[반대교합/주걱턱] 구치부 반대교합
임유림 Date. 2023-07-24 Hit. 3309

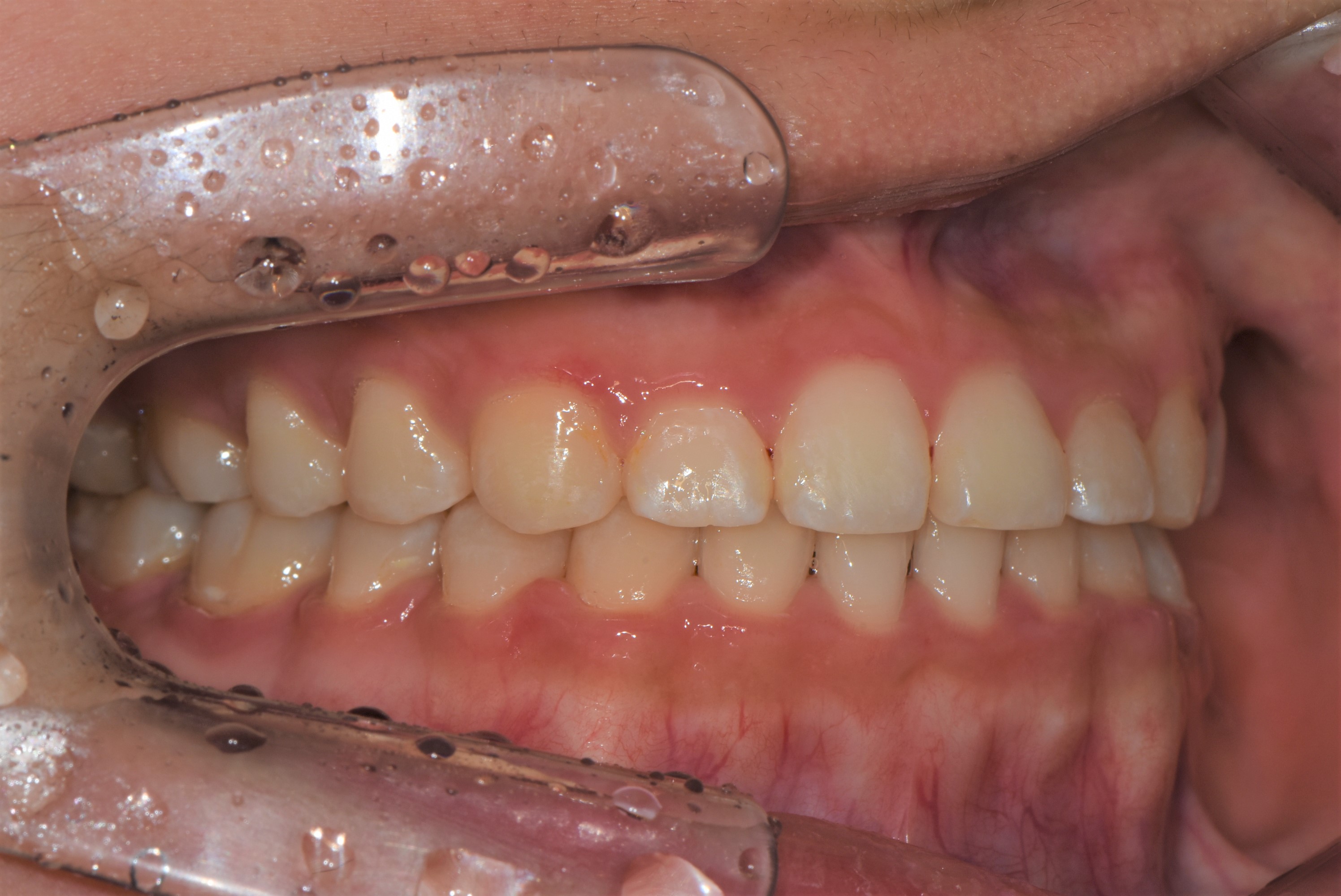
치료 전 사진입니다.

치료 후 사진입니다.

