[벌어진치아] 벌어진 치아/ 맹출공간 부족
임유림 Date. 2024-09-09 Hit. 2091

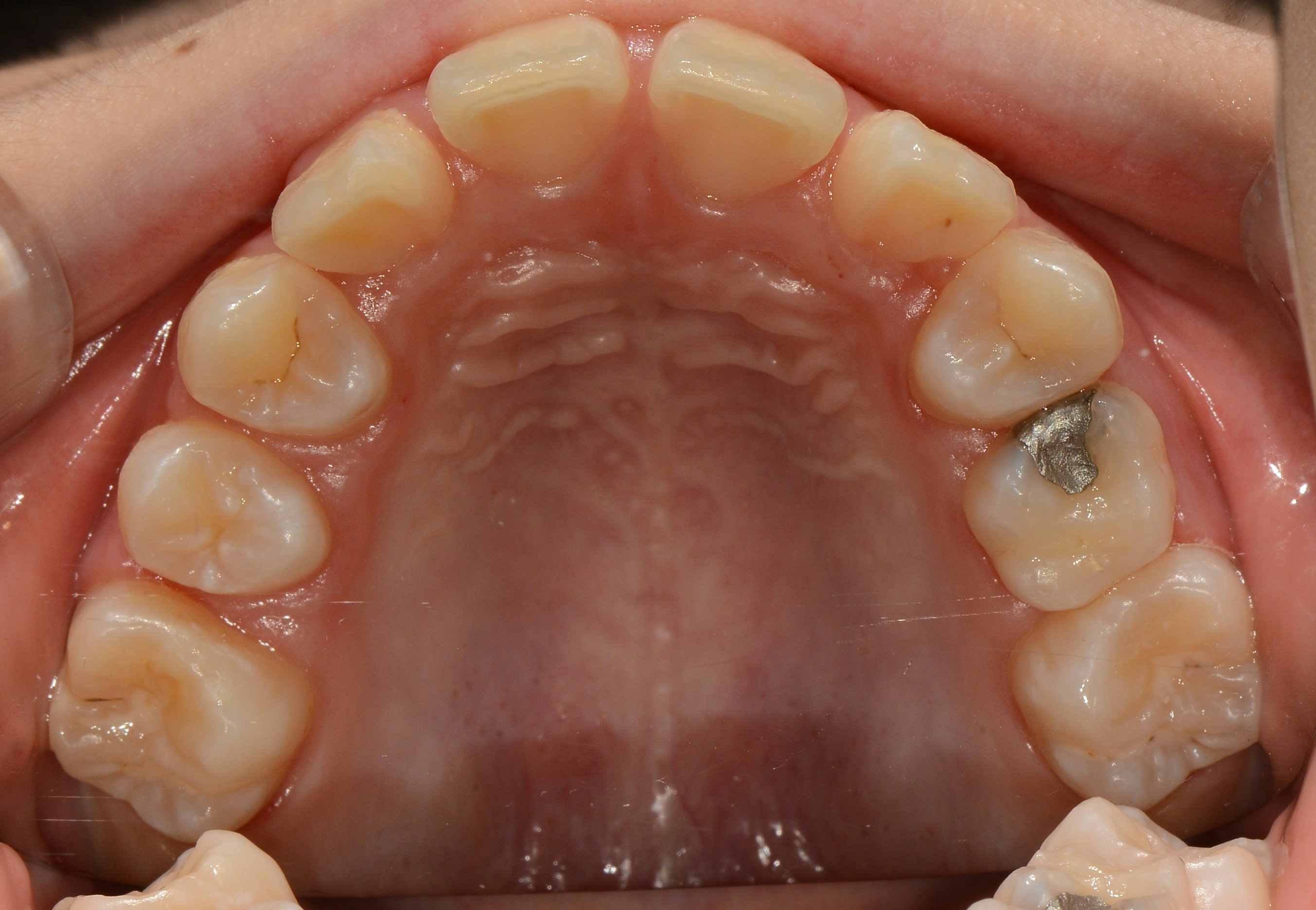
치료 전 사진입니다.

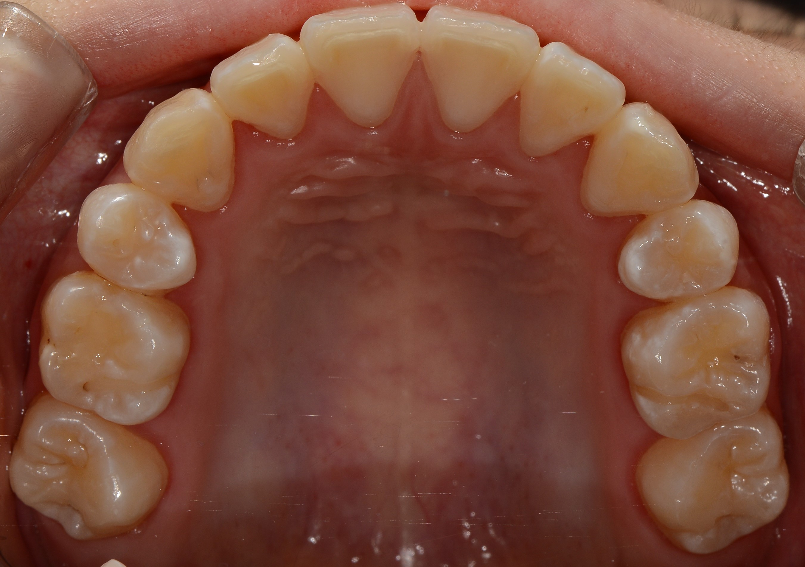
치료 후 사진입니다.

치료 전 사진입니다.

치료 후 사진입니다.

치료 전 사진입니다.

치료 후 사진입니다.