[덧니교정] 덧니교정/ 쓰러진 어금니
임유림 Date. 2024-08-26 Hit. 2394

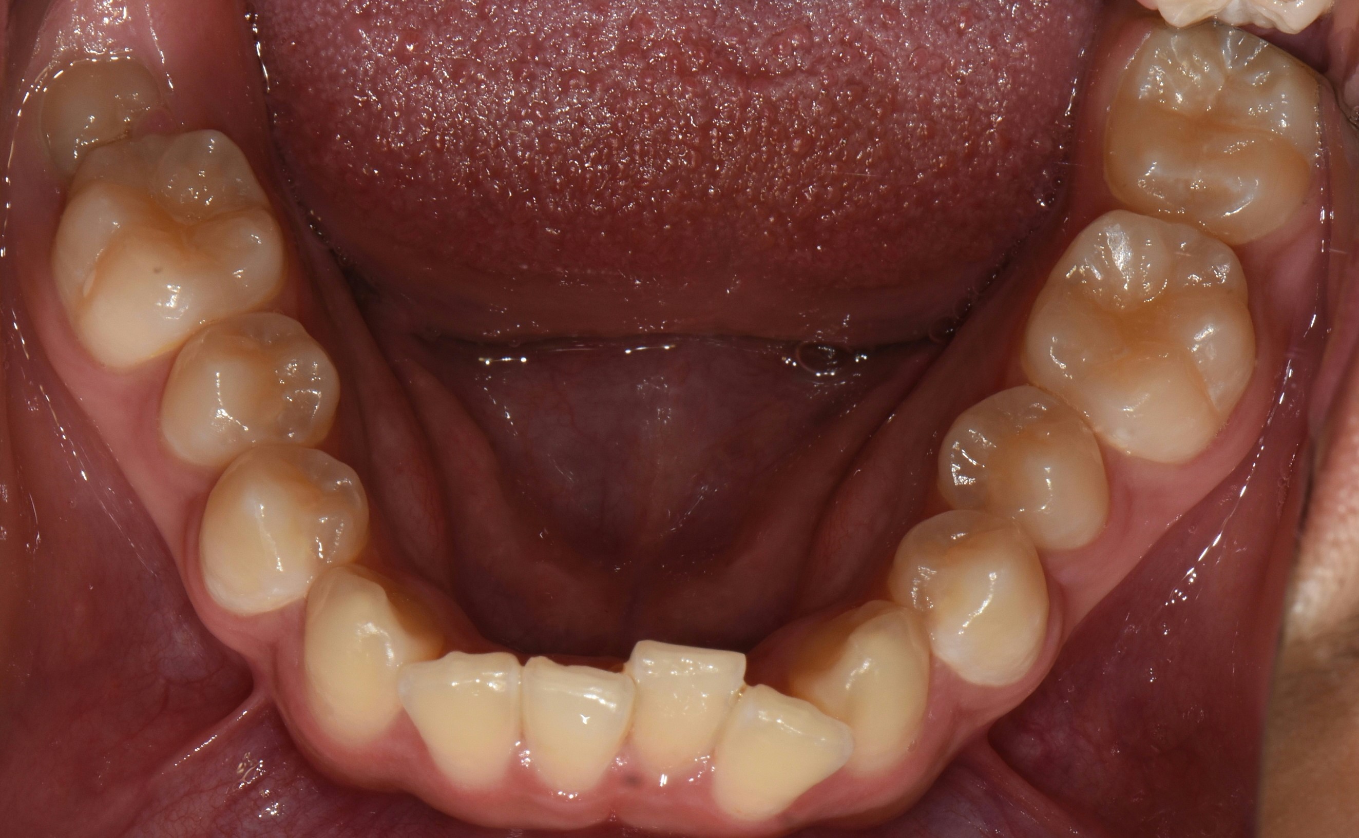
치료 전 사진입니다.

치료 후 사진입니다.

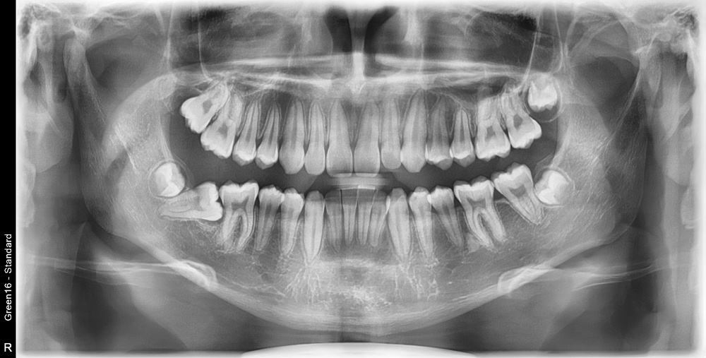
치료 전 사진입니다.

치료 후 사진입니다.

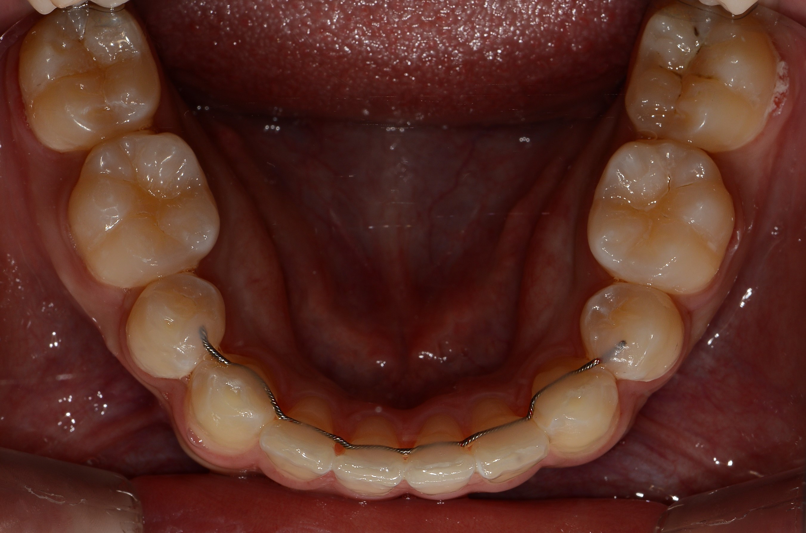
치료 전 사진입니다.

치료 후 사진입니다.