[덧니교정] 덧니교정
임유림 Date. 2024-08-09 Hit. 2480

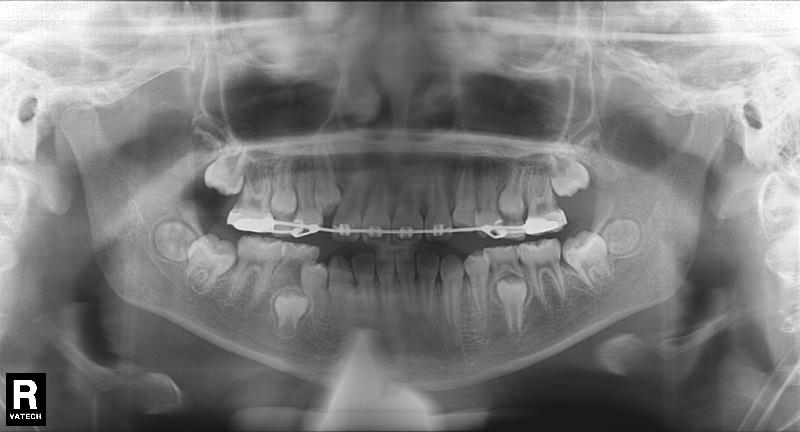
치료 전 사진입니다.

치료 후 사진입니다.

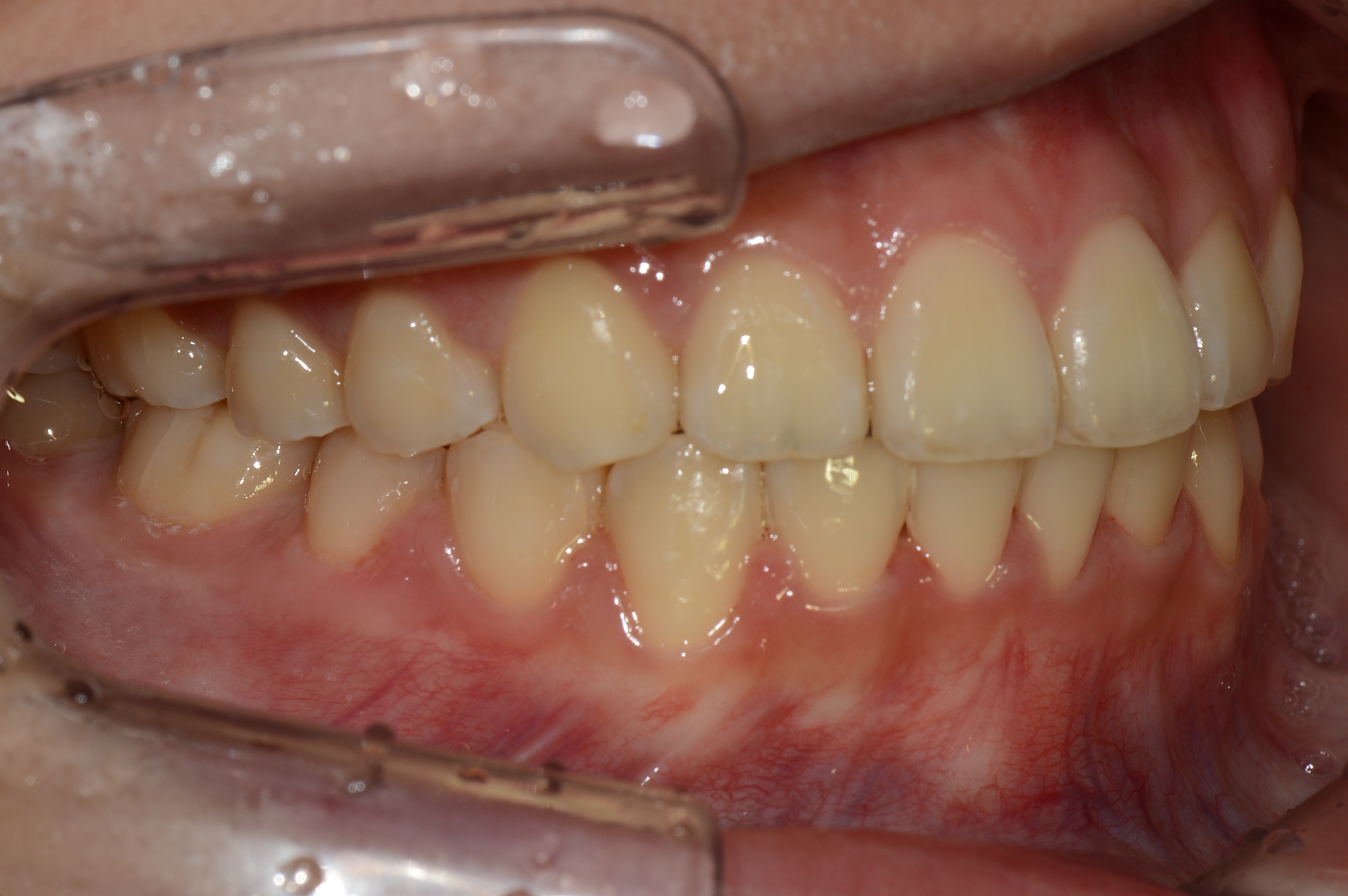
치료 전 사진입니다.

