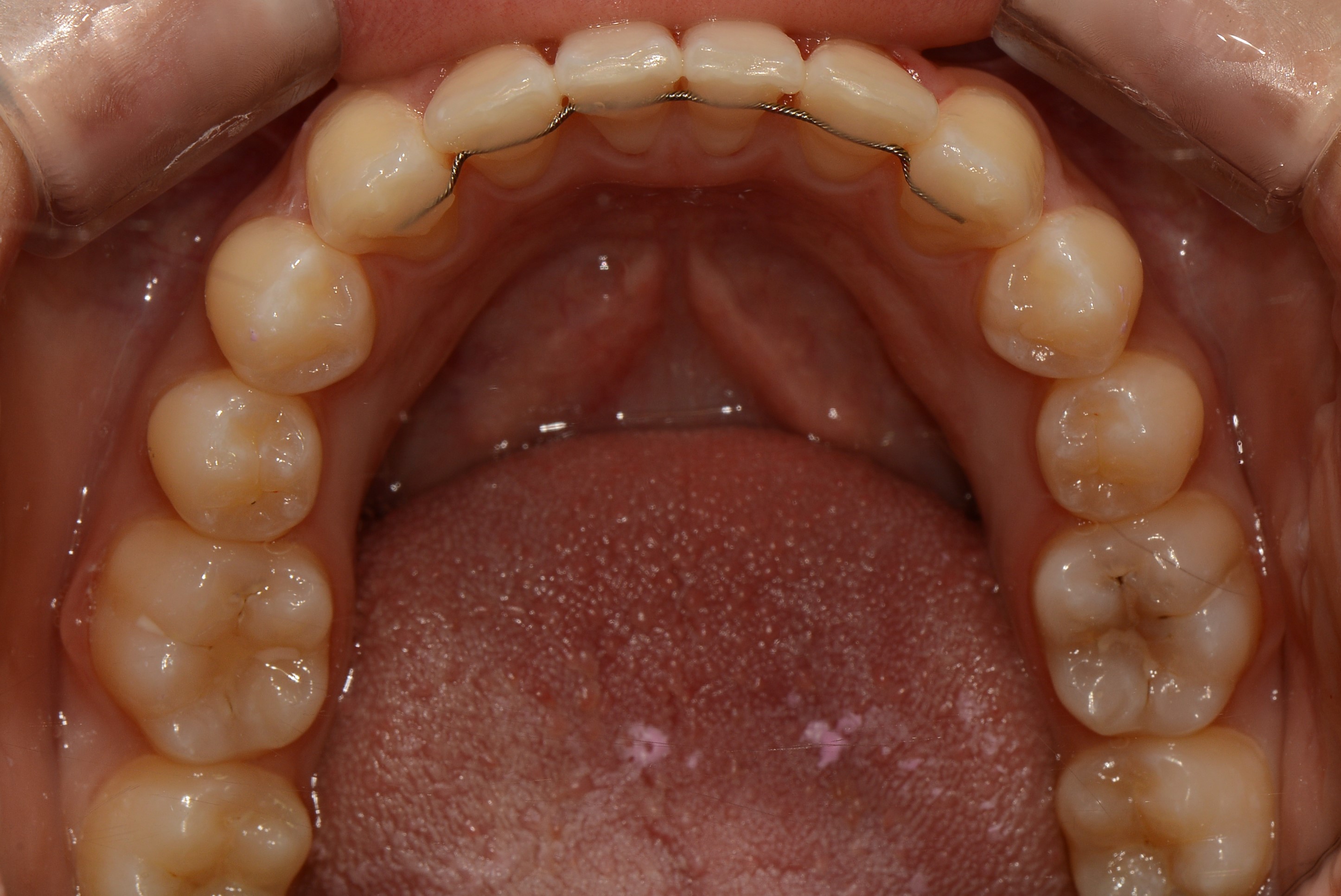
치료 전 사진입니다.

치료 후 사진입니다.

