[반대교합/주걱턱] 어금니 반대교합
임유림 Date. 2024-06-14 Hit. 2532

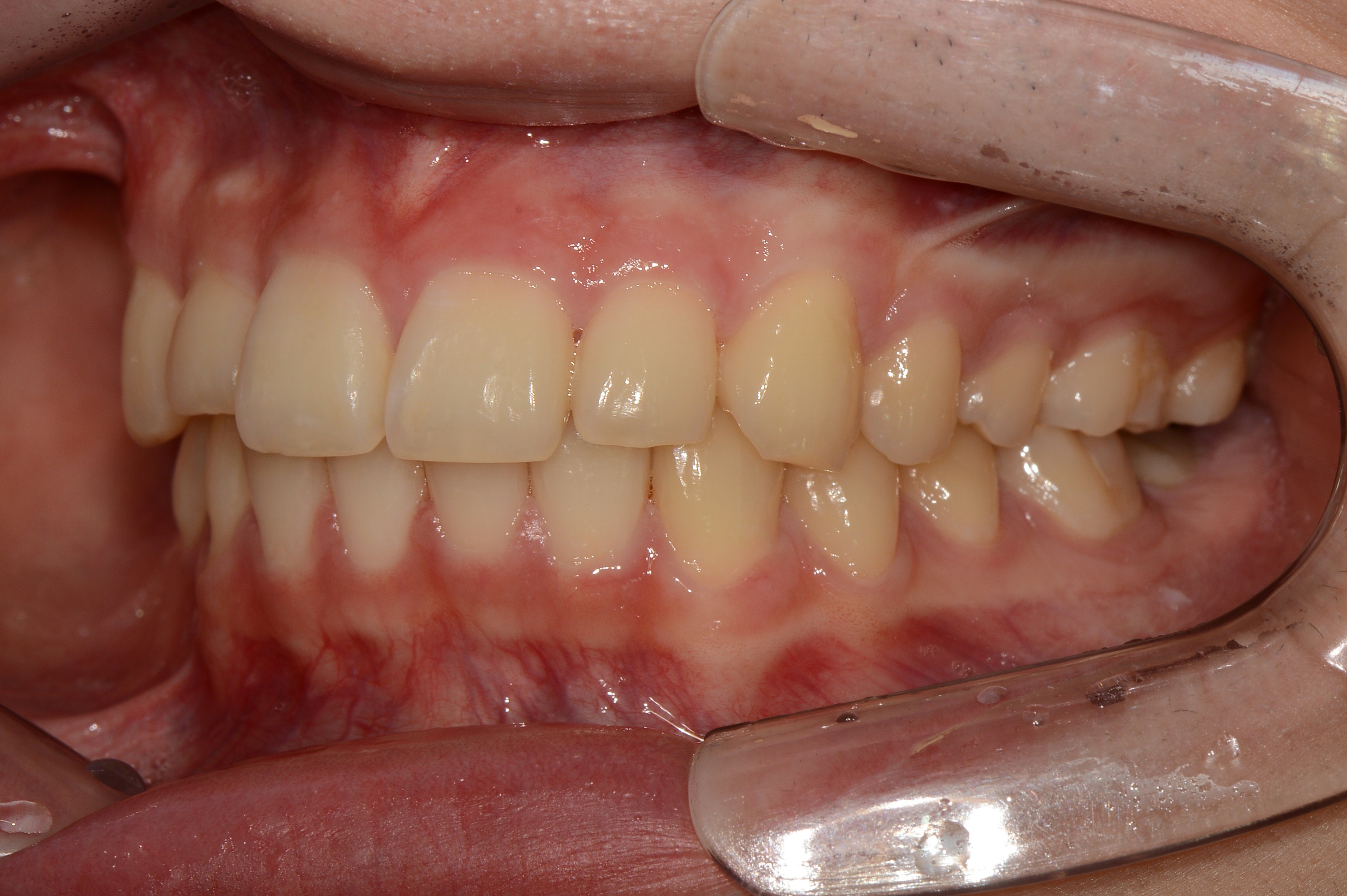
치료 전 사진입니다.

