[벌어진치아] 벌어진 치아/ 맹출공간 부족
윤성연 Date. 2024-11-04 Hit. 1785

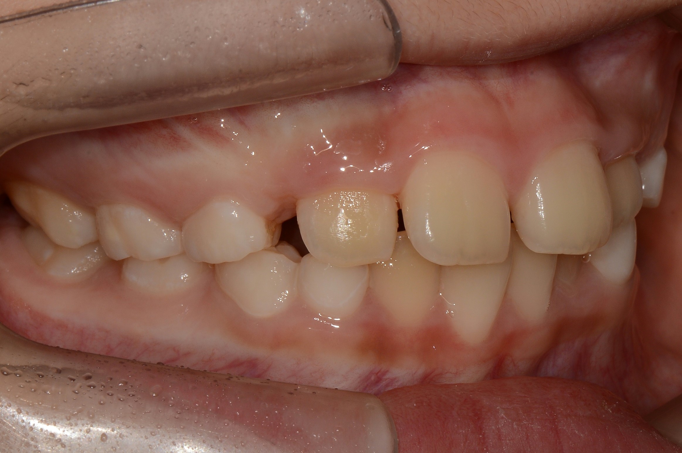
치료 전 사진입니다.

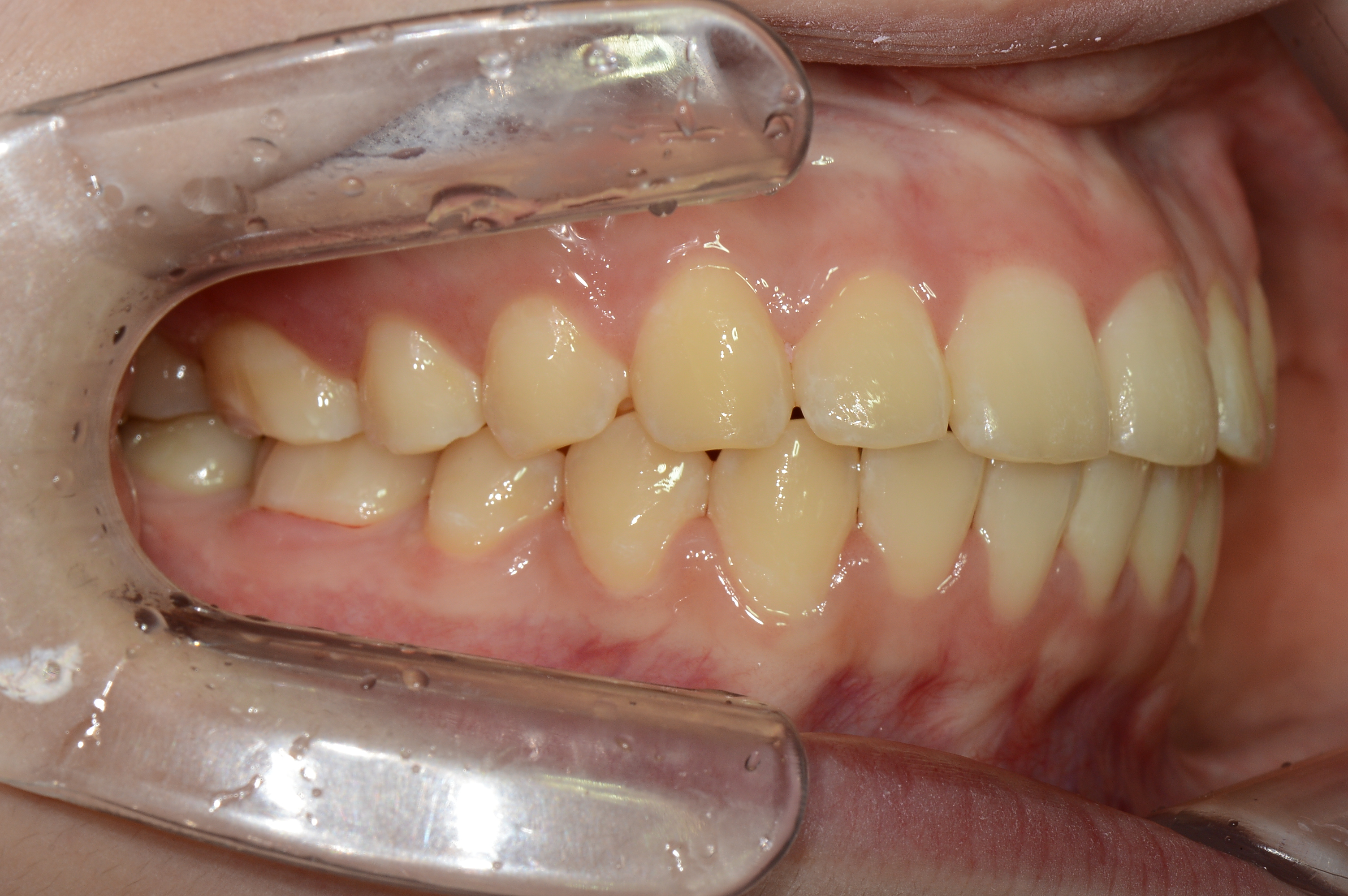
치료 후 사진입니다.

