[덧니교정] 덧니교정
임유림 Date. 2023-07-07 Hit. 3896

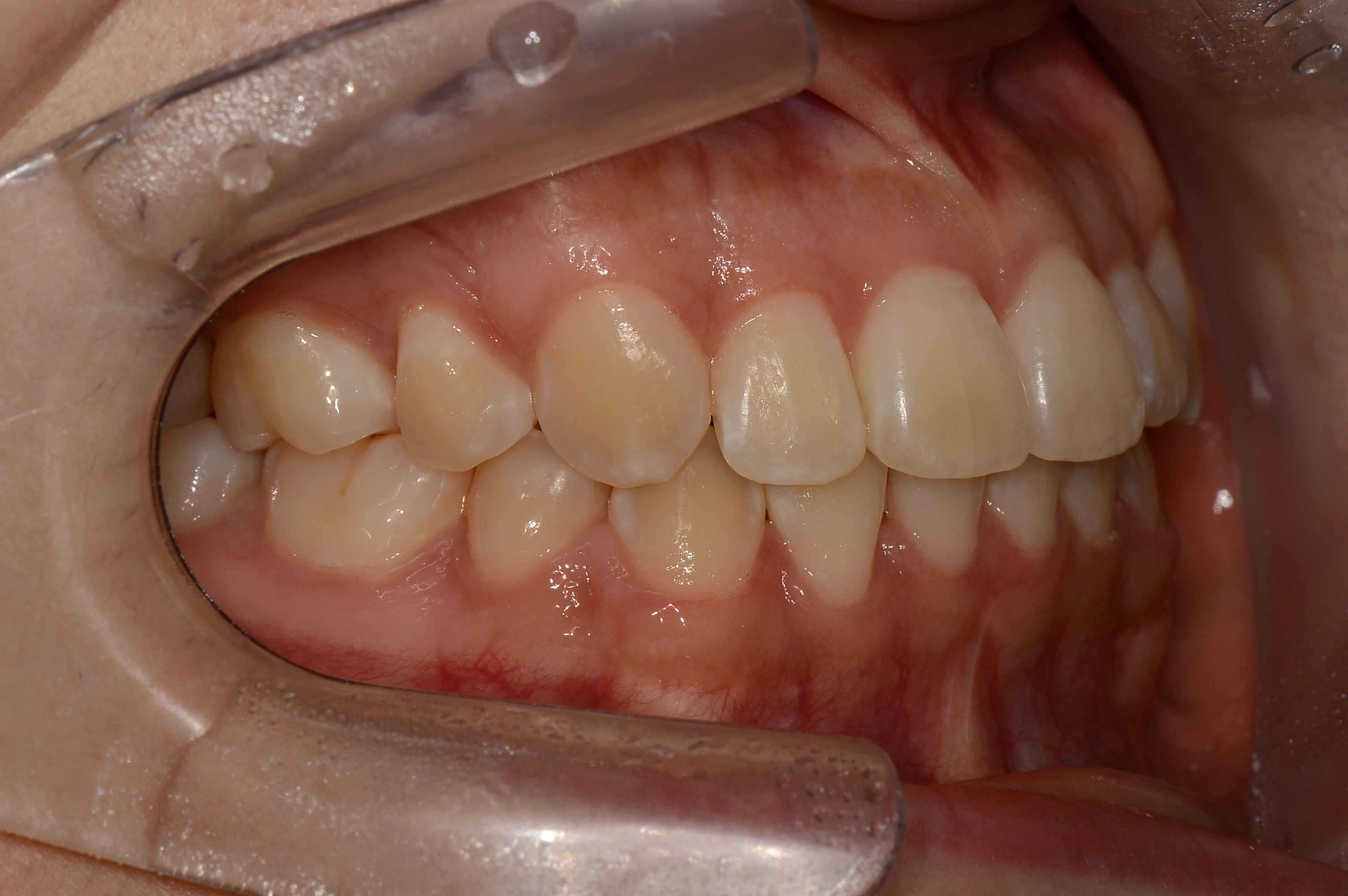
치료 전 사진입니다.

치료 후 사진입니다.

치료 전 사진입니다.

치료 후 사진입니다.

치료 전 사진입니다.

치료 후 사진입니다.