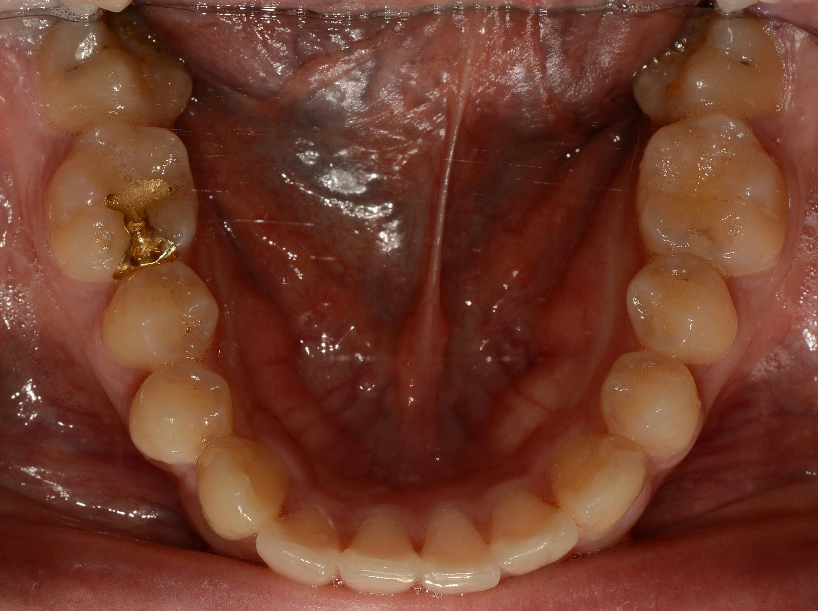
치료 후 사진입니다.

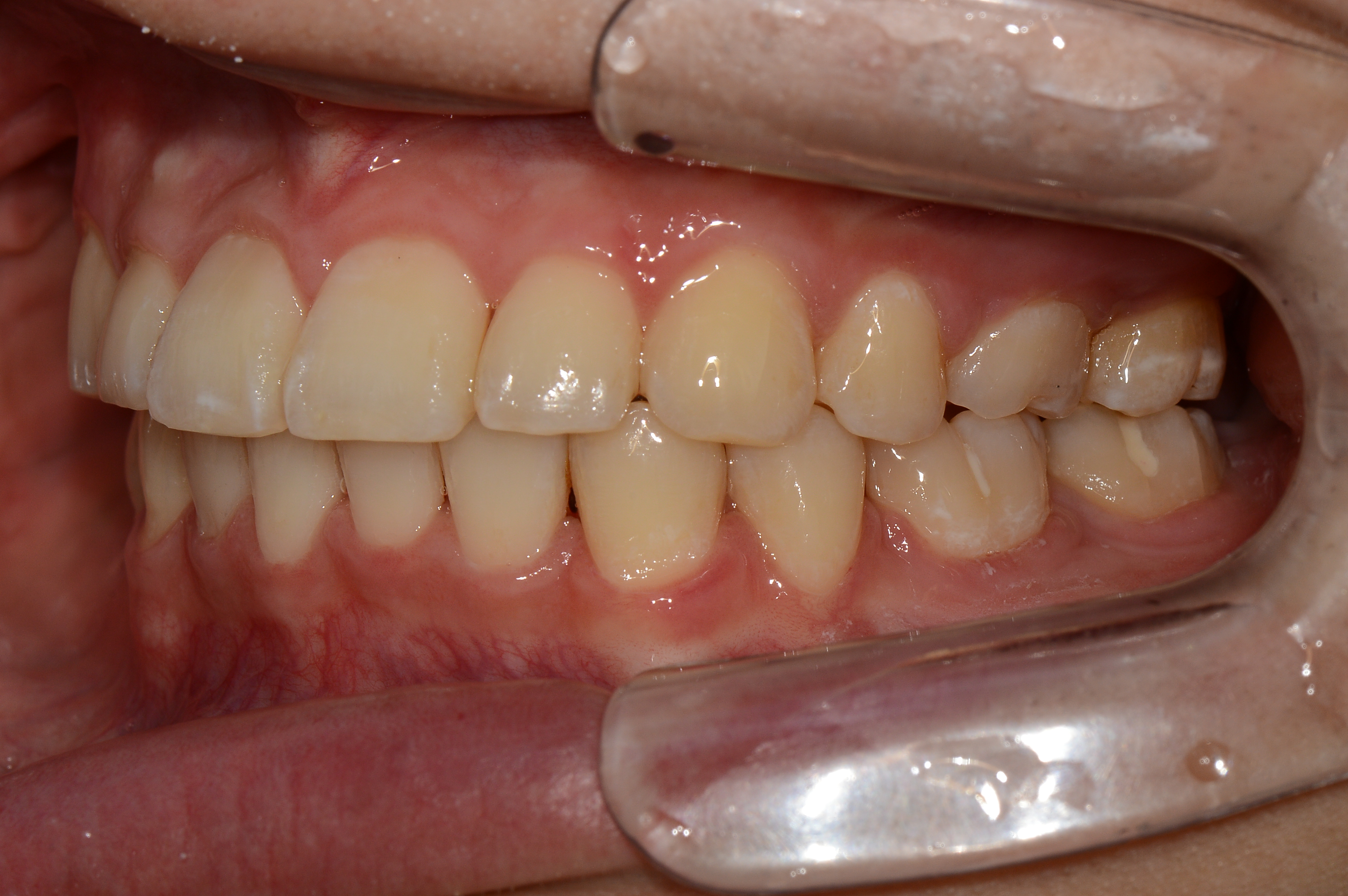
치료 전 사진입니다.

