[null] 덧니교정
임유림 Date. 2023-12-08 Hit. 2373

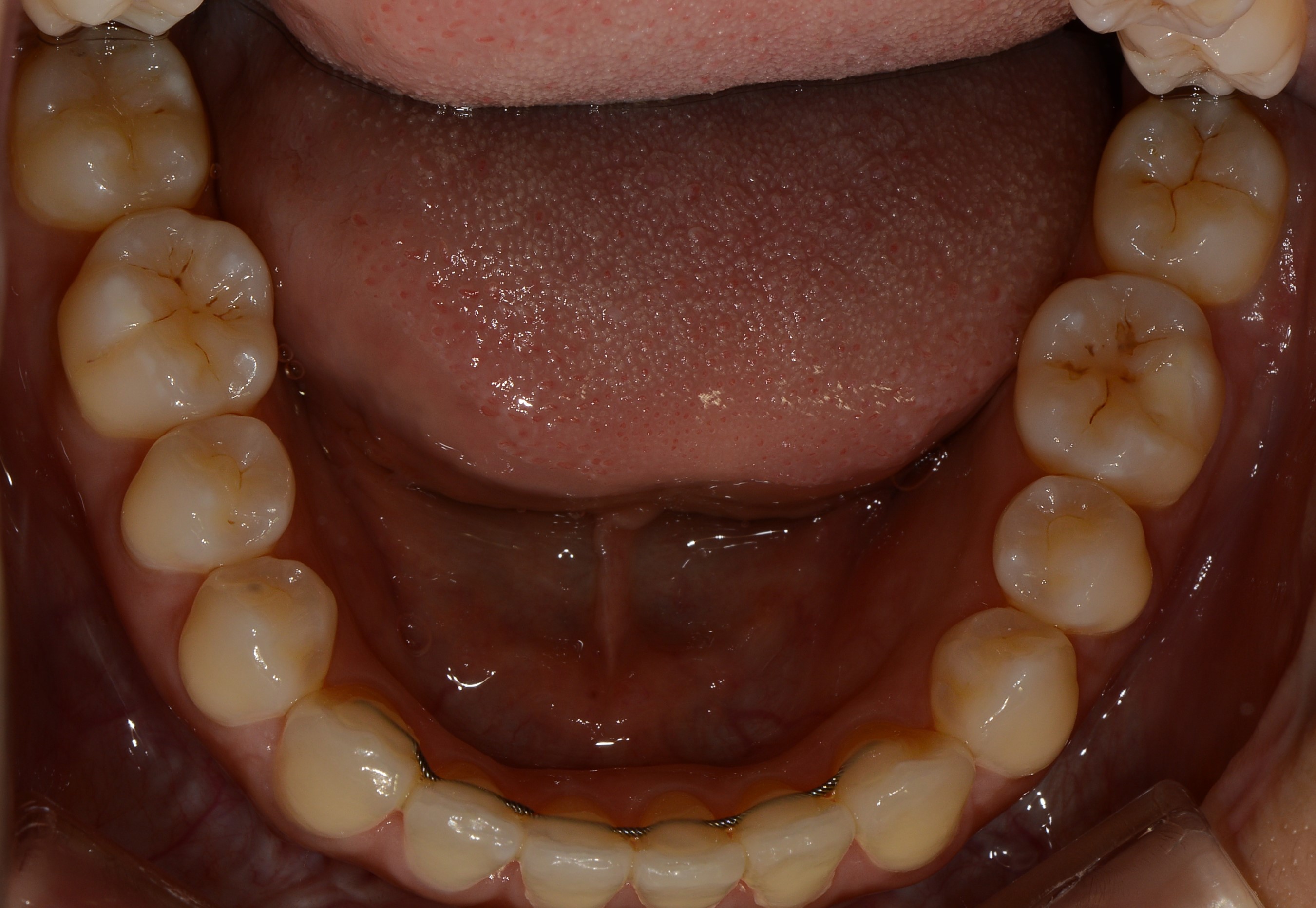
치료 전 사진입니다.

치료 후 사진입니다.

