[반대교합/주걱턱] 절단교합
임유림 Date. 2023-09-06 Hit. 3169

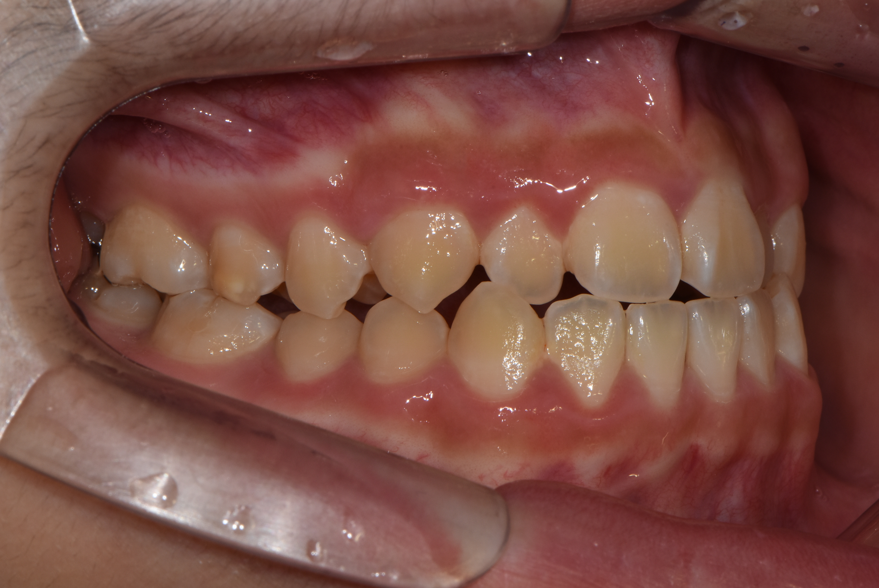
치료 전 사진입니다.

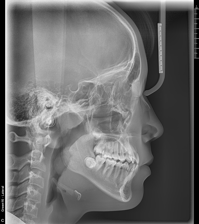
치료 후 사진입니다.

치료 전 사진입니다.

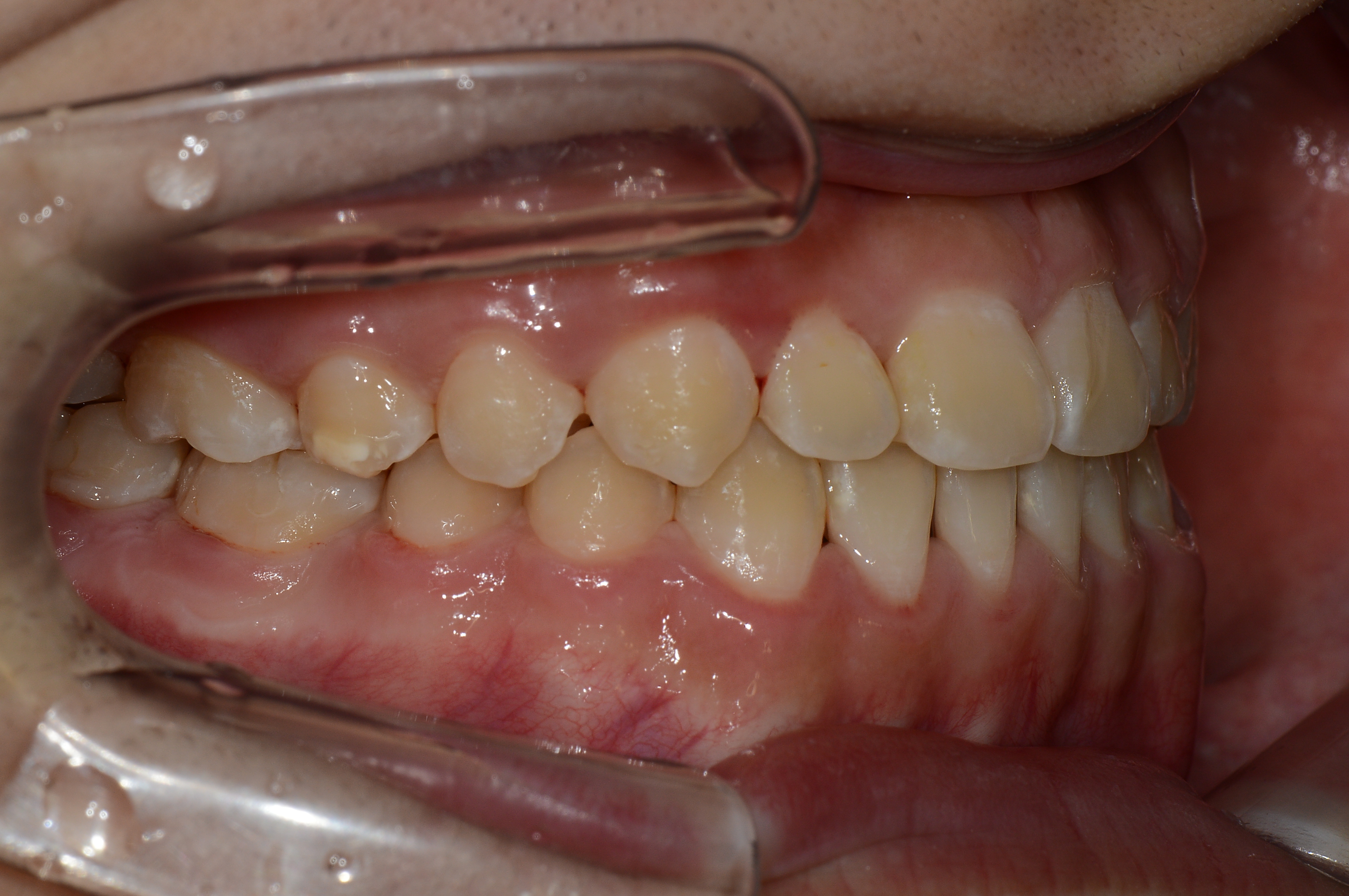
치료 후 사진입니다.

치료 전 사진입니다.

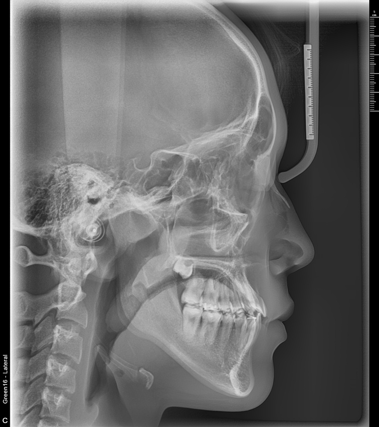
치료 후 사진입니다.