[벌어진치아] 벌어진치아
임유림 Date. 2023-10-06 Hit. 2927

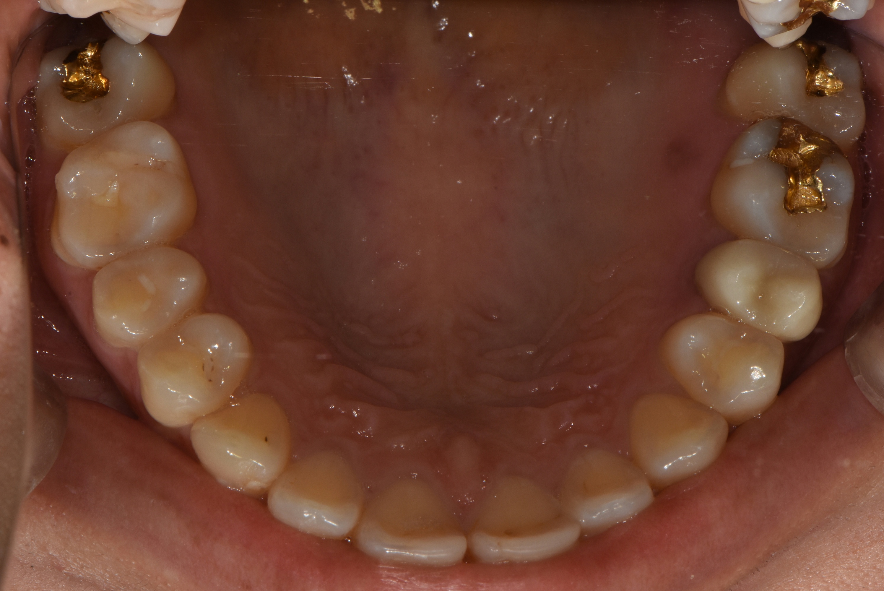
치료 전 사진입니다.

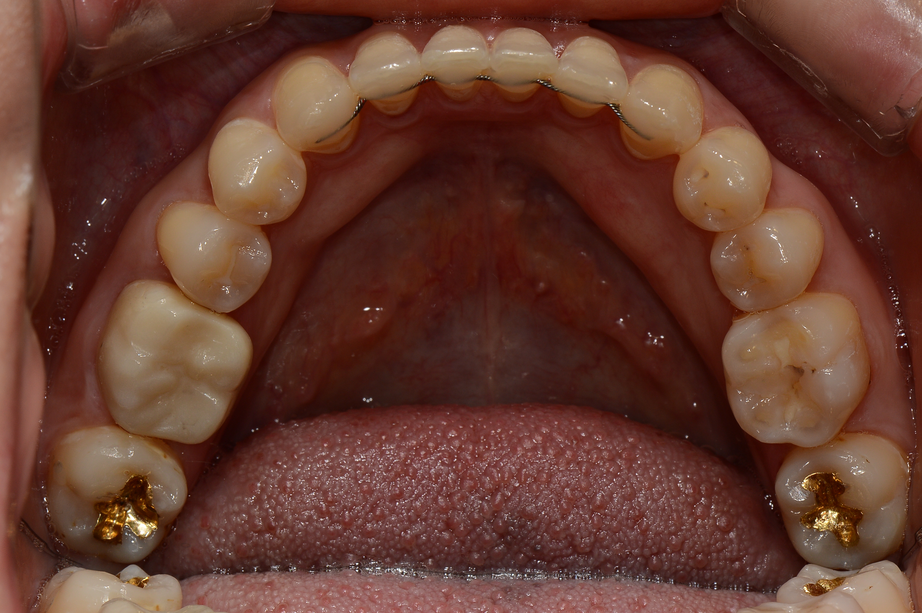
치료 후 사진입니다.

치료 전 사진입니다.

