[벌어진치아] 벌어진 치아
임유림 Date. 2024-04-22 Hit. 2541

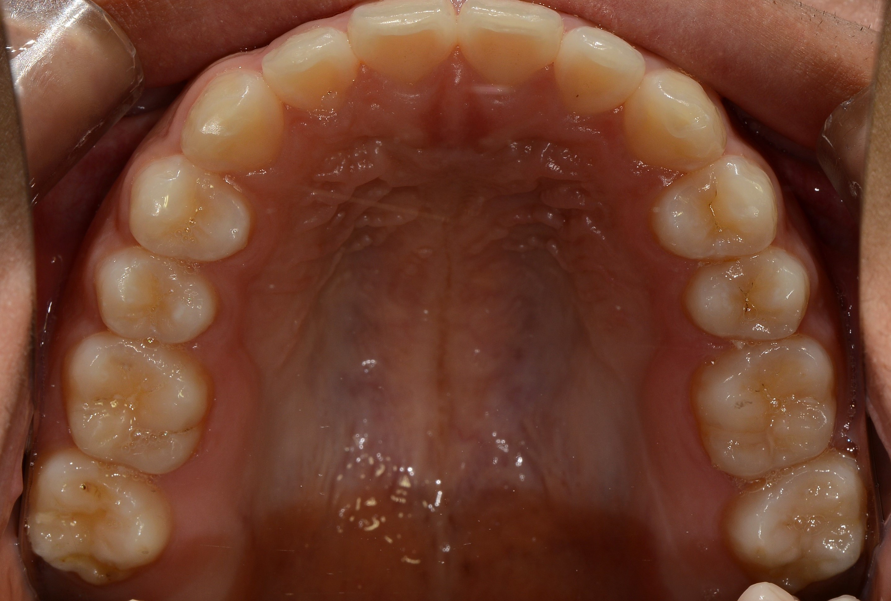
치료 전 사진입니다.

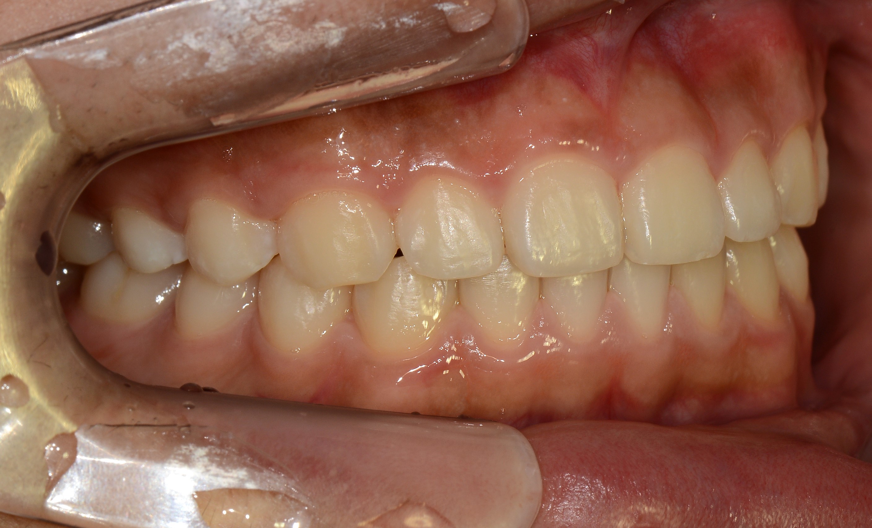
치료 후 사진입니다.

치료 전 사진입니다.

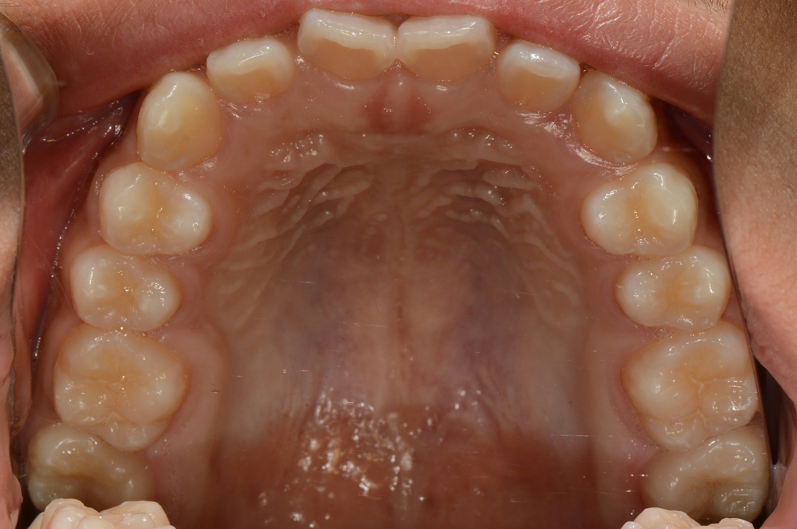
치료 후 사진입니다.

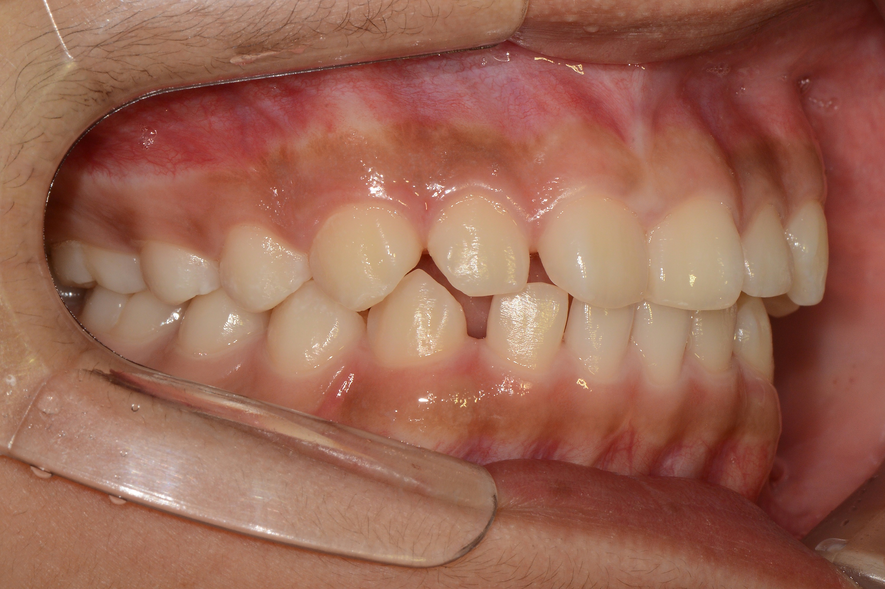
치료 전 사진입니다.

치료 후 사진입니다.