[개방교합] 개방교합, 덧니
임유림 Date. 2023-11-15 Hit. 2852

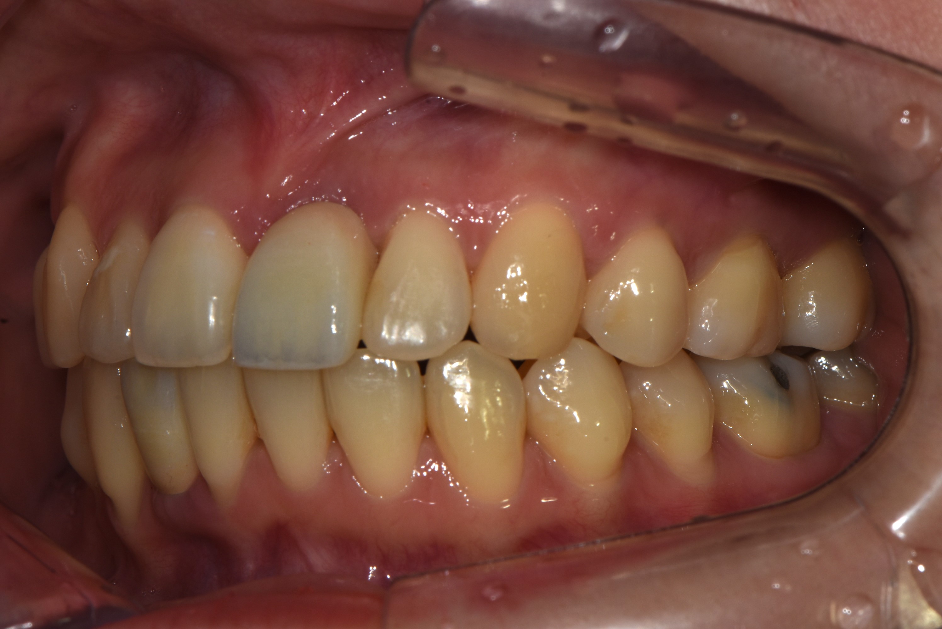
치료 전 사진입니다.

치료 후 사진입니다.

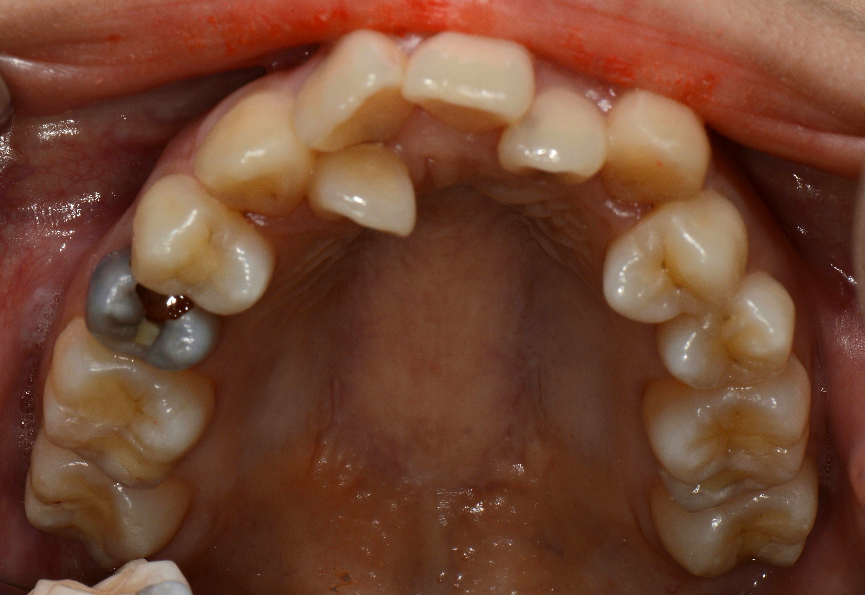
치료 전 사진입니다.

치료 후 사진입니다.