치료 전 사진입니다.

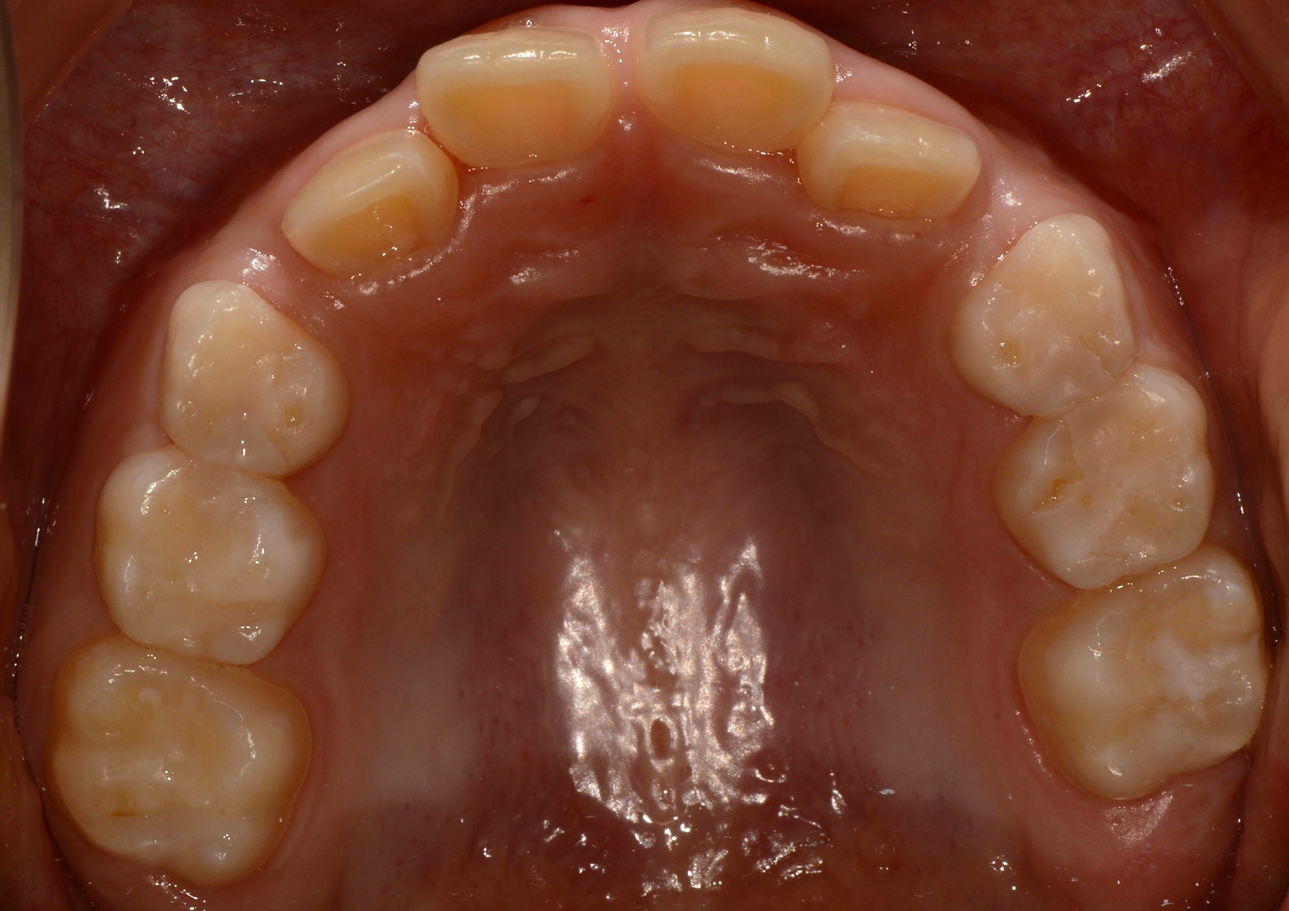
치료 후 사진입니다.

치료 전 사진입니다.

치료 후 사진입니다.