[과개교합] 과개교합
임유림 Date. 2023-08-25 Hit. 3060

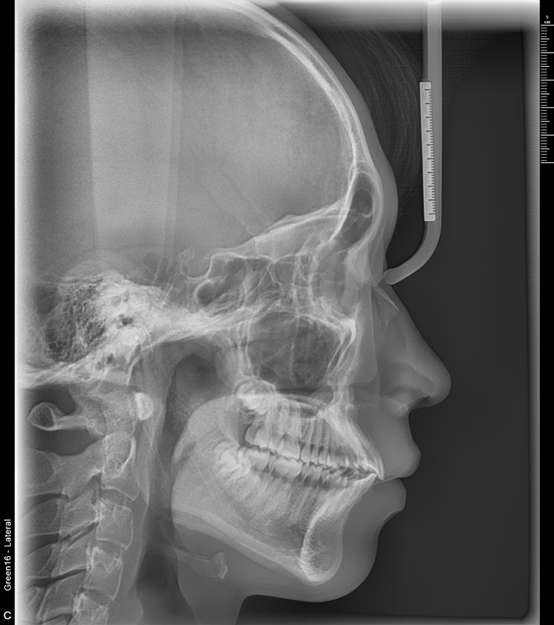
치료 전 사진입니다.

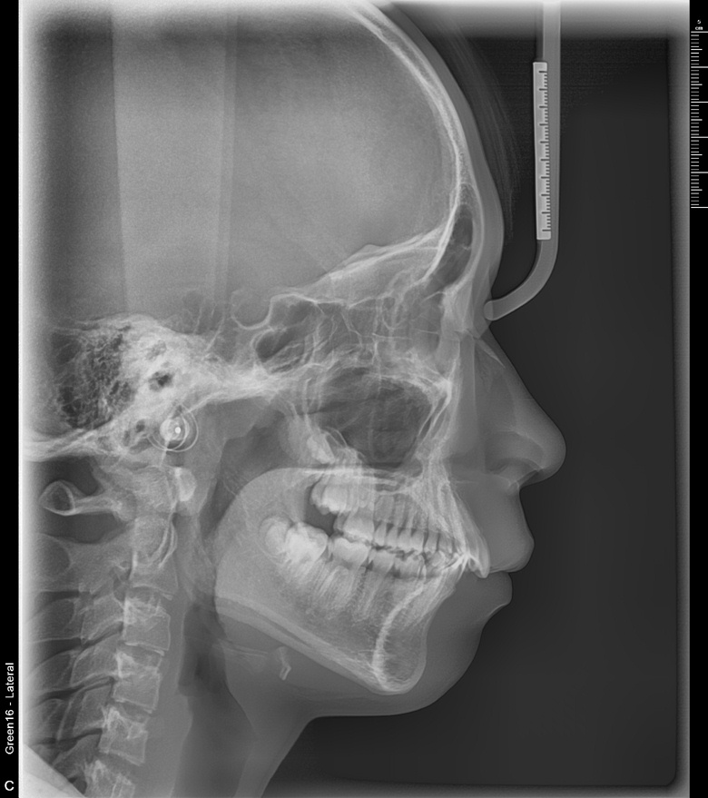
치료 후 사진입니다.

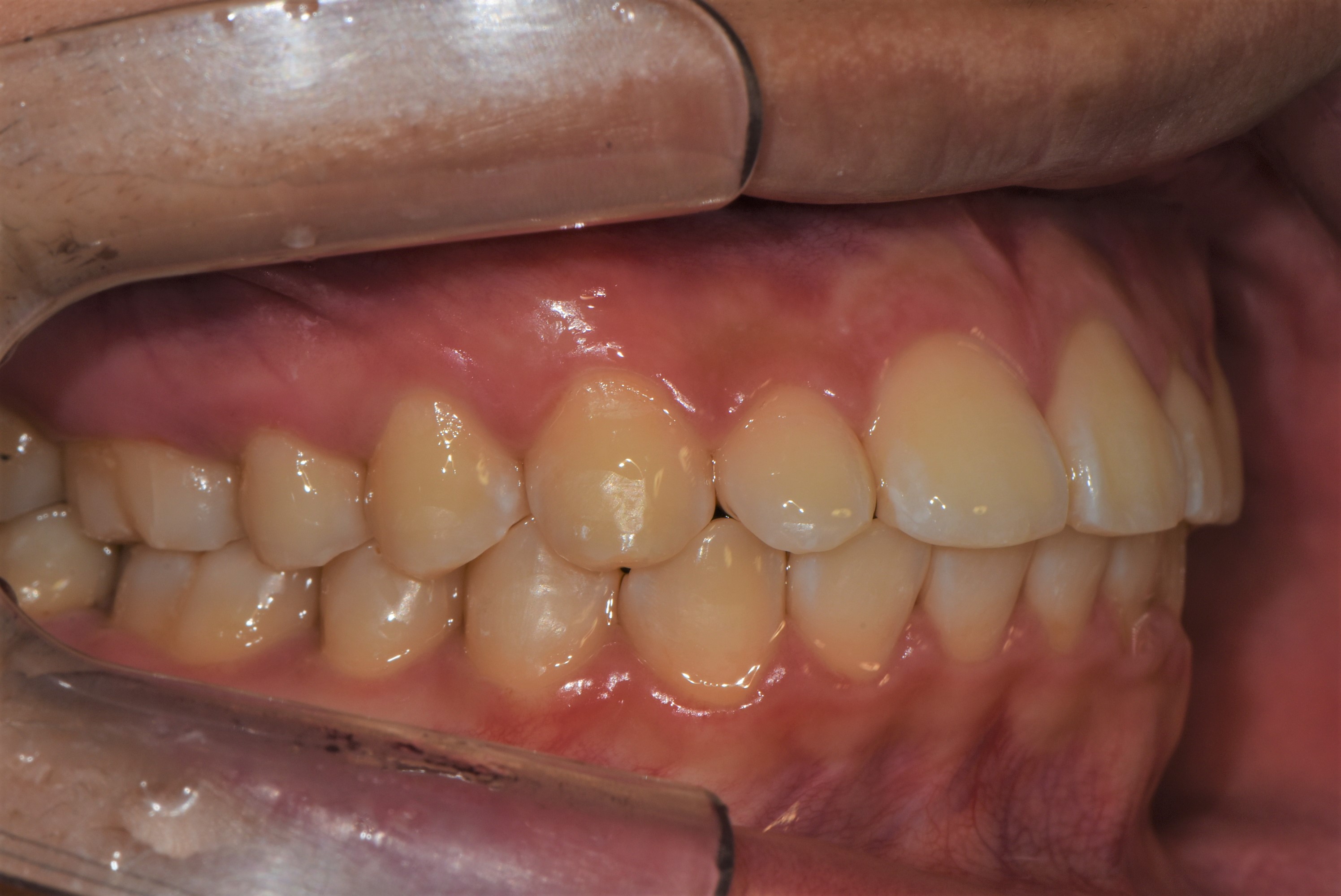
치료 전 사진입니다.