치료 후 사진입니다.

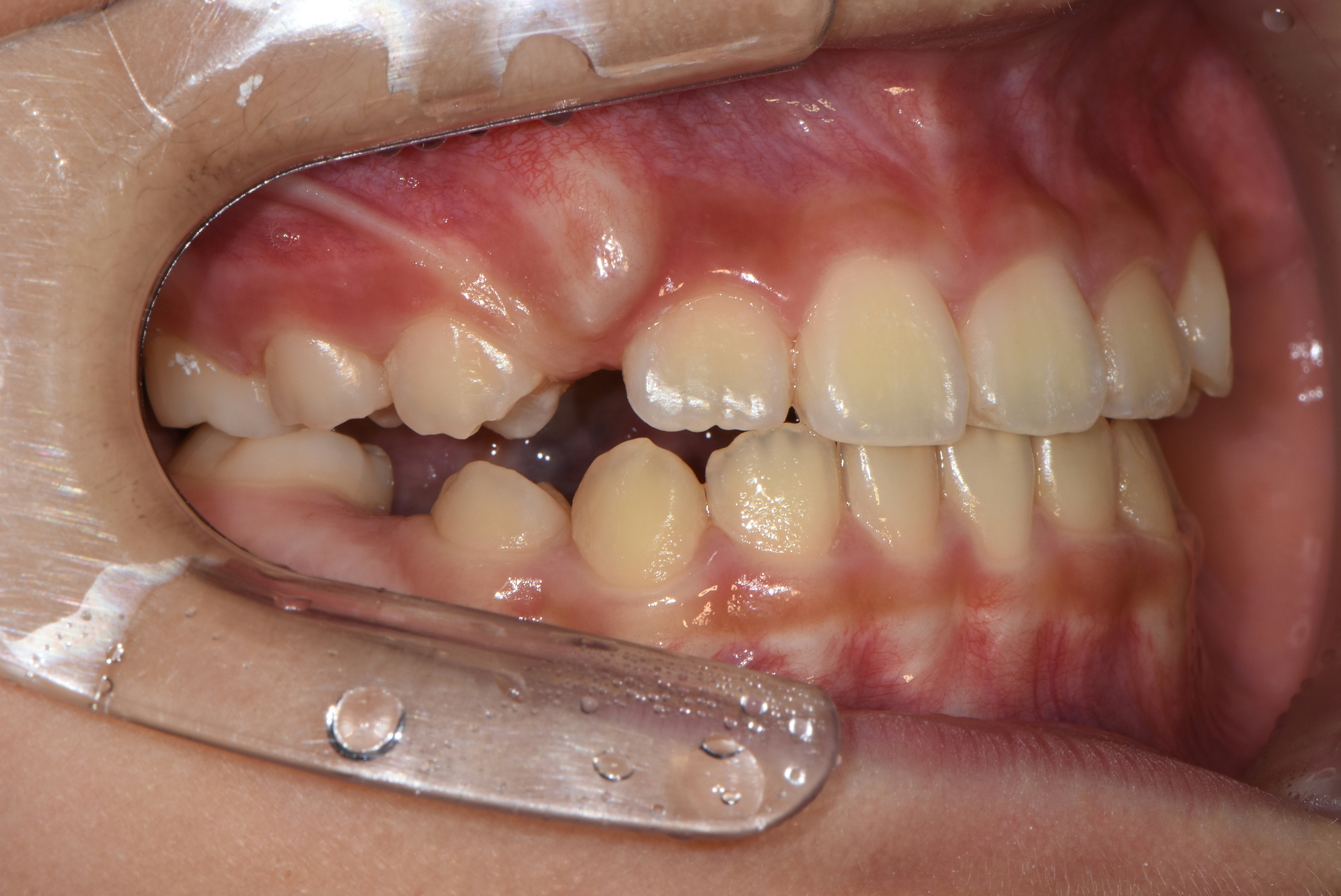
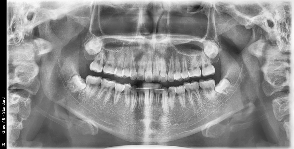
치료 전 사진입니다.

치료 후 사진입니다.