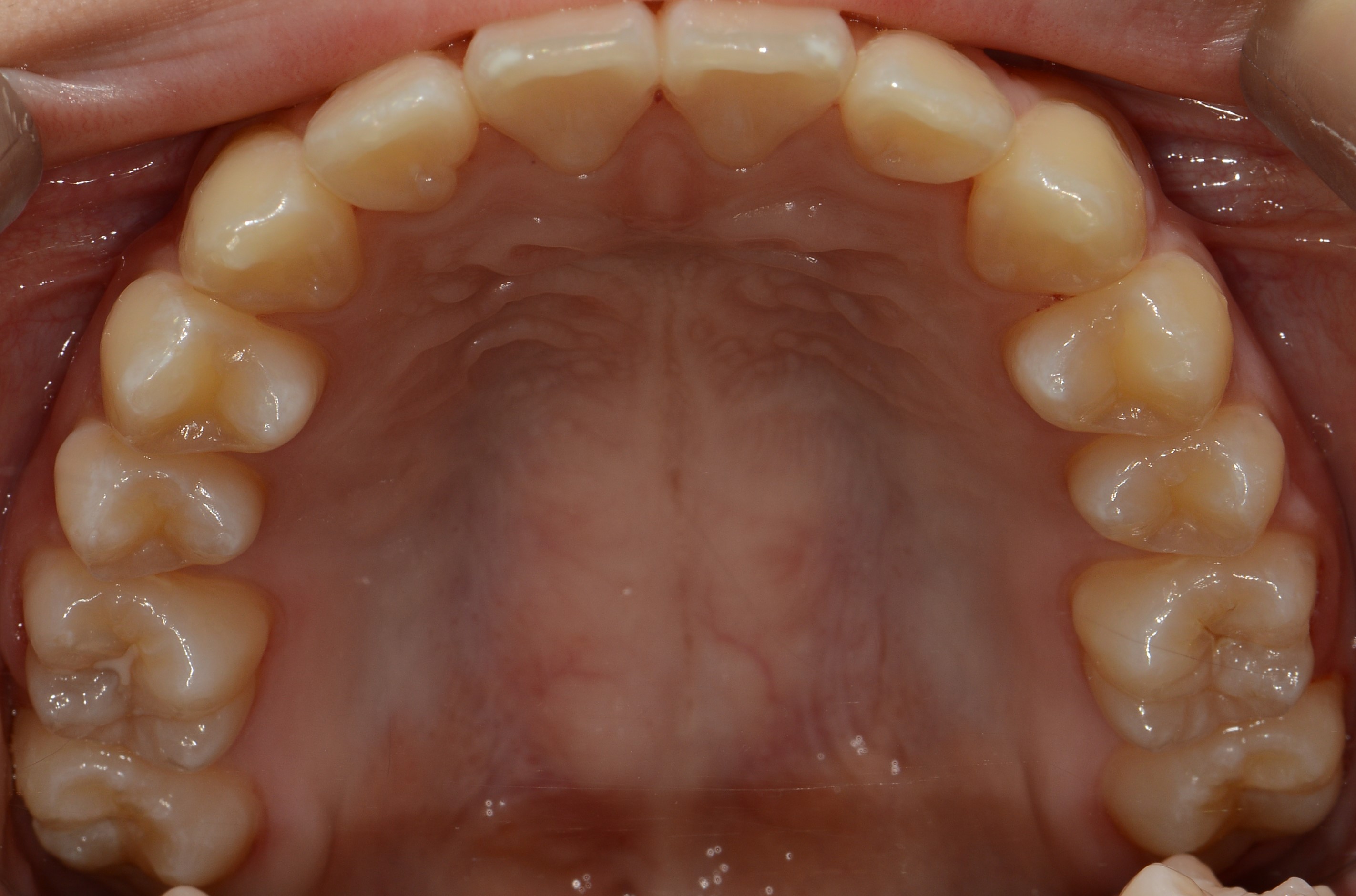
치료 전 사진입니다.

치료 후 사진입니다.

치료 전 사진입니다.

치료 후 사진입니다.