[윗니돌출/합죽이] 윗니돌출
임유림 Date. 2024-10-01 Hit. 2010

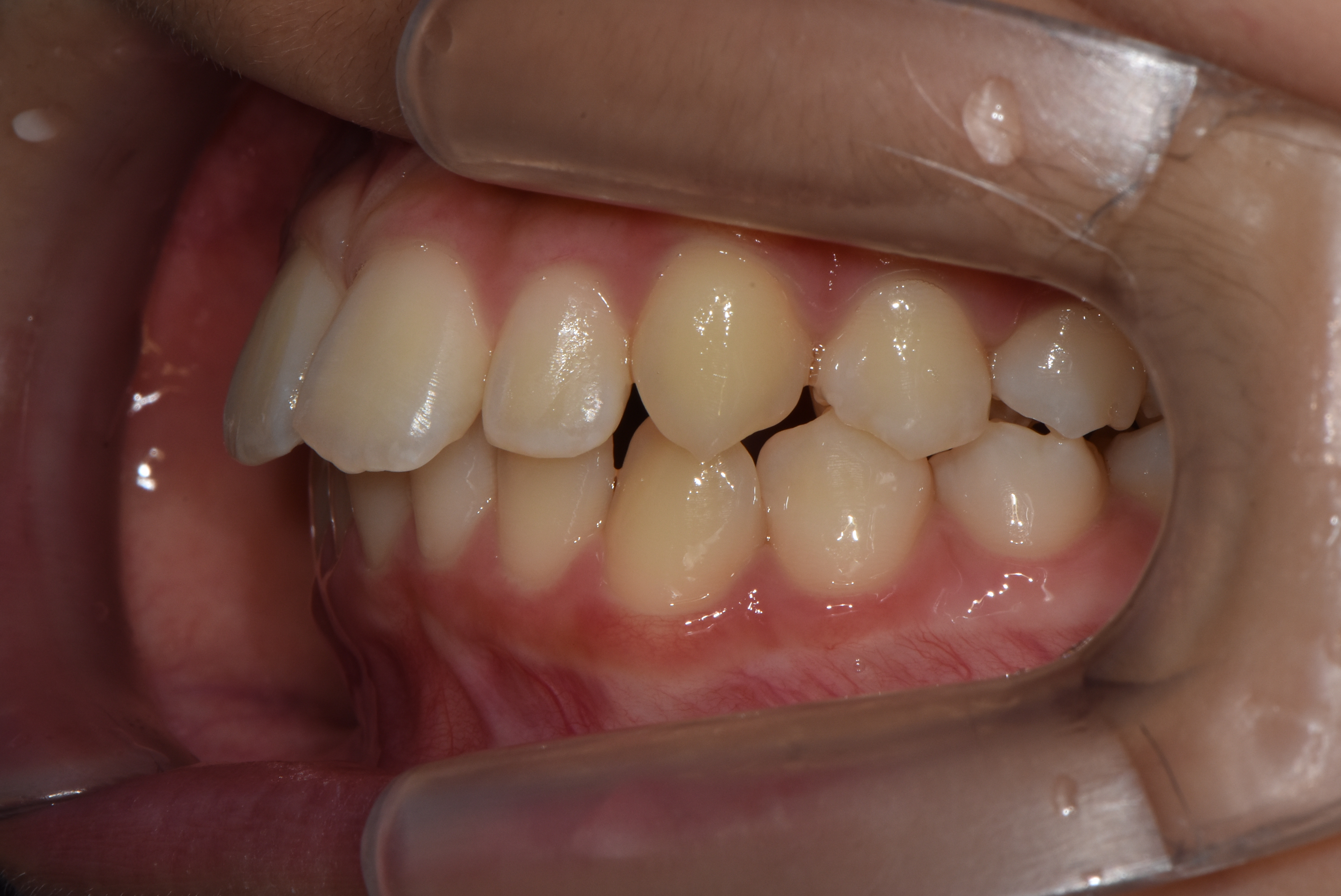
치료 전 사진입니다.

치료 후 사진입니다.

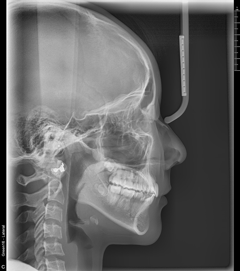
치료 전 사진입니다.