치료 후 사진입니다.

치료 전 사진입니다.

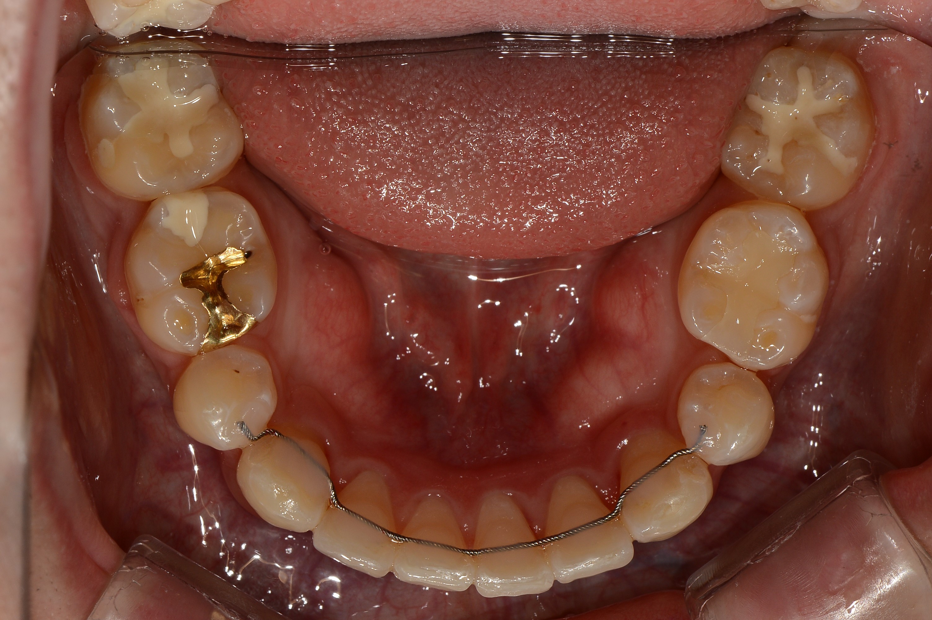
치료 후 사진입니다.