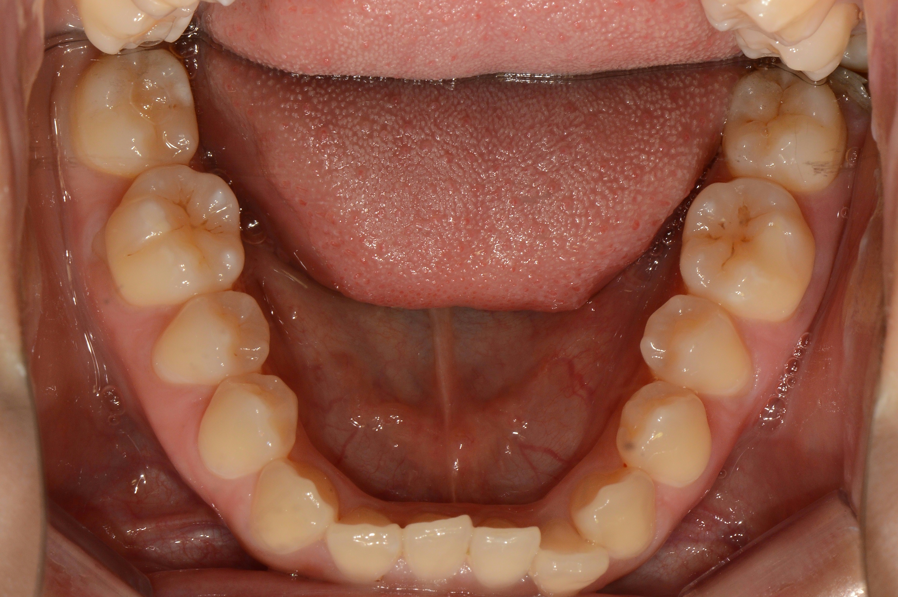
치료 전 사진입니다.

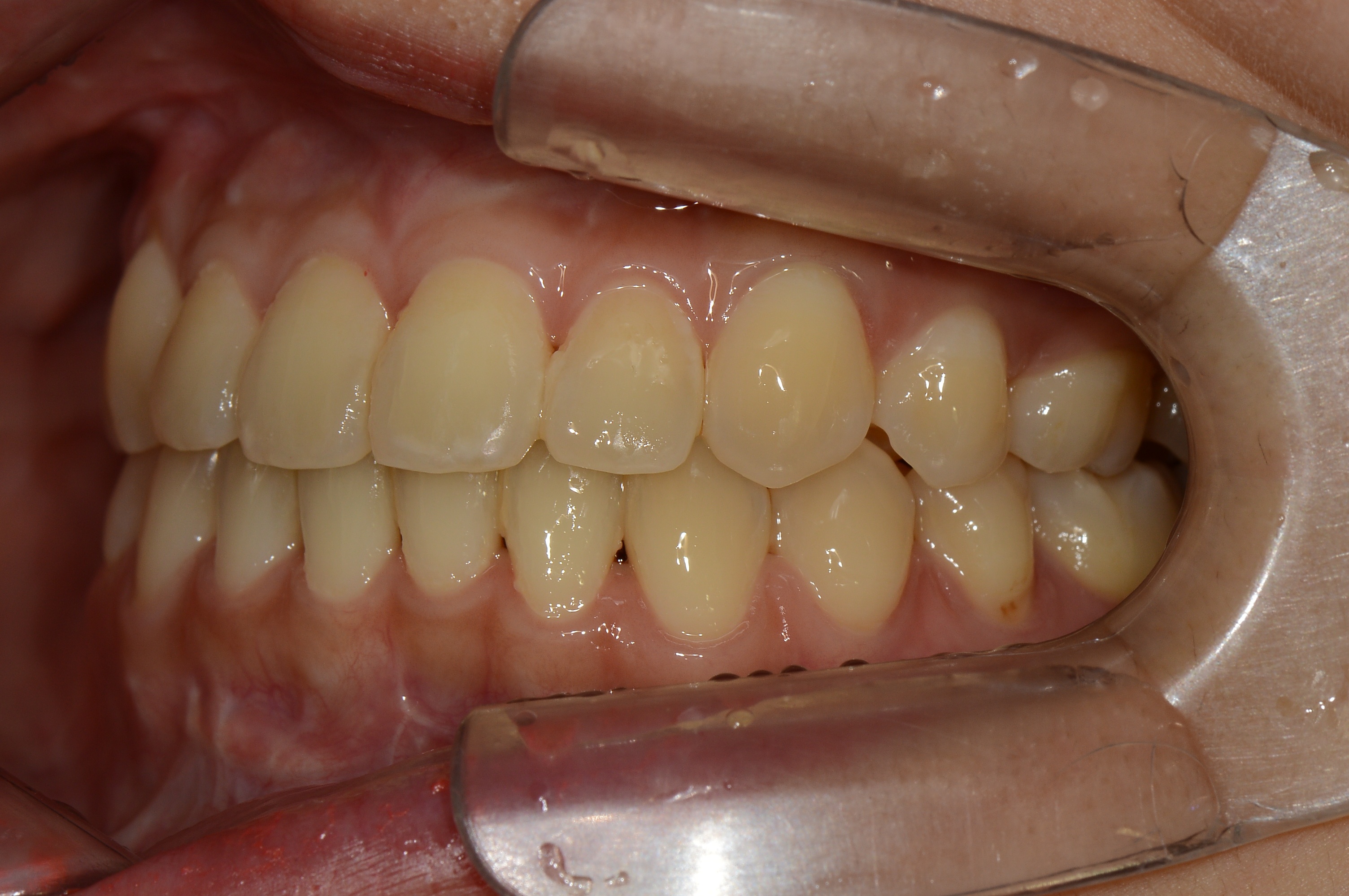
치료 후 사진입니다.

치료 전 사진입니다.

치료 후 사진입니다.