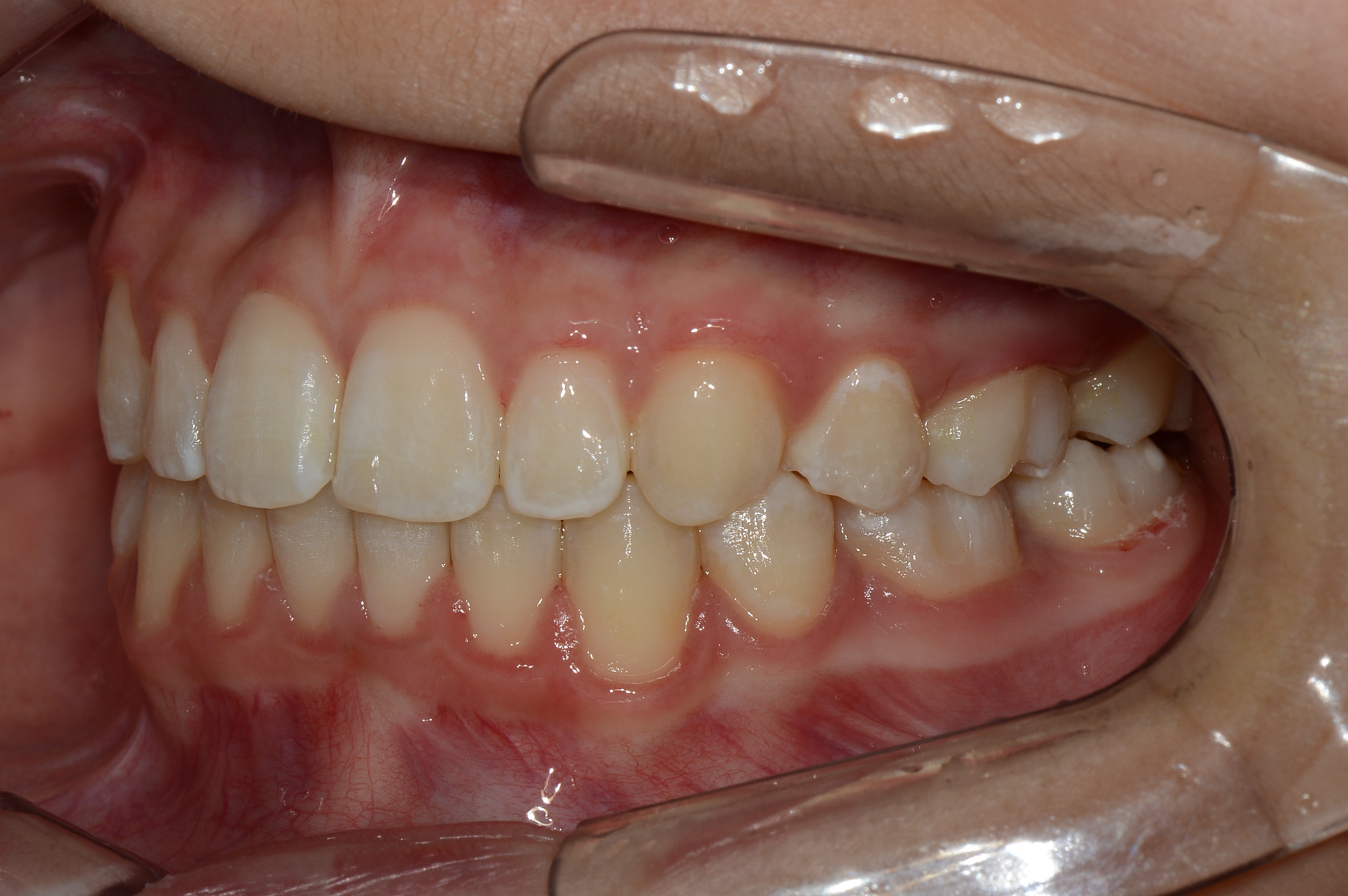
치료 후 사진입니다.

치료 전 사진입니다.

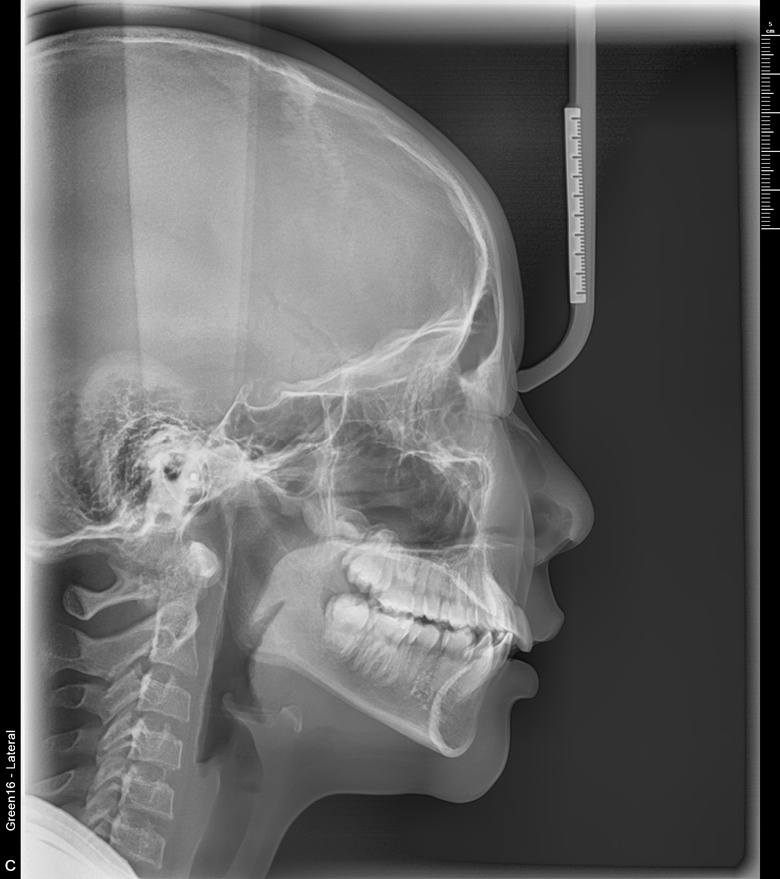
치료 후 사진입니다.