[개방교합] 개방교합/ 반대교합/ 덧니
임유림 Date. 2024-10-16 Hit. 1922

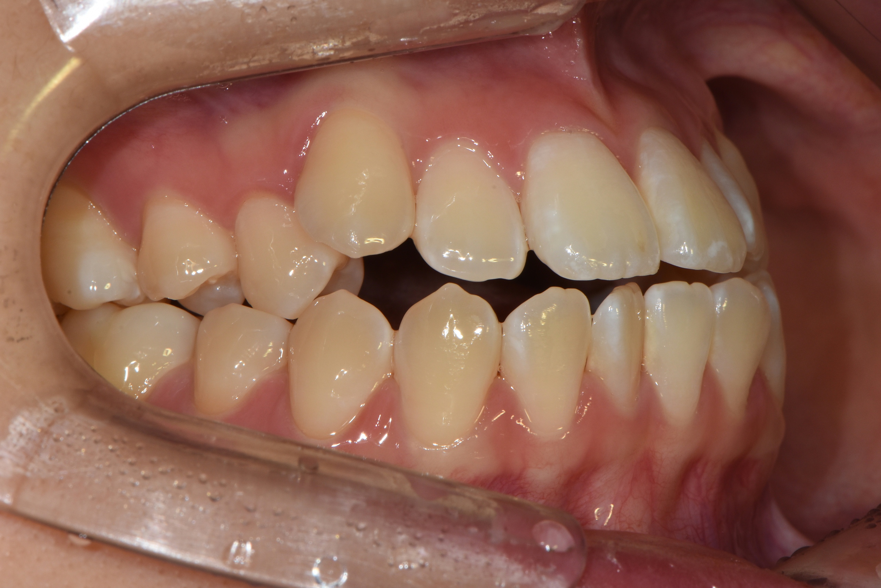
치료 전 사진입니다.

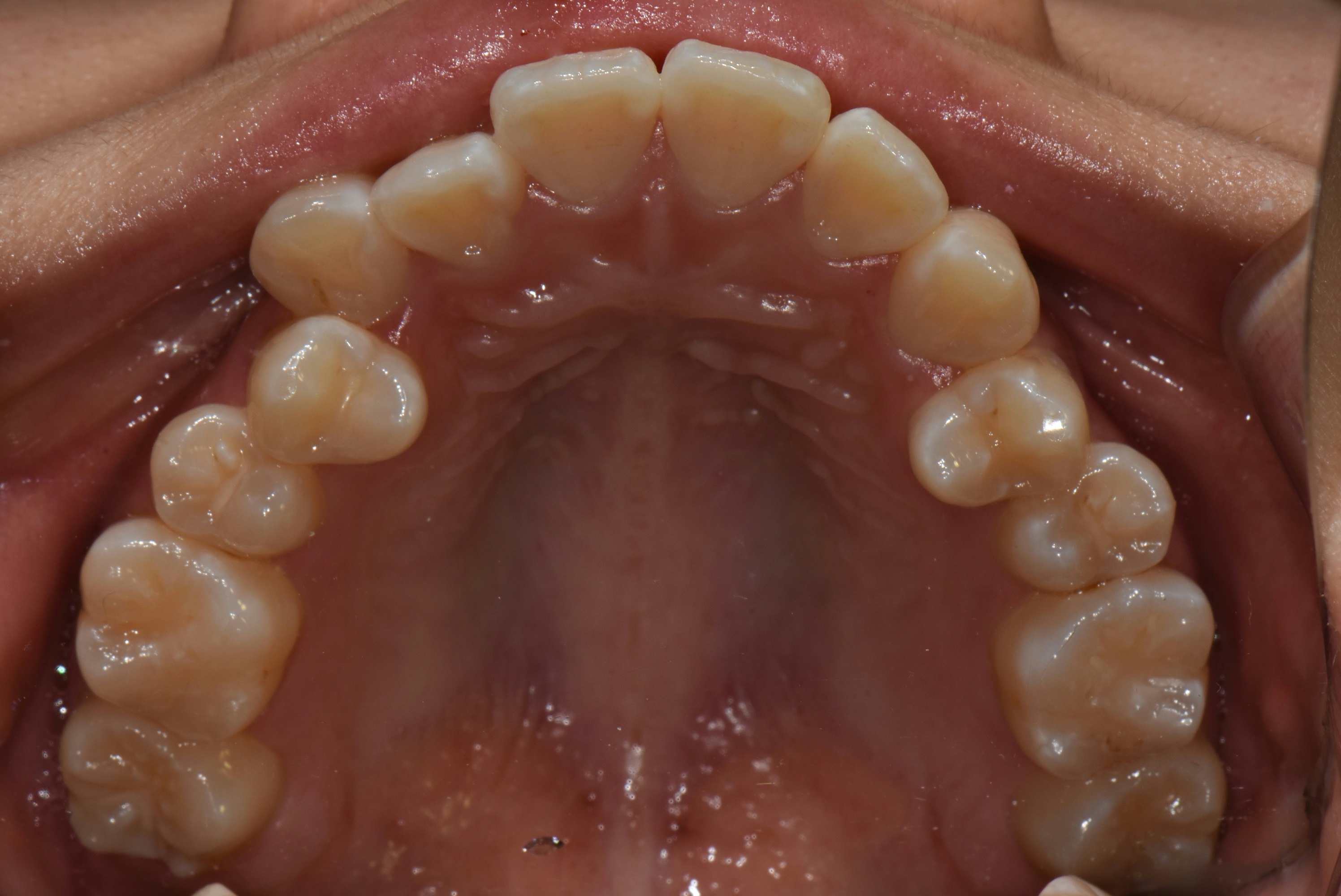
치료 후 사진입니다.

치료 전 사진입니다.

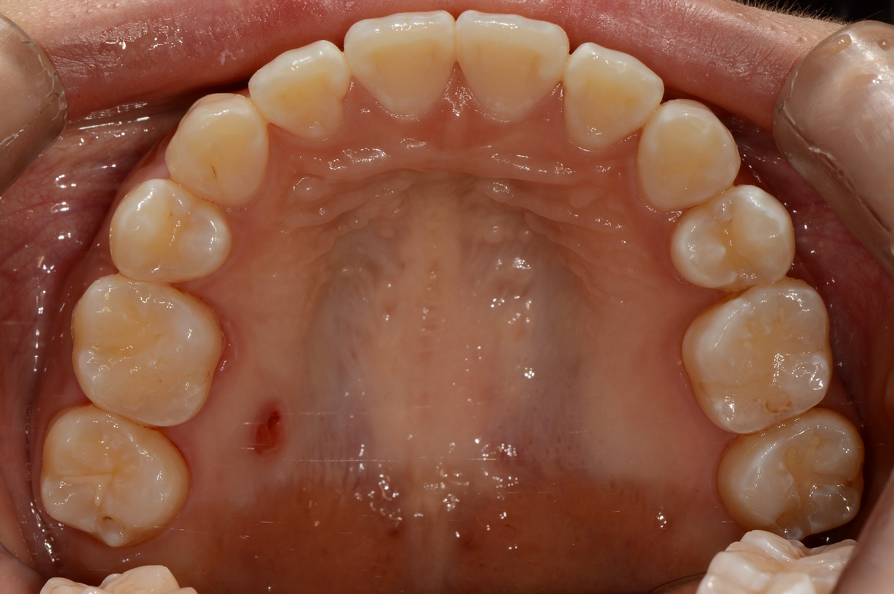
치료 후 사진입니다.

치료 전 사진입니다.

치료 후 사진입니다.