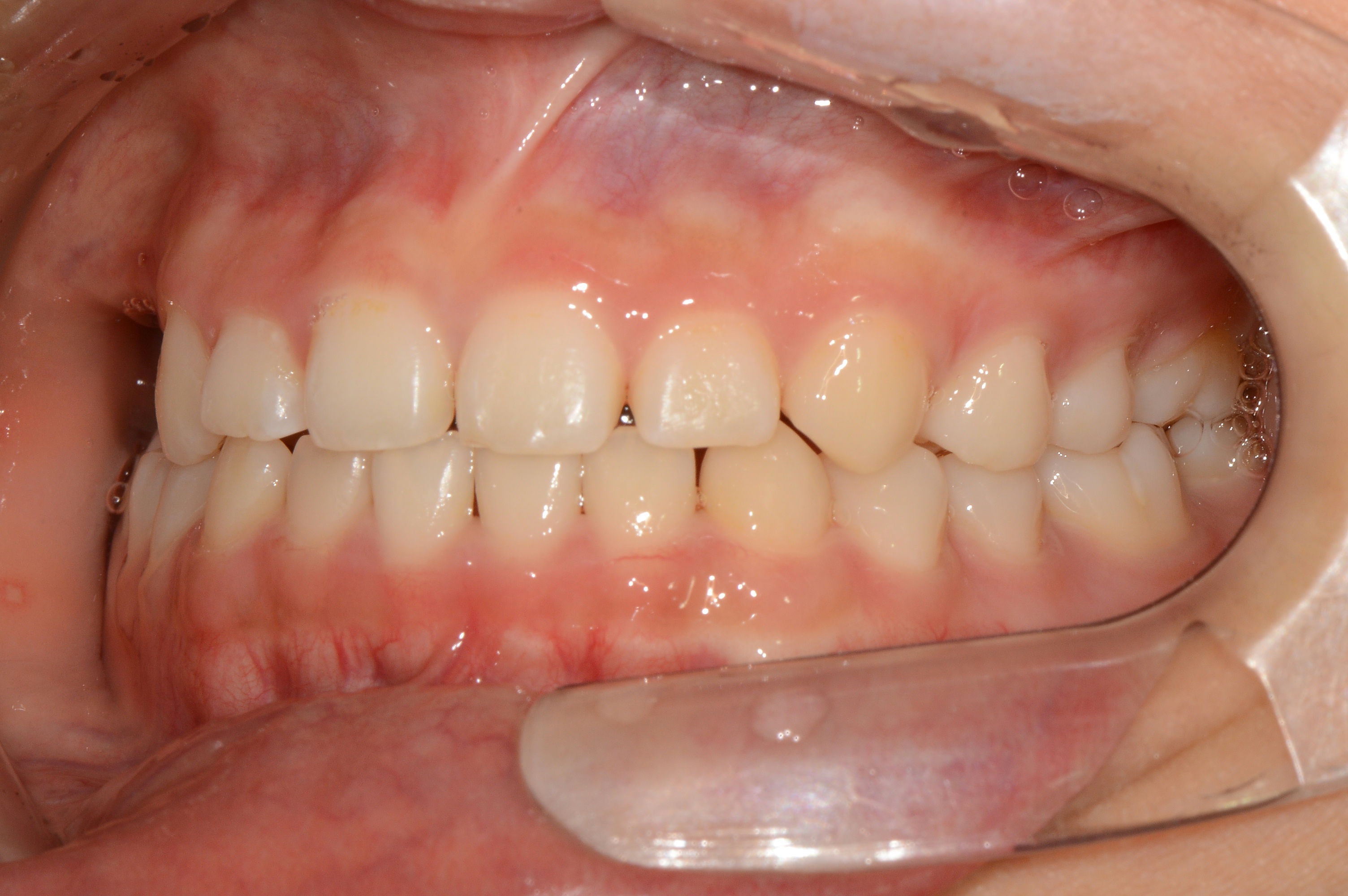
치료 전 사진입니다.

치료 후 사진입니다.

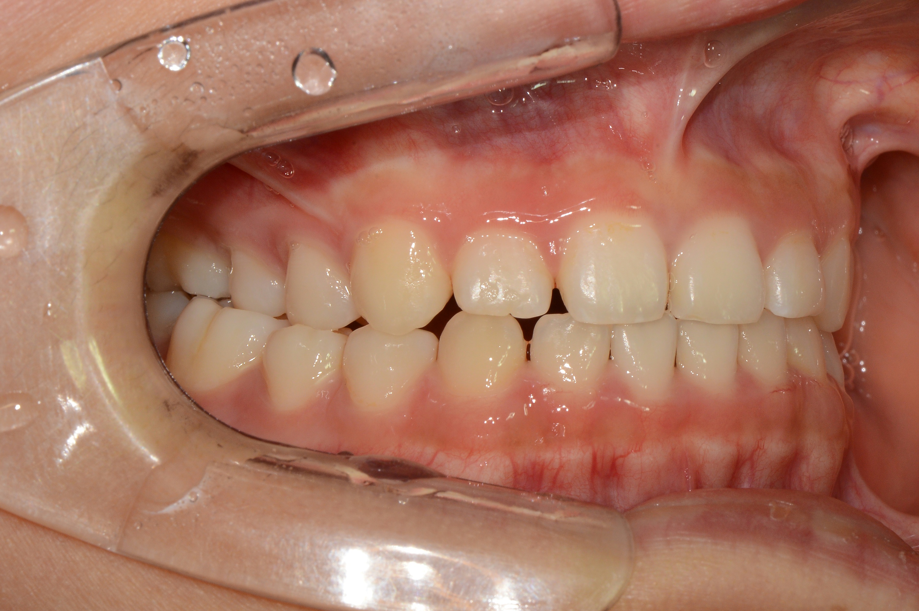
치료 전 사진입니다.

치료 후 사진입니다.