[돌출입] 덧니교정/윗니돌출
윤성연 Date. 2024-12-16 Hit. 1690

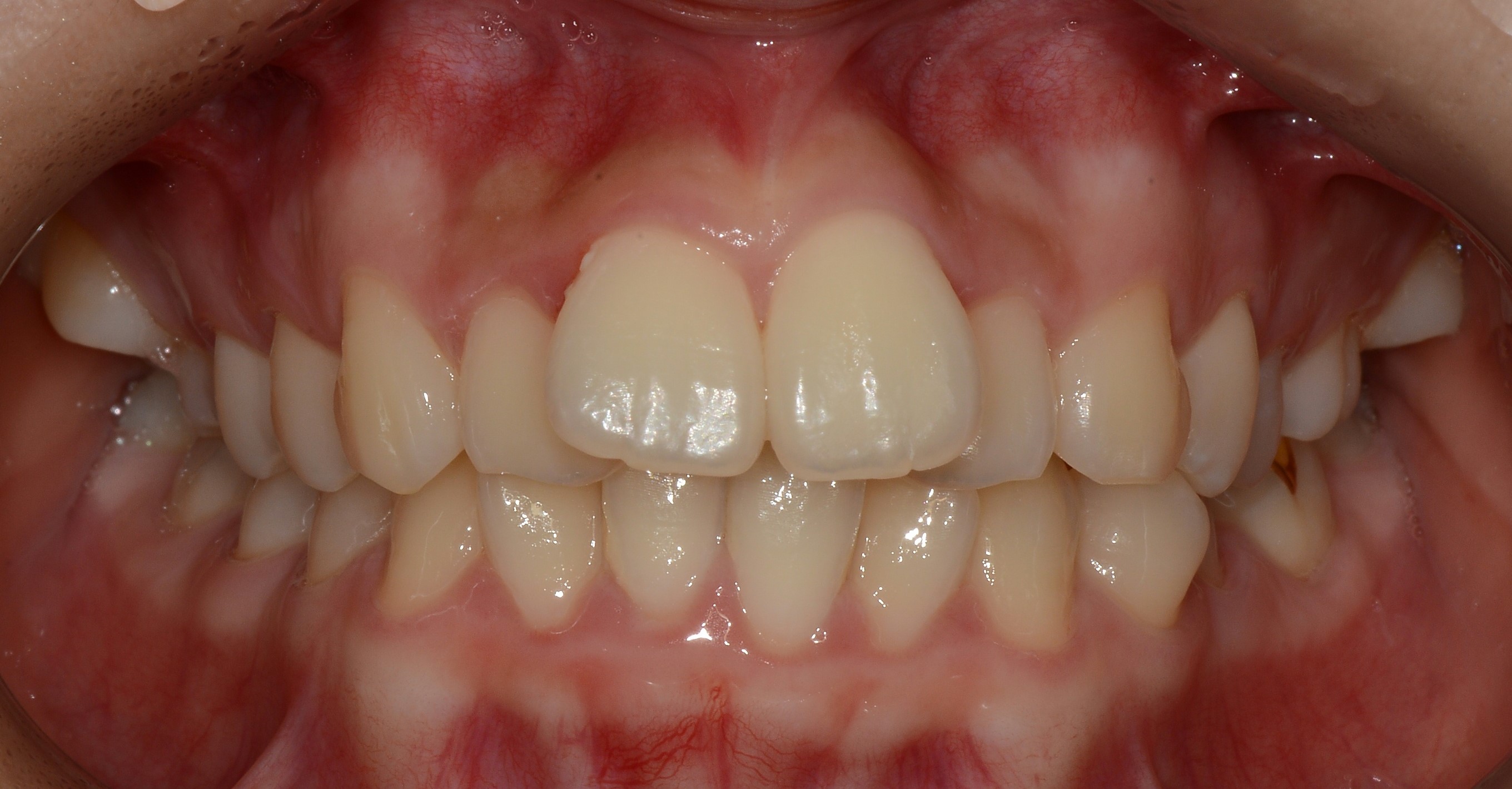
치료 전 사진입니다.

치료 후 사진입니다.

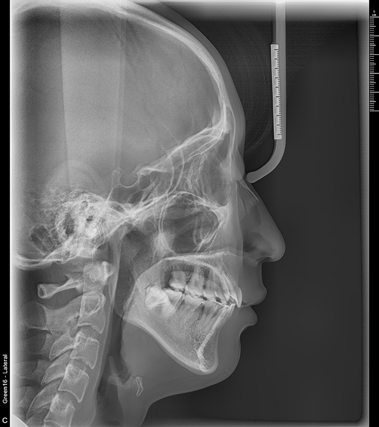
치료 전 사진입니다.