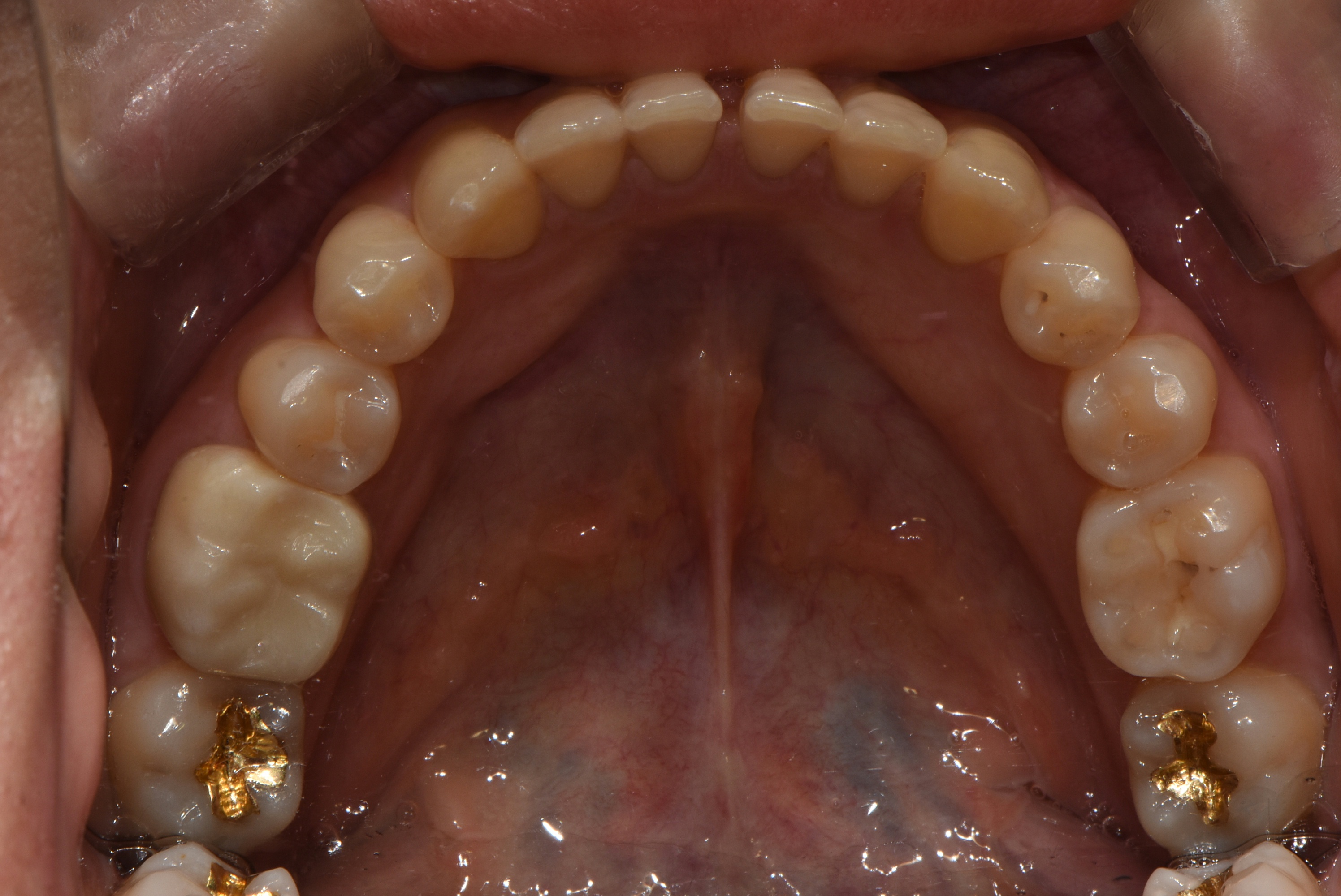
치료 후 사진입니다.