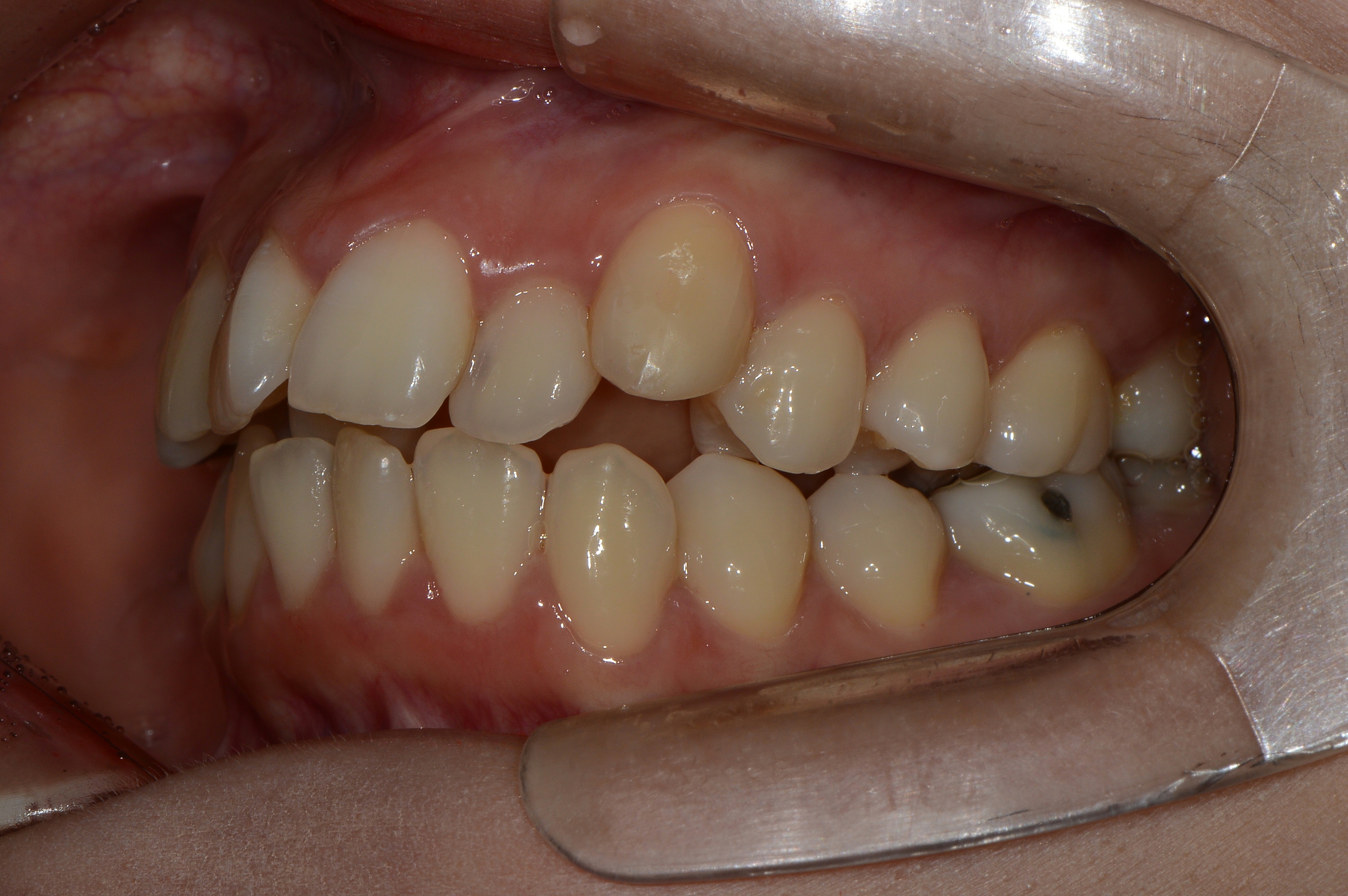
치료 전 사진입니다.

