[벌어진치아] 벌어진치아/ 어금니 반대교합
임유림 Date. 2023-06-20 Hit. 3600

치료 전 사진입니다.

치료 후 사진입니다.

치료 전 사진입니다.

치료 후 사진입니다.

치료 전 사진입니다.

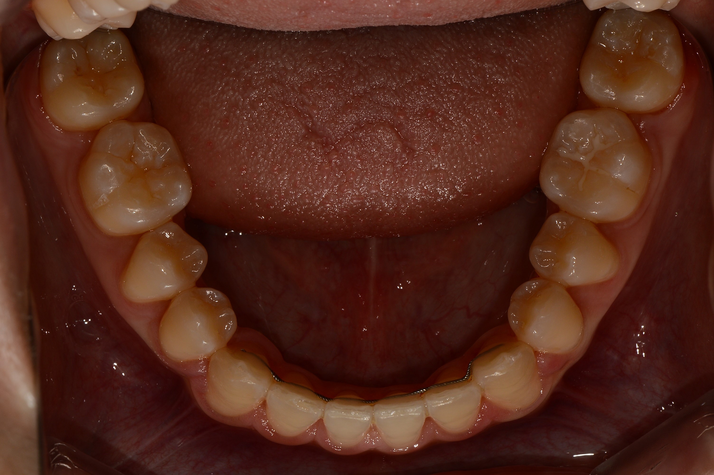
치료 후 사진입니다.