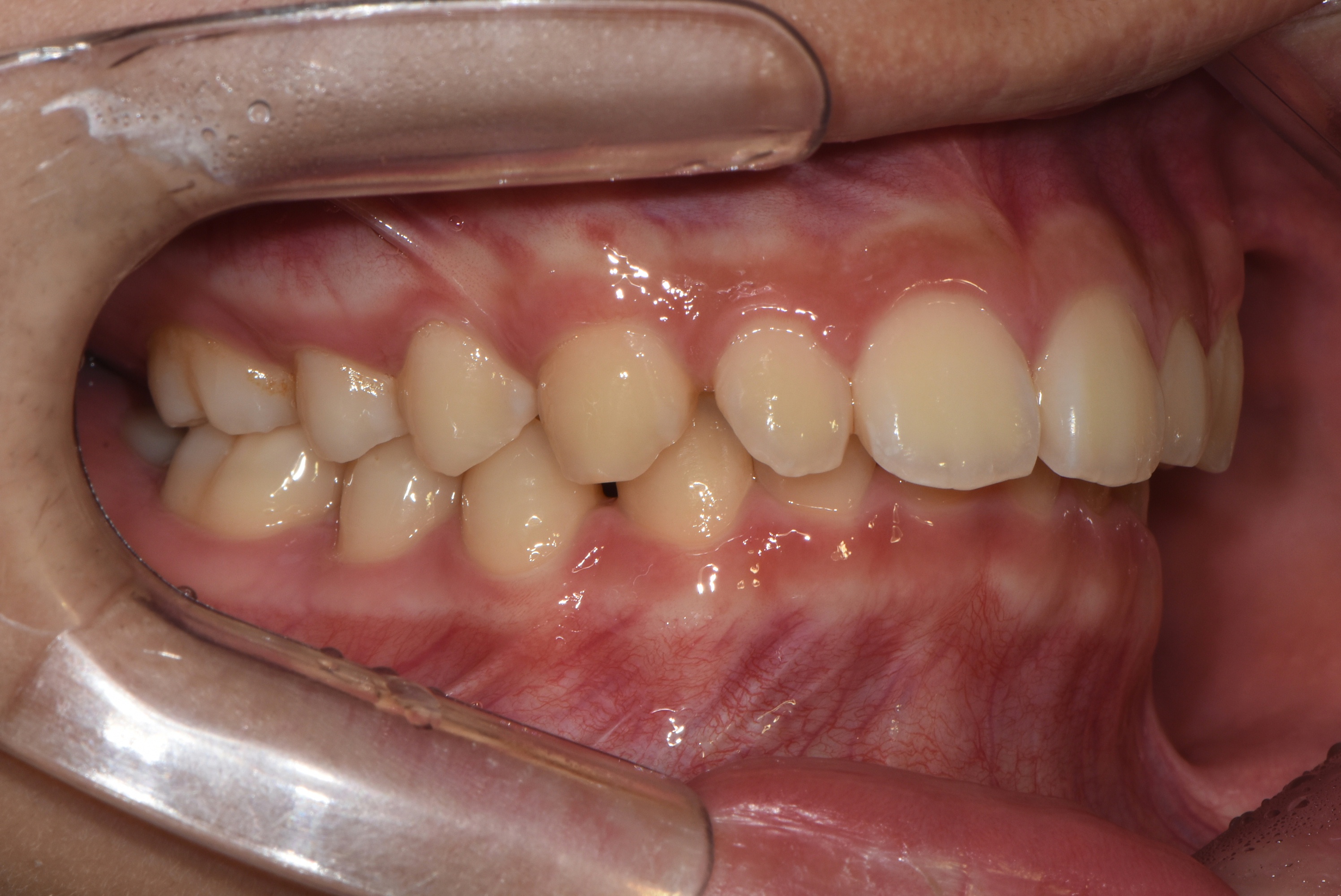
치료 후 사진입니다.

치료 전 사진입니다.

치료 후 사진입니다.