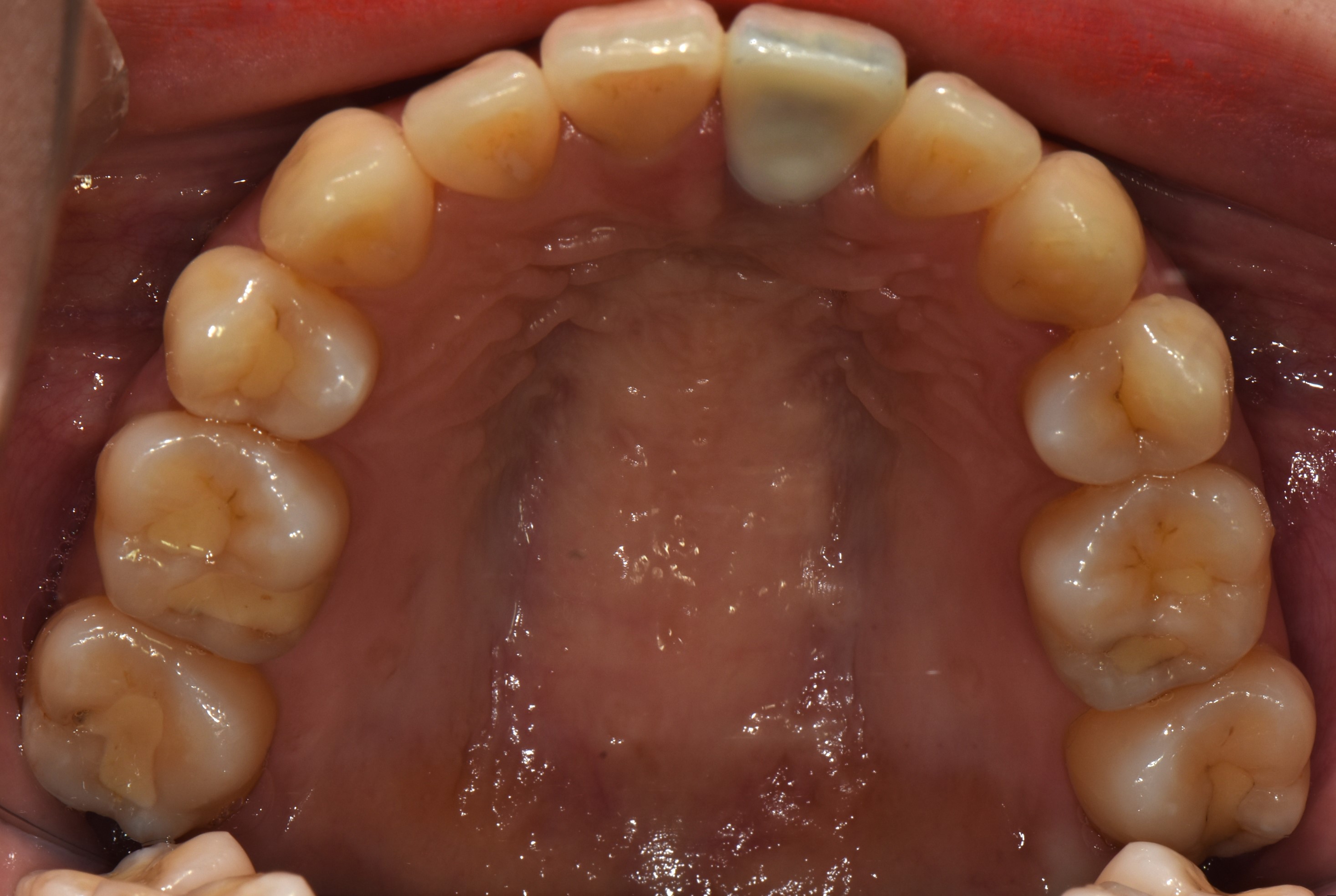
치료 후 사진입니다.