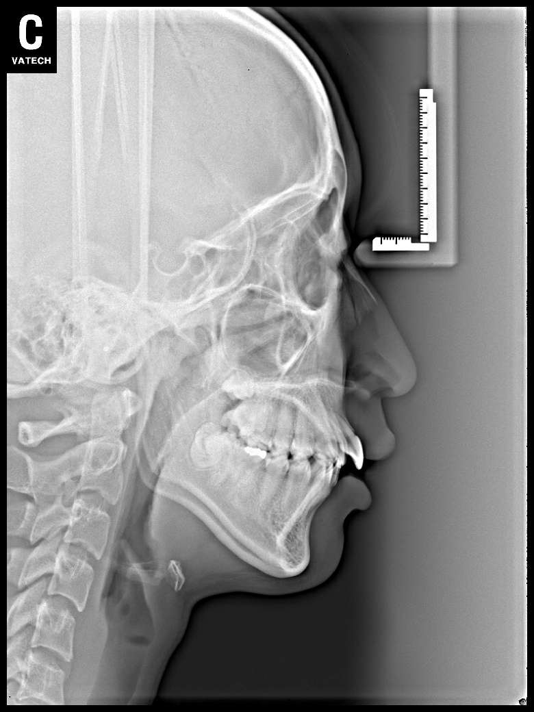
치료 후 사진입니다.

치료 전 사진입니다.

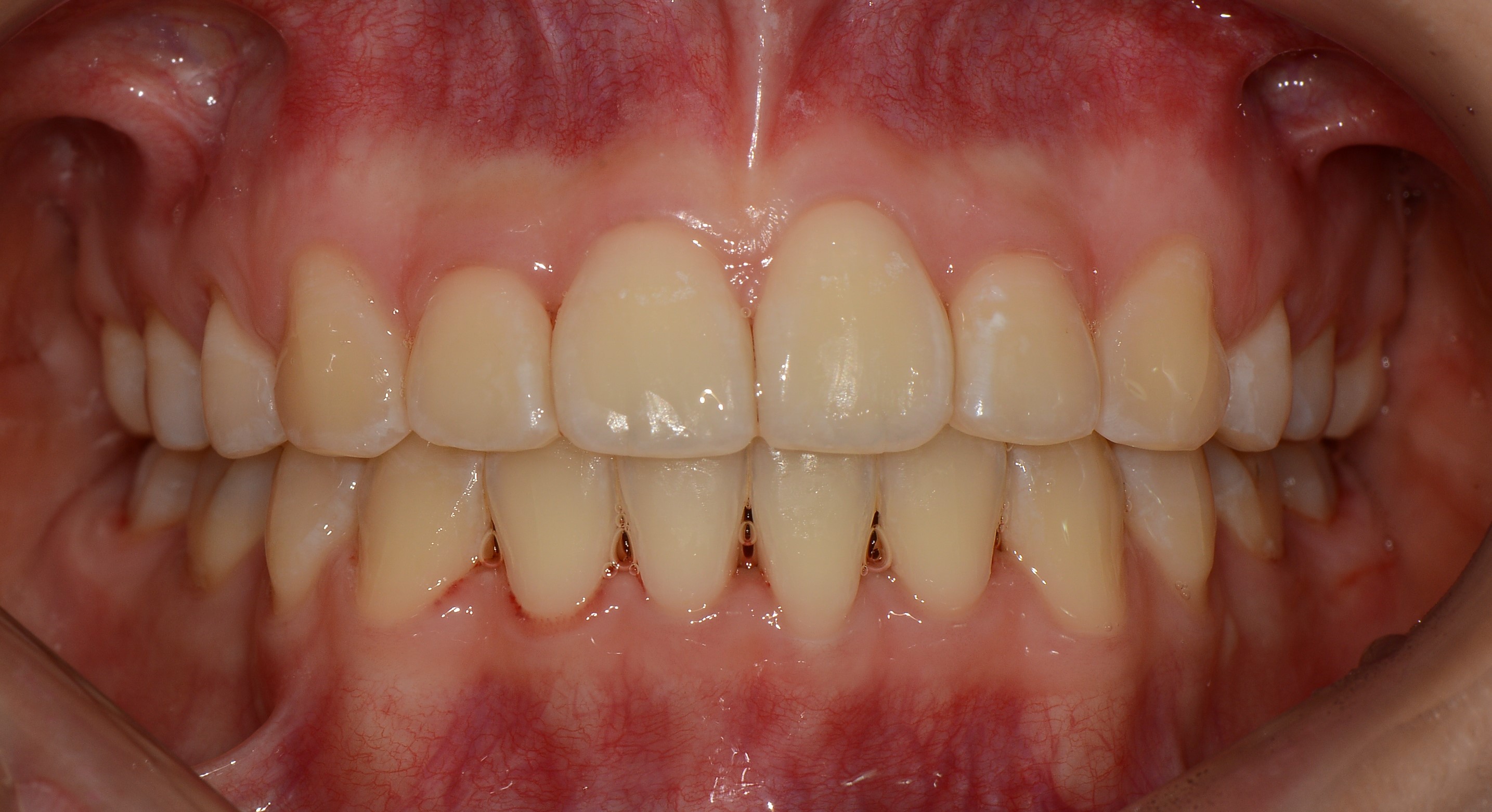
치료 후 사진입니다.