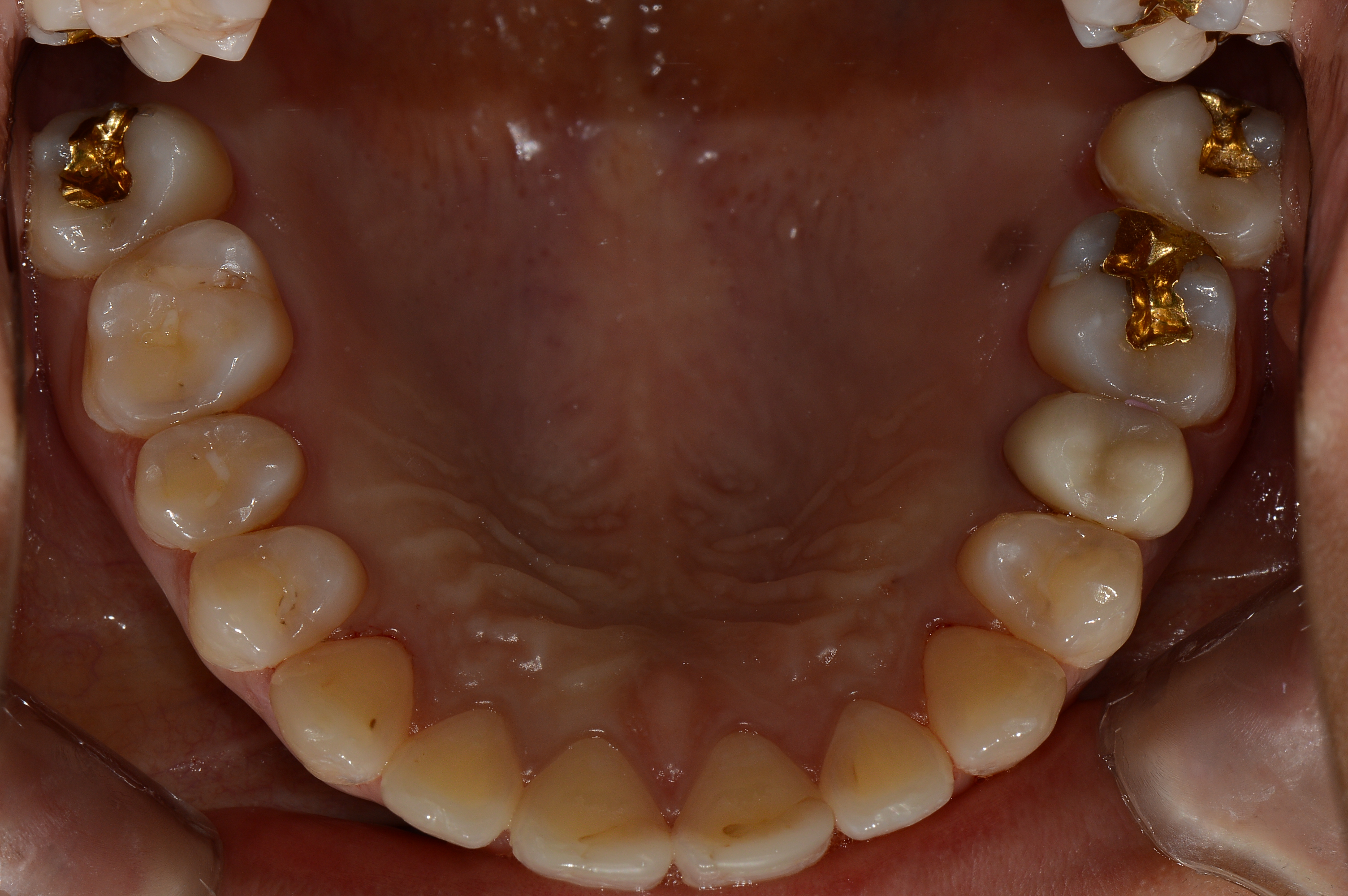
치료 전 사진입니다.

치료